引言:白血病治疗中的“最后堡垒”
在儿童血液病的治疗征途中,急性淋巴细胞白血病(ALL)虽然已不再是不可逾越的鸿沟,但其“狡猾”之处在于,白血病细胞往往会潜伏在中枢神经系统(脑和脊髓)中。由于人体存在天然的“血脑屏障”,常规的静脉化疗药物很难进入中枢神经系统,这使得脑膜白血病成为了复发的主要诱因之一。为了攻克这一堡垒,鞘内化疗——即直接将药物注入脑脊液,成为了必不可少的手段。然而,传统的反复腰椎穿刺给患儿带来了巨大的生理和心理创伤。近期,中国科学技术大学附属第一医院的一项突破性手术,为这一难题提供了全新的解决方案。MedFind 将带您深度解析这一名为“鞘内药物输注系统(IDDS)”的黑科技。
一、 为什么鞘内化疗对白血病患儿至关重要?
1. 血脑屏障:保护伞还是绊脚石?
血脑屏障是人体的一种自我保护机制,它能阻止血液中的有害物质进入大脑。但在抗癌过程中,它也挡住了绝大多数化疗药物。对于急性淋巴细胞白血病患者而言,如果不进行预防性的中枢治疗,中枢神经系统白血病(CNSL)的发生率极高。
2. 传统腰穿的“痛点”
传统的给药方式是腰椎穿刺,即俗称的“扎腰大针”。对于一名患儿来说,整个治疗周期可能需要进行 20 次甚至更多的腰穿。这不仅意味着反复的剧烈疼痛,还伴随着感染、低颅压头痛以及长期的心理阴影。特别是对于重度肥胖的患儿,由于脂肪层厚、骨性标志不清,穿刺难度呈几何倍数增加,往往需要多次尝试才能成功,这对患儿和家属来说都是一种煎熬。
二、 鞘内泵(IDDS):一次植入,长期获益
为了解决上述困境,医学界引入了植入式鞘内药物输注系统(IDDS),俗称“鞘内泵”。这是一种半植入式的医疗设备,通过手术将一根细小的导管植入蛛网膜下腔,另一端连接在皮下的输注港。在 MedFind 接触的众多案例中,这种技术被视为提升血液病患者生活质量的关键创新。
1. 病例回顾:16岁肥胖患儿的挑战
患儿殷某,16岁,身高 186cm,体重却达到了 140kg,BMI 高达 40.5 kg/m²。他被确诊为急性淋巴细胞白血病(B-ALL),且伴有高血压和高血糖。由于重度肥胖,传统的腰穿对他来说几乎是一场“灾难”。中科大附一院的多学科团队(MDT)经过严密评估,决定为其实施首例儿童血液病鞘内泵植入术。
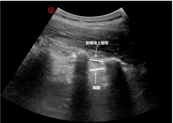
2. 精准手术:超声与 C 臂的双重守护
手术的核心在于“精准”。麻醉科专家采用了“局麻 + 超声引导椎旁神经阻滞”的复合方案,既保证了患儿在手术过程中全程无痛,又避免了全麻对肥胖患者呼吸系统的抑制。在超声实时引导下,医生避开了复杂的血管和神经,精准建立通路。随后,通过 C 臂机透视,确认导管尖端准确位于蛛网膜下腔。这种“双保险”模式,将手术风险降到了最低。
三、 鞘内化疗的药物选择与机制
在鞘内泵植入成功后,给药变得异常简便。通常使用的“三联鞘注”方案包括:地塞米松、阿糖胞苷和甲氨蝶呤。这些药物直接作用于脑脊液,能够迅速杀灭潜伏的白血病细胞。
1. 药物作用原理
甲氨蝶呤和阿糖胞苷通过干扰癌细胞的 DNA 合成来抑制其增殖,而地塞米松则能减轻化疗引起的炎症反应,预防脑膜刺激征。在血液病的综合治疗中,除了这些基础化疗药,一些新型靶向药物如维奈克拉(点击查看购买渠道与价格)也常被用于系统性治疗,以进一步提高缓解率。MedFind 提醒广大患者,针对不同分型的白血病,用药方案需严格遵循医嘱。
2. 临床数据支持
研究表明,通过 IDDS 进行鞘内给药,药物在脑脊液中的分布更加均匀,浓度更加稳定。相比于单次腰穿给药,IDDS 能够维持更长时间的有效药物浓度,这对于预防 CNSL 复发具有重要意义。临床数据显示,采用该系统的患者,其无进展生存期(PFS)和总生存期(OS)均有改善趋势,且并发症发生率显著降低。
四、 术后护理与副作用管理
虽然鞘内泵植入术属于微创,但术后的科学护理依然不可忽视。
1. 术后 24 小时关键期
术后需密切观察穿刺点是否有渗血或渗液。由于导管直接通往脊髓腔,预防感染是重中之重。患儿需卧床休息 6 小时,避免剧烈扭转躯干,以防导管移位。
2. 长期维护建议
- 保持清洁:输注港区域的皮肤需保持干燥,定期更换敷料。
- 功能监测:定期检查导管通畅性,观察是否有头痛、发热或下肢感觉异常等症状。
- 心理疏导:由于不再需要反复腰穿,家属应多鼓励患儿,帮助其建立战胜疾病的信心。
五、 总结:精准医疗的人文温度
这例手术的成功,不仅是技术的胜利,更是医学人文关怀的体现。麻醉科从手术室走向围术期全程管理,血液科与影像科无缝衔接,共同为肥胖患儿打造了一条“无痛化疗之路”。对于广大癌症患者及家属而言,了解最新的医疗技术和药物资讯是缓解焦虑的第一步。MedFind 作为一个由患者家属发起的资讯共享平台,始终致力于分享全球前沿的抗癌信息,并协助患者构建海外购药渠道。如果您想了解更多关于白血病治疗或相关药物(如伊布替尼、维奈克拉等)的信息,欢迎访问 MedFind 官网进行 AI 辅助问诊或咨询。在冰冷的疾病面前,我们愿用专业与温情,守护每一道生命的微光。




