胶质母细胞瘤(Glioblastoma, GBM),一个令无数患者和家庭闻之色变的“脑癌之王”,以其极高的恶性程度、惊人的复发率和短暂的平均生存期,成为全球医学界面临的巨大挑战。长期以来,这类恶性脑癌患者的治疗选择有限,预后不佳,家属们也承受着巨大的心理压力。然而,科学的脚步从未停止。近日,一篇发表在国际权威期刊《细胞报告》(Cell Reports)上的重磅研究,为攻克这一顽疾带来了全新的视角与希望。该研究首次揭示了肿瘤微环境中PTPRZ1蛋白调控胶质母细胞瘤侵袭的独特“非催化”机制,并指出了一个极具潜力的全新治疗靶点。MedFind深知患者及家属对抗癌新希望的渴望,我们将深入浅出地为您解读这项里程碑式的研究,探讨它如何可能改变胶质母细胞瘤的治疗格局。
胶质母细胞瘤:为何被称为“脑癌之王”?
胶质母细胞瘤,是最常见也是最恶性的原发性脑肿瘤。它的“脑癌之王”称号并非空穴来风:
- 极高恶性度: 胶质母细胞瘤生长迅速,肿瘤细胞具有高度侵袭性,很容易扩散到脑部其他区域。
- 预后极差: 患者确诊后的平均生存期仅有12到18个月,5年生存率甚至不足6%,这意味着绝大多数患者在确诊后难以活过五年。
- 复发率近100%: 即使经过手术切除、放疗和化疗等综合治疗,胶质母细胞瘤的复发率也几乎达到100%,这让患者和医生都感到无比沮丧。
- 治疗困境: 肿瘤细胞位于大脑深处,手术难以完全切除;血脑屏障的存在也使得许多药物难以有效到达肿瘤部位;加之肿瘤内部细胞类型复杂多样,对治疗产生耐药性,使得传统治疗手段效果不尽如人意。
长期以来,医学界普遍认为,胶质母细胞瘤之所以如此难以治疗,其复杂的肿瘤微环境与肿瘤细胞之间盘根错节的通讯机制是核心症结。这种“通讯”像一张无形的网,支持肿瘤细胞的生长、侵袭和耐药。要破解这张网,首先就需要一个能够真实模拟人体内环境、精准捕捉这些复杂通讯的实验模型。
创新模型:破解肿瘤微环境通讯的“黑盒子”
传统上,胶质母细胞瘤的研究常常受限于实验模型的不足。要么是简单的细胞培养,难以模拟真实的人体三维结构和微环境;要么是动物模型,虽然更复杂,但操作繁琐、耗时耗力,且动物与人体的生理差异也可能导致研究结果无法完全转化为临床应用。这些局限性使得许多潜在的治疗靶点在研发阶段就陷入了瓶颈。
传统研究的局限性
以往的研究模型往往无法充分再现胶质母细胞瘤在患者体内的复杂性。例如,仅在培养皿中培养的胶质瘤细胞,会失去其在真实脑组织中与神经元、胶质细胞、血管细胞等多种细胞的相互作用,从而无法全面揭示肿瘤的生长和侵袭机制。这种“管中窥豹”的研究方式,难以提供攻克顽疾所需的完整图景。
人源类器官肿瘤移植系统(HOTTS)的优势
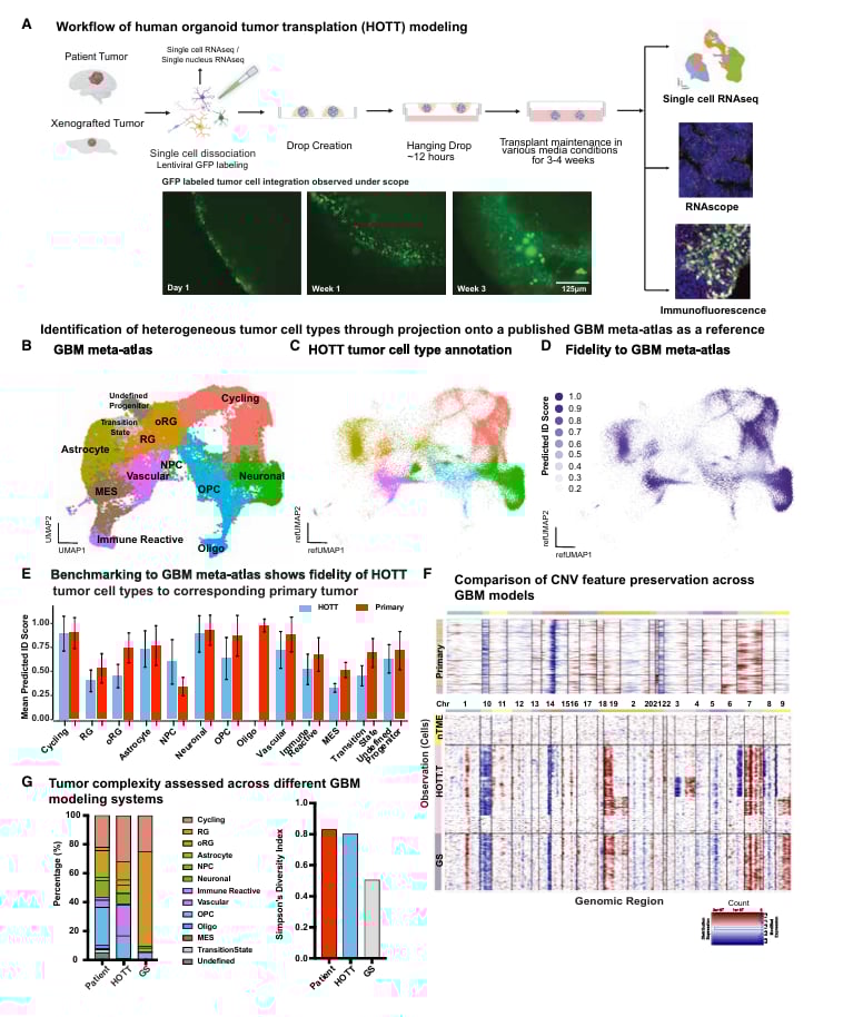
为了打破这一困境,本次《细胞报告》的研究团队自主开发了一种革命性的工具——人源类器官肿瘤移植系统(Human Organoid Tumor Transplantation System, HOTTS)。这个系统的最大亮点在于它高度模拟了患者体内的真实肿瘤微环境:
- 源自患者,保留原汁原味: HOTTS直接采用来自患者或异种移植模型的肿瘤细胞,这些细胞未经过体外非脑环境的培养,因此完整保留了原发肿瘤的细胞异质性(即肿瘤内部不同类型的细胞)与基因特征。这就像直接从患者身上“复制”了一个迷你肿瘤,最大限度地还原了真实情况。
- 以人胚胎干细胞类器官为载体: 系统以人胚胎干细胞来源的皮质类器官为“基底”,构建出富含神经细胞的肿瘤微环境。皮质类器官是一种在体外培养的人脑组织模型,可以模拟大脑的结构和功能。将肿瘤细胞种植在这样的“微型大脑”中,能够更真实地反映肿瘤与周围神经细胞的相互作用。
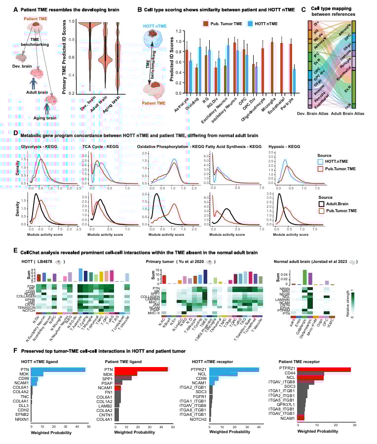
- 高度吻合真实肿瘤: 经验证,HOTTS构建的微环境在细胞组成、分子特征、代谢基因程序以及细胞间相互作用等方面,均与患者体内肿瘤微环境高度吻合。它甚至能精准重现患者肿瘤的标志性基因变异,例如染色体7扩增和染色体10缺失。
- 稳定可靠: 无论在何种培养基条件下,HOTTS都能稳定维持肿瘤干细胞样细胞及成熟细胞类型,确保了研究结果的可靠性和可重复性。



图1:人源类器官肿瘤移植来源的肿瘤细胞重现原发肿瘤特征

图2:人源类器官肿瘤移植系统重现患者肿瘤微环境特征
HOTTS的成功开发,为研究胶质母细胞瘤的复杂机制提供了一个前所未有的“放大镜”,使得科学家能够更清晰地观察到肿瘤细胞与微环境之间的“对话”,从而为发现新的治疗靶点铺平道路。
PTPRZ1:胶质母细胞瘤侵袭的“幕后推手”
借助HOTTS的强大功能,研究团队开始深入解析肿瘤与微环境之间的通讯机制。他们通过专业工具对配体-受体相互作用进行分析,就像侦探在寻找犯罪现场的关键线索一样,最终筛选出在患者肿瘤和HOTTS系统中都普遍存在的四个“嫌疑基因”:PTPRZ1、NCAM1、MDK和CD99。这些基因都与肿瘤的粘附、迁移或增殖(即肿瘤的生长和扩散)有关。
关键蛋白筛选与核心因子确认
为了找出真正的“幕后推手”,研究人员在HOTTS系统中对这四个基因逐一进行了“敲低”实验,即降低它们的功能。结果令人惊喜:只有PTPRZ1被敲低时,肿瘤细胞才出现了显著的变化;而其他基因的敲低并未导致统计学上的明显改变。这一结果明确指向了PTPRZ1,证实它是调控肿瘤-微环境通讯的核心因子。
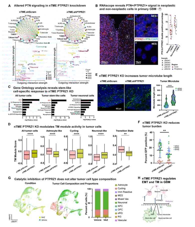
意想不到的非催化机制
PTPRZ1是一种受体酪氨酸磷酸酶,传统观点认为它通过“催化去磷酸化作用”来调控细胞功能,就像一个开关,通过添加或移除磷酸基团来控制蛋白质的活性。然而,本次研究却得出了一个“意外发现”:当研究人员使用PTPRZ1的催化抑制剂(一种专门阻断其催化作用的药物)进行处理时,并未重现PTPRZ1敲低所引发的肿瘤细胞变化。这表明,PTPRZ1调控肿瘤细胞命运的作用,竟然不依赖于其传统的催化活性,而是通过一种“非催化”方式,即细胞间的直接通讯来实现的!
进一步深入分析显示,PTPRZ1与它的“搭档”——配体PTN(一种生长因子),在肿瘤的核心区域和边缘区域的肿瘤细胞及非肿瘤细胞中都共同表达,两者共同构成了一个关键的信号轴,像一对“话筒和接收器”,精准调控着肿瘤间充质样细胞和混合血管细胞群之间的通讯。这意味着PTPRZ1并非孤军奋战,而是通过与PTN的协作,来影响肿瘤细胞的行为。
PTPRZ1如何驱动肿瘤恶化
那么,PTPRZ1是如何影响肿瘤的呢?研究发现,当肿瘤微环境中的PTPRZ1被敲低后,三类患者来源的肿瘤细胞都出现了一致的表型变化:
- 间充质细胞比例显著增加: 这类细胞通常与肿瘤的侵袭性、迁移能力和治疗抵抗性密切相关。“上皮-间质转化(EMT)”是一个关键过程,它让肿瘤细胞从相对“固定”的上皮细胞形态转变为“流动性强”的间充质细胞形态,从而获得更强的侵袭和转移能力。PTPRZ1敲低显著上调了所有肿瘤细胞及干细胞样细胞中的上皮-间质转化基因程序,这表明它与肿瘤变得更具侵略性直接相关。
- 混合血管细胞亚群富集: 这类细胞可能参与肿瘤血管的形成,为肿瘤提供营养,促进其生长。
- 肿瘤微管长度显著延长: 肿瘤微管是胶质瘤细胞形成的一种独特的互连网络结构,就像肿瘤细胞之间搭建的“高速公路”,是肿瘤侵袭和迁移的关键结构基础。它的长度变化直接反映了肿瘤的侵袭能力。微管延长意味着肿瘤细胞能够更有效地相互连接,形成更大的网络,从而更具侵袭性。
- SOX2、Ki67、HOPX表达下降: 这些是径向胶质细胞和增殖细胞的标志物。它们的下降,暗示着肿瘤细胞的生长和增殖模式发生了改变。

图3:人源类器官肿瘤移植系统捕捉肿瘤微环境基因扰动驱动的肿瘤细胞类型转变

图4:肿瘤微环境中PTPRZ1敲低驱动肿瘤上皮-间质转化
更重要的是,研究还发现,PTPRZ1的敲低能够显著减少肿瘤负荷。这意味着,如果能够成功靶向并抑制PTPRZ1的功能,就有可能抑制肿瘤的生长和扩散,这无疑为胶质母细胞瘤的治疗提供了新的潜在切入点。
未来展望:PTPRZ1靶向治疗的曙光
这项重磅研究通过创新的人源类器官肿瘤移植系统,不仅突破了传统模型的局限性,更首次揭示了肿瘤微环境中PTPRZ1蛋白的“非催化”功能。它作为细胞间通讯的关键介质,在调控胶质母细胞瘤的间充质转化、肿瘤微管形成以及最终的肿瘤负荷方面,都发挥着至关重要的作用。
这一发现的意义深远:它不仅极大地丰富了我们对肿瘤与微环境相互作用的认知,更重要的是,它为胶质母细胞瘤提供了一个全新的、此前未被发现的治疗靶点。传统的靶向治疗多关注肿瘤细胞自身的基因突变或蛋白质活性,而本次研究则将目光投向了肿瘤微环境中的通讯机制,这为未来的药物研发开辟了崭新的思路。
想象一下,如果能够开发出一种精准靶向PTPRZ1与PTN信号轴的药物,它就能像一把“手术刀”,精准地切断肿瘤细胞与微环境之间的恶性通讯,从而抑制肿瘤的侵袭、扩散,并最终减少肿瘤的体积。这对于那些被诊断为胶质母细胞瘤,承受巨大痛苦和压力的患者来说,无疑是黑暗中的一束光。MedFind致力于将全球最新的科研成果转化为触手可及的治疗方案,我们相信,未来基于这一发现开发的靶向疗法,有望精准干预肿瘤微环境通讯,为改善胶质母细胞瘤患者的治疗结局、提升生存质量带来革命性的突破。
综上所述,这项研究不仅是对恶性肿瘤微环境靶向治疗研究的重要参考,更是对所有在与“脑癌之王”抗争的患者及其家属的巨大鼓舞。它提醒我们,在医学的道路上,总有新的发现和新的希望。MedFind将持续关注这类前沿的抗癌资讯和临床研究进展,及时为您带来最新、最全面的解读,并帮助患者了解和获取全球前沿疗法,为您的抗癌之路提供最坚实的支持。请您保持信心,我们与您同在!
