肺癌,这个令人闻之色变的“沉默杀手”,一直是全球范围内癌症死亡的主要原因之一。对于无数患者和家庭来说,每一次关于癌症研究的新进展都意味着希望的曙光。长久以来,我们普遍认为环境中的吸入性颗粒物,特别是微米级的硅颗粒,会增加肺部炎症、纤维化,甚至促进肺癌的发生和发展。然而,最近一项发表在国际权威期刊《J Hazard Mater》上的研究,却彻底颠覆了我们对硅颗粒的传统认知,揭示了一个令人惊喜的发现:纳米级的硅颗粒,非但不会致癌,反而有望成为抑制肺癌进展的“秘密武器”!
这究竟是怎么回事?微米硅和纳米硅,仅仅是尺寸上的差异,为何会导致截然相反的生物学效应?纳米硅又是如何巧妙地对抗肺癌的?作为一名资深的医学内容主编,今天我将为您深入浅出地解读这项突破性研究的来龙去脉,揭示纳米硅颗粒背后隐藏的“抗癌密码”——铁死亡与miR-296-3p,希望能为正与肺癌抗争的您,带来新的思考和希望。
肺癌:不容忽视的“沉默杀手”与环境因素的挑战
肺癌的现状与治疗困境
肺癌是全球发病率和死亡率最高的恶性肿瘤之一,其病因复杂,包括吸烟、空气污染、职业暴露等多种因素。由于早期症状不明显,许多患者确诊时已处于晚期,肿瘤细胞往往已经扩散和转移,这使得治疗变得异常困难,患者的预后也相对较差。如何有效预防肺癌,以及寻找更精准、高效的治疗方法,一直是医学界不懈努力的方向。
环境“元凶”的传统认知:微米硅颗粒的致癌风险
在我们的生活和工业生产中,硅颗粒无处不在,例如建筑工地上的灰尘、矿山粉尘等。长期以来,科学家们通过大量研究明确指出,当这些微米级的硅颗粒被吸入肺部后,会引发一系列病理反应,如慢性炎症、肺纤维化,甚至可能直接刺激细胞癌变或加速癌细胞的增殖与转移。因此,公众普遍对硅颗粒的肺部危害抱有警惕,防护措施也主要集中在避免微米硅的吸入。
颠覆性发现:纳米硅颗粒的“抗癌”潜能浮出水面
微米与纳米之差:粒子大小的惊人“逆转”效应
既然微米硅是致癌的“帮凶”,那么同为硅家族成员的纳米硅颗粒呢?此前,这一领域的研究相对较少。而最新研究的突破之处就在于,它首次明确指出:纳米级硅颗粒与微米级硅颗粒对肺部的作用效果,竟然是截然相反的!这种尺寸上的微小差异,却带来了生物学效应上的巨大反转。
动物实验揭示的希望曙光:延长生存期,减少转移
为了验证纳米硅颗粒的作用,研究团队进行了一系列严谨的动物实验。他们将硅纳米颗粒通过气管滴注的方式导入小鼠肺部,结果令人振奋:
- 健康影响微乎其微:小鼠并未出现明显的肺部炎症、纤维化等不良反应,整体健康状况未受显著影响,这与微米硅的危害性形成了鲜明对比。
- 生存期显著延长:对于荷瘤(即携带肺癌肿瘤)的小鼠,肺部接触纳米硅颗粒后,它们的生存时间得到了显著延长。
- 肺癌转移明显减少:更关键的是,纳米硅颗粒能够显著抑制肺癌细胞向肺部的其他区域转移。众所周知,肿瘤转移是导致癌症患者死亡的主要原因,这一发现对于肺癌治疗而言,无疑具有巨大的潜在价值。
而当研究人员使用微米级硅颗粒进行类似实验时,结果则显示其会加速肺癌的转移,再次印证了粒径大小是决定硅颗粒生物学效应的关键因素。

纳米硅“以柔克刚”:抗癌机制的深度解密
这项研究的价值不仅在于发现了纳米硅颗粒的抑癌作用,更在于清晰地阐明了其背后的作用机制。这为我们理解纳米材料与生物体的相互作用、以及肺癌的进展提供了全新的视角。
并非直接杀伤:重塑肺上皮微环境的巧妙策略
初步的体外细胞实验显示,硅纳米颗粒并非直接作用于肺癌细胞,将其杀死。相反,它采取了一种更为巧妙的“间接策略”:通过调控肺上皮细胞,重塑肺上皮微环境。这种微环境的改变,使得肺癌细胞的增殖、克隆形成和侵袭转移能力受到了间接抑制。
细胞内的“废物处理厂”受损:溶酶体与自噬功能的改变
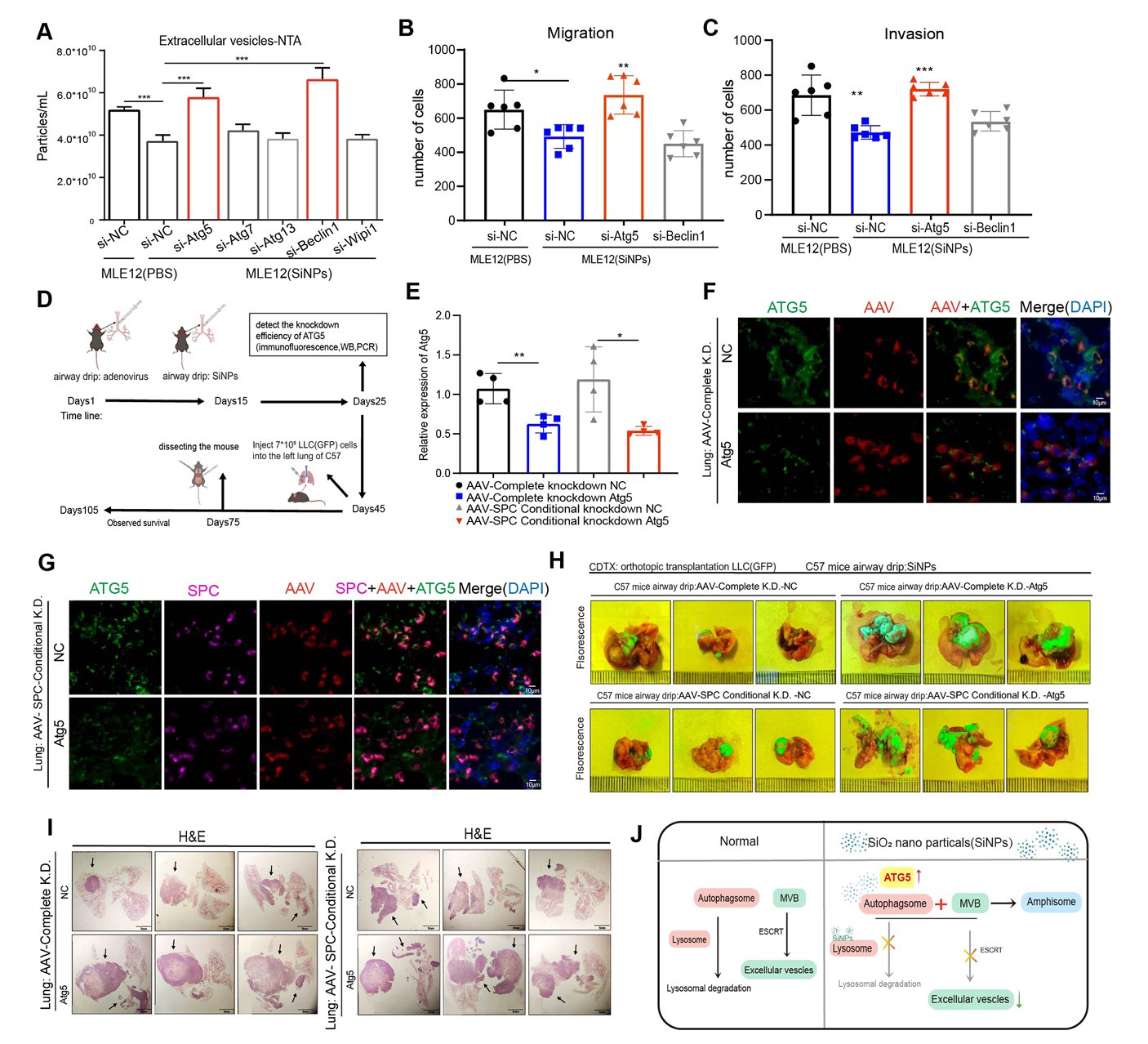
那么,纳米硅颗粒是如何影响肺上皮细胞的呢?研究发现,纳米硅颗粒会直接破坏肺上皮细胞的溶酶体功能。您可以把溶酶体想象成细胞内的“废物处理厂”,它负责降解和回收细胞内的废弃物。当溶酶体功能受损后,细胞的自噬溶酶体(自噬是一种细胞自我消化和回收的过程)的正常降解过程就会受阻,导致一些“废物”或“待处理物”在细胞内积累。这种积累进而促进了自噬小体与多泡体的融合。
阻断“细胞间信使”:细胞外囊泡的减少与通讯中断
溶酶体功能的改变最终导致了什么结果?研究显示,它减少了肺上皮细胞分泌细胞外囊泡。这些细胞外囊泡就像细胞之间的“小信使”,它们携带蛋白质、核酸(如微RNA)等生物分子,在细胞间传递信息,影响其他细胞的行为。在癌症发展过程中,癌细胞常常利用这些囊泡与周围的正常细胞“沟通”,从而获得生长、转移的有利条件。
研究进一步证实,如果通过抑制剂减少肺上皮细胞的细胞外囊泡分泌,也能观察到与纳米硅颗粒处理相似的抑癌效果。这明确指出,纳米硅颗粒主要是通过抑制细胞外囊泡介导的细胞间通讯,来发挥其抑癌作用的。

锁定关键“调控手”Atg5:细胞通讯的幕后英雄
在众多与自噬相关的基因中,研究团队通过细致的筛选和实验,最终锁定了Atg5(自噬相关基因5)是硅纳米颗粒抑制细胞外囊泡分泌的核心因子。体内和体外实验均显示,当Atg5基因被敲低后,硅纳米颗粒对细胞外囊泡分泌的抑制作用就会被逆转,同时肺癌转移会明显加剧。这一发现,明确了Atg5在纳米硅颗粒抑癌过程中的关键调控作用。

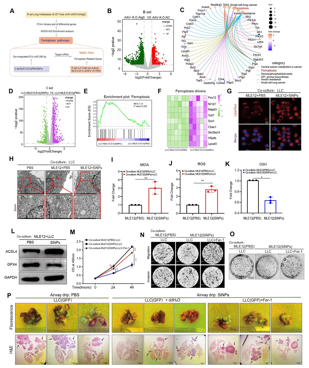
激活癌细胞的“自毁程序”:铁死亡与纳米硅的精准打击
解决了纳米硅如何影响肺上皮微环境的问题,研究团队又进一步探索了这种抑癌作用的下游通路:它如何最终影响癌细胞的命运?答案指向了一种近年来备受关注的细胞死亡方式——铁死亡(Ferroptosis)。
什么是“铁死亡”?一种独特的细胞死亡方式
铁死亡是一种不同于细胞凋亡(细胞程序性死亡)的受调控的细胞死亡方式。它以细胞内脂质过氧化水平升高和线粒体形态异常为典型特征,需要铁元素的参与。简单来说,癌细胞会因为过度的脂质氧化和铁积累而“生锈”坏死。由于癌细胞常常对传统的化疗和放疗产生耐药性,诱导癌细胞发生铁死亡,被认为是癌症治疗的一个新颖且有前景的方向。
纳米硅如何“唤醒”癌细胞的铁死亡敏感性
这项研究发现,由纳米硅颗粒重塑后的肺上皮微环境,会显著增强肺癌细胞对铁死亡的敏感性。也就是说,在这种微环境下,肺癌细胞更容易被“激活”自身的铁死亡程序而走向毁灭。实验中,接触了纳米硅相关微环境的肺癌细胞,也确实出现了脂质过氧化水平升高和线粒体形态异常这些铁死亡的典型特征。更进一步,当研究人员使用铁死亡抑制剂后,纳米硅颗粒的抑癌作用会被完全逆转,这有力地证实了铁死亡是纳米硅颗粒发挥抑癌作用的关键环节。

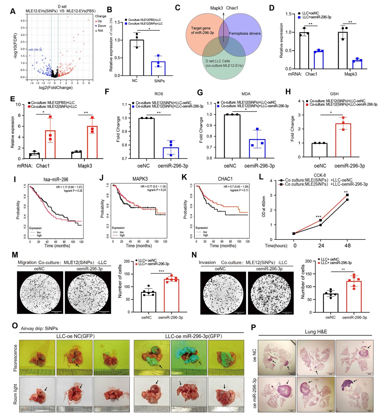
揭秘核心“密码”miR-296-3p:抗癌路径的分子靶点
至此,整个抗癌机制的拼图逐渐清晰,但还有最后一个核心疑问:纳米硅如何精确地通过肺上皮微环境来增强肺癌细胞的铁死亡敏感性?研究团队通过基因测序和功能验证,最终找到了整个调控通路的核心分子——肺上皮细胞外囊泡中的miR-296-3p。
miR-296-3p的“双面角色”:促癌与抑癌的平衡
miR-296-3p是一种微小RNA(microRNA),在细胞中扮演着基因表达调控者的角色。这项研究发现,miR-296-3p在癌细胞中扮演了一个“帮凶”的角色:它能通过靶向抑制铁死亡激活基因Mapk3和Chac1,从而降低肺癌细胞对铁死亡的敏感性,帮助癌细胞逃脱“自毁”命运。
纳米硅的“精准打击”:下调miR-296-3p,增强铁死亡
而关键在于,在纳米硅颗粒处理后,肺上皮细胞外囊泡中这种miR-296-3p的表达会显著下调。这意味着,纳米硅通过减少了肺上皮细胞分泌的miR-296-3p,从而解除了癌细胞逃避铁死亡的“保护伞”,使其更容易发生铁死亡。实验显示,过表达miR-296-3p会显著促进肺癌细胞的增殖和转移,这进一步验证了其促癌作用。令人鼓舞的是,临床数据也支持了这一发现:肺癌患者体内miR-296-3p的低表达,与良好的预后密切相关。
Atg5/细胞外囊泡/miR-296-3p轴:完整的抗癌调控通路
至此,纳米硅颗粒抑癌的完整通路浮出水面:
- 纳米硅颗粒被肺上皮细胞摄取。
- 破坏肺上皮细胞溶酶体功能,导致自噬溶酶体降解受阻。
- 进而通过Atg5调控,减少肺上皮细胞分泌细胞外囊泡。
- 减少的细胞外囊泡携带的miR-296-3p含量降低。
- 低水平的miR-296-3p无法有效抑制Mapk3和Chac1等铁死亡激活基因。
- 最终,增强了肺癌细胞对铁死亡的敏感性,抑制了肺癌的进展和转移。
这一环环相扣的机制,清晰揭示了纳米硅颗粒如何“以柔克刚”,通过改变微环境来诱导癌细胞走向“自毁”。

这项研究的深远意义与未来展望
刷新认知:环境纳米材料的全新视角
这项研究无疑是肺癌研究领域的一项重要突破,它彻底刷新了人们对硅颗粒的认知,打破了“吸入性硅颗粒均会促进肺癌进展”的固有印象。它首次发现了硅纳米颗粒通过纳米-生物相互作用重塑肺上皮微环境的抑癌效应,填补了纳米材料与肺上皮微环境、肺癌进展关联研究的空白。这为理解环境纳米颗粒与肿瘤发生发展的关系提供了全新实验依据,也提醒我们在评估环境因素对健康的影响时,需要更加细致地考虑材料的物理化学特性,尤其是粒径大小。
潜在的肺癌早期干预与治疗靶点
更重要的是,这项研究为肺癌的早期进展和治疗挖掘了潜在的分子靶点。未来,我们是否有可能开发出:
- 纳米硅衍生的药物:利用纳米硅的特性,作为一种新型的肺癌辅助治疗或预防手段。
- 针对Atg5或miR-296-3p的靶向药物:通过调控这条信号轴,达到抑制肺癌细胞生长和转移的目的。
- 诱导铁死亡的疗法:结合纳米硅的作用机制,开发出更有效的诱导肺癌细胞铁死亡的药物,为那些对传统疗法耐药的患者提供新的希望。
这项研究为后续的基础研究和临床转化打下了重要的理论基础。
基础研究到临床应用的漫漫征程
虽然这项研究带来了激动人心的希望,但我们也要清醒地认识到,从实验室的动物实验和细胞实验到最终的临床应用,还有漫长而严谨的道路要走。这其中需要经历更多的临床前研究、人体临床试验等多个阶段,以确保其安全性和有效性。但无疑,它为肺癌的防治和治疗打开了一扇新的大门。
MedFind:与您并肩,探索抗癌新希望
面对癌症,信息就是力量。在抗癌的道路上,MedFind致力于为患者和家属提供最前沿、最准确的抗癌资讯、药物信息和诊疗指南。我们会持续关注这类突破性的研究进展,并以通俗易懂的方式呈现给您,帮助您更好地理解疾病,做出更明智的决策。
如果您或您的家人正面临肺癌的挑战,对最新的治疗方案、药物获取渠道(包括可能出现的创新疗法或跨境购药)有任何疑问,都可以通过MedFind的AI辅助问诊功能进行初步咨询,或寻求我们的专业团队协助。我们相信,科学的进步和信息的透明化,将共同照亮抗癌之路。
参考文献:
Zhang YH, Zhang J, Shi L, et al. Nano-bio interaction determines the early progression of lung cancer by reshaping pulmonary epithelial microenvironment. J Hazard Mater. Published online January 31, 2026. doi:10.1016/j.jhazmat.2026.141316
