前列腺作为男性重要的生殖腺体,其疾病谱广泛,其中间质肿瘤因其罕见性和诊断复杂性,常给临床带来挑战。准确区分良性增生、恶性潜能未定肿瘤与恶性肉瘤,对于患者的治疗路径和预后至关重要。本文将通过典型病例,深入解析前列腺特有间质肿瘤的病理诊断要点,并探讨其与靶向药、抗癌药治疗选择的关联。
一、前列腺间质肉瘤:罕见恶性肿瘤的诊断
前列腺间质肉瘤(Prostatic stromal sarcoma)是一种极为罕见且预后较差的前列腺恶性肿瘤,发病率不足前列腺恶性肿瘤的0.1%。其诊断主要依赖于详细的病理学检查和免疫组化分析。
病例一:前列腺间质肉瘤
患者病史:一位35岁男性患者,因血便就诊。增强MR提示直肠前方脂肪间隙内混杂信号肿瘤,局部与前列腺分界不清,考虑肿瘤性病变,遂行前列腺穿刺活检。
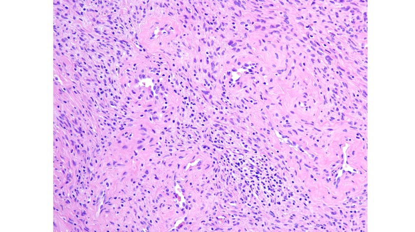
镜下形态:

【区域1】HE形态:

低低倍镜下可见前列腺梅花样的大腺体

腺体的双层结构明显(分泌细胞、基底细胞),未见明显异型;与右下角正常的前列腺组织相比,可见此病例间质梭形细胞明显增生

间质梭形细胞弥漫性过度增生,中度丰富,排列紊乱,异型性明显
【区域2】HE形态:

可见良性腺体陷入增生的梭形细胞中

核增大,深染,未见明显核仁,见明显的核分裂象
诊断思路:病理诊断需遵循严谨的逻辑。对于梭形细胞病变,需自问:细胞是否有胶原产物?病变是否为肿瘤?肿瘤是否恶性?是否为肉瘤?肉瘤来源何处?本病例显示明显的细胞异型性及病理性核分裂象,提示恶性。
免疫组化:




免疫组化汇总:
CD34(+),PR(+),Ki67(+),Desmin(-),SMA(-),STAT6(-),S-100(-),CK(-)
最终诊断:“前列腺穿刺活检标本”:前列腺间质肉瘤。
前列腺间质肉瘤(Prostatic stromal sarcoma)概述
定义:来源于前列腺特异性间质的肉瘤。
发病率与年龄:非常低,不足前列腺恶性肿瘤的0.1%。发病年龄较年轻,一半患者小于50岁。
临床特征:患者多表现为下尿路梗阻,血清PSA基本正常。
大体表现:实性或部分囊性的界限欠清肿块,直径2-18cm,切面灰白灰黄,常伴出血、坏死。

WHO5th诊断标准:
- 基本标准:间质细胞过度增生,伴或不伴有内陷的良性腺体;细胞密度增加,具有明显多形性;核分裂象增多,可见病理性核分裂象;肿瘤性坏死;排除前列腺肉瘤样癌和其他肉瘤。
- 理想标准:免疫组化CD34和PR阳性。
组织学特征:最常见为双向型叶状肿瘤,表现为肉瘤样的间质伴内陷的良性腺体。其他包括席纹状、纤维肉瘤样、上皮样、多形性或横纹肌样细胞表型。

叶状型间质肉瘤

A.席纹样间质肉瘤 B.纤维肉瘤样间质肉瘤

C.上皮样间质肉 D.多形性间质肉瘤

E.间质肉瘤伴横纹肌样特征
分级:依据肿瘤细胞异型性、核分裂象及有无肿瘤性坏死,分为高级别和低级别间质肉瘤。

前列腺间质肉瘤–低级别A.中倍镜下显示增生的梭形细胞呈轻度异型,核分裂象罕见;B.肿瘤细胞CD34阳性;C.肿瘤细胞PR阳性;D.Ki67相对较低。

前列腺间质肉瘤–高级别A.低级别的间质肿瘤及临近的良性前列腺组织;B.在同一区域高级别和低级别的前列腺间质肿瘤同时可见;C.D.高倍镜下可见高度增生的细胞,梭形细胞有明显的异型性,核分裂象易查见。
免疫表型:常表达CD34、PR、AR、Vimentin;不同程度表达Desmin、SMA、MSA;一般不表达ER、S100、CD117、PSA(叶状型肿瘤中上皮成分可表达PSA)。
预后:较差,确诊后生存期较少超过1年,易发生局部复发和远处转移。
二、良性前列腺增生:常见良性病变的鉴别
良性前列腺增生(Benign prostatic hyperplasia, BPH)是中老年男性常见的良性疾病,其间质增生有时需与肿瘤性病变鉴别。
病例二:良性前列腺增生
患者病史:一位56岁男性,因尿路梗阻行前列腺TURBT(经尿道前列腺电切术)。
镜下形态:

低低倍镜下前列腺组织内可见一明显结节,界限清楚,呈膨胀性生长

间质梭形细胞增生
增生的梭形细胞形态温和,间质内血管丰富,且血管壁较厚

间质内见慢性炎症细胞浸润
免疫组化:



免疫组化汇总:
CD34(部分+),PR(+),SMA(-)
最终诊断:“前列腺TURBT标本”:前列腺间质增生性结节。
良性前列腺增生(Benign prostatic hyperplasia, BPH)概述
定义:前列腺的间质和腺体成分增生,多发生于移行区,是引起中老年男性排尿障碍最常见的良性疾病。
发病率与年龄:随年龄增长而增加,40岁后常见,80岁时高达83%。
临床特征:排尿障碍,可导致PSA增高。
大体表现:多发于移行区,结节状增大,可有假包膜,切面依腺体与间质增生比例而异。
组织学特征:可分为腺体增生和间质增生两种。间质增生性结节中,有一种CD34和PR阳性的间质细胞,被认为是前列腺间质性肿瘤的起源细胞。

良性前列腺增生–腺体增生为主

良性前列腺增生–间质增生为主
特征性组织学改变:界限清楚的膨胀性结节状病变、血管化间质、弥漫慢性炎症。

A.明显的血管化间质;B.血管壁玻璃样变性

弥漫的慢性炎症
免疫表型:


三、前列腺恶性潜能未定的间质肿瘤(STUMP):介于良恶性之间
前列腺恶性潜能未定的间质肿瘤(Prostatic Stromal Tumors of Uncertain Malignant Potential, STUMP)是一种介于良性与恶性之间的肿瘤,其诊断和管理需格外谨慎。
病例三:前列腺恶性潜能未定的间质肿瘤
镜下形态:

间质梭形细胞增生

无境界清楚的结节

见薄壁血管,未见厚壁血管


出现退变引起的不典型性细胞核(染色质凝聚而深染,核结构不清)
病例时间久远,病史资料丢失,无免疫组化。
最终诊断:前列腺恶性潜能未定的间质肿瘤。
前列腺恶性潜能未定的间质肿瘤(STUMP)概述
定义:由前列腺特化性间质细胞发生、恶性潜能未定的肿瘤。
发病率与年龄:很低,不足前列腺恶性肿瘤的0.1%。平均发病年龄58岁。
临床特征:患者通常表现为下尿路梗阻,血清PSA大多处于正常范围或轻度升高。
大体表现:发生部位以前列腺外周带最多见,长径可达15cm,切面灰白灰黄,实性或囊实性,或有粘质感,界欠清,出血坏死较前列腺间质肉瘤少见。

WHO5th诊断标准:
- 基本标准:非典型间质细胞广泛性生长;无良性前列腺增生的特征(即结节和厚壁血管);排除其他间质肿瘤。
- 理想标准:以下五种组织学类型中的一种或其组合:富于细胞的间质细胞伴有退行性的非典型性改变;富于细胞的间质细胞形态温和,短梭形;叶状模式;黏液性间质具有形态温和的肿瘤细胞;上皮样间质模式。
组织学特征:
Pattern1:富于细胞的间质细胞伴有退行性的非典型性改变
最常见,占50%以上,间质细胞增生,伴有退行性的非典型性改变,间质细胞从圆形到梭形,胞浆透亮或轻度嗜酸性,核增大,明显的多形性;可呈多核、磨玻璃状、泡状或模糊的核,可见明显的核仁,偶见核内包涵体;伴有内陷的良性腺体。

Pattern2:富于细胞的间质细胞形态温和,短梭形
间质富于细胞,形态温和,短梭形,无退变的细胞,具有嗜酸性的颗粒状胞浆,类似于良性前列腺增生,但间质细胞更加丰富;伴有内陷的良性腺体。

Pattern3:叶状模式
少细胞的间质伴良性腺体(裂隙样),形成类似于乳腺叶状肿瘤的分叶状结构,退行性的不典型的细胞不同程度地存在。

Pattern4:黏液性间质具有形态温和的肿瘤细胞
黏液性间质中见形态温和的肿瘤细胞,可能类似于良性前列腺间质增生性结节,但其由片状间质细胞组成,无结节和厚壁血管;常无内陷的良性前列腺腺体。


STUMP中内陷的腺体是良性的,可以表现出拥挤和复杂,以及各种其他增生性变化,包括腺病、鳞状和尿路上皮化生、基底细胞增生、透明细胞筛状增生和高级别前列腺上皮内瘤变。

免疫表型:CD34、PR、AR和Vimentin呈阳性表达;Desmin、SMA、MSA呈不同程度的阳性表达;ER、c-kit、CK、NKX3.1、S100和STAT6均为阴性;Ki67<5%。

分子异常:13、14和1p号染色体反复丢失。前列腺间质肉瘤可与STUMP共存,分子研究显示两者有相似的分子改变,但前列腺间质肉瘤中有更高的突变负荷和更多的无序异常,表明两者之间存在关系。
预后:预后较好,可复发,偶可发生远处转移,最常见的是转移到肺和淋巴结,并导致患者死亡。
对小标本做出前列腺恶性潜能未定的间质肿瘤的诊断时,是否要进行最终的手术切除,需要考虑的因素包括:病人的年龄,治疗的偏好,病变的大小(直肠检查或者影像学检查),以及组织样本中病变的范围。老年病人仅在活检中发现局限性病变,而在直肠检查及影像学检查中未发现明确病变时,应建议其密切随访。
四、鉴别诊断与精准治疗的重要性
前列腺特有的间质肿瘤包括:前列腺间质增生性结节(Stromal nodules of hyperplasia)、前列腺恶性潜能未定的间质肿瘤(Stromal Tumors of Uncertain Malignant Potential, STUMP)和前列腺间质肉瘤(Prostatic stromal sarcoma)。

在诊断过程中,需鉴别孤立性纤维性肿瘤、炎性肌纤维母细胞瘤、平滑肌肿瘤、横纹肌肉瘤、胃肠道间质瘤、肉瘤样癌等。发现典型的形态和免疫组织化学特征是正确诊断的关键。

精准的病理诊断是制定有效治疗方案的基石,尤其对于罕见肿瘤和需要靶向药治疗的患者。面对复杂的癌症诊断和治疗,患者往往需要专业的指导和全球范围内的医疗资源支持。MedFind致力于为癌症患者提供一站式服务,包括专业的AI问诊,帮助患者理解病情、获取个性化建议;同时,我们提供海外靶向药代购服务,确保患者能够及时获取所需的抗癌药和仿制药,减轻经济负担。此外,MedFind还提供丰富的药物信息和诊疗指南,助力患者做出明智的治疗选择。
参考文献及书籍:
1.《WHO Classification of Urinary and Male Genital Tumours 》 5th Edition.
2.Mokhtari M, Homayoun M, Yazdan Panah S. The Prevalence of Prostatic Stromal Tumor of Uncertain Malignant Potential in Specimens Diagnosed as Prostatic Hyperplasia. Arch Iran Med. 2016 Jul;19(7):488-90.
3.Veile A, Martin M, McAllister L, Gurven M. Modernization is associated with intensive breastfeeding patterns in the Bolivian Amazon. Soc Sci Med. 2014 Jan;100:148-58.
4.Zamparese R, Corini F, Braccischi A, D’Angelo A, Diamanti L, Del Vecchio M, Giannubilo W, Mambelli V. Primary sarcoma of the specialised prostatic stroma: a case report and review of the literature. Case Rep Pathol. 2011;2011:252805.
5.Murer LM, Talmon GA. Stromal tumor of uncertain malignant potential of the prostate. Arch Pathol Lab Med. 2014 Nov;138(11):1542-5.
6.《临床病理诊断与鉴别诊断–泌尿及男性生殖系统疾病》
