对于无数正在与癌症抗争的患者和焦虑的家属而言,每一次医学新发现都承载着沉甸甸的希望。我们深知,除了药物治疗,日常的饮食和生活方式也扮演着至关重要的角色。然而,面对各种复杂的饮食建议,如何“管住嘴”常常成为一大难题。今天,MedFind将为您带来两项令人振奋的最新研究,它们共同揭示了一个颠覆性的理念:或许我们无需苦苦节食,只需策略性地调整蛋白质摄入,就能在改善自身健康的同时,为“饿死”癌细胞提供新的可能!
癌细胞的“饥饿疗法”:限制氨基酸,激活“铁死亡”
癌细胞是出了名的“大胃王”,为了维持其疯狂的增殖速度,它们会不遗余力地攫取身体内的各种营养物质,其中就包括蛋白质的基本构成单位——氨基酸。长期以来,科学家们一直在思考,如果能切断癌细胞的“口粮”,它们是否会停止生长,甚至自我毁灭?
来自瑞典哥德堡大学的研究团队,近期在权威期刊Redox Biology上发表了一项重磅研究,为我们描绘了这样一幅蓝图:当氨基酸供应不足时,癌细胞内部的“饥饿传感器”GCN2会被激活,进而启动一整套综合应激反应通路,让癌细胞对一种特殊的细胞死亡方式——“铁死亡”变得格外敏感。

那么,什么是“铁死亡”呢?简单来说,它是一种由细胞内铁离子堆积和脂质过氧化(就像铁生锈一样)引起的细胞死亡方式。与我们熟知的细胞凋亡(程序性死亡)不同,“铁死亡”更像是一种“氧化性自毁”。癌细胞为了生存,需要强大的抗氧化系统来抵御这种氧化损伤,其中谷胱甘肽就是最重要的“护身符”。
实验揭示:肺癌细胞在“饥饿”中更容易“生锈”
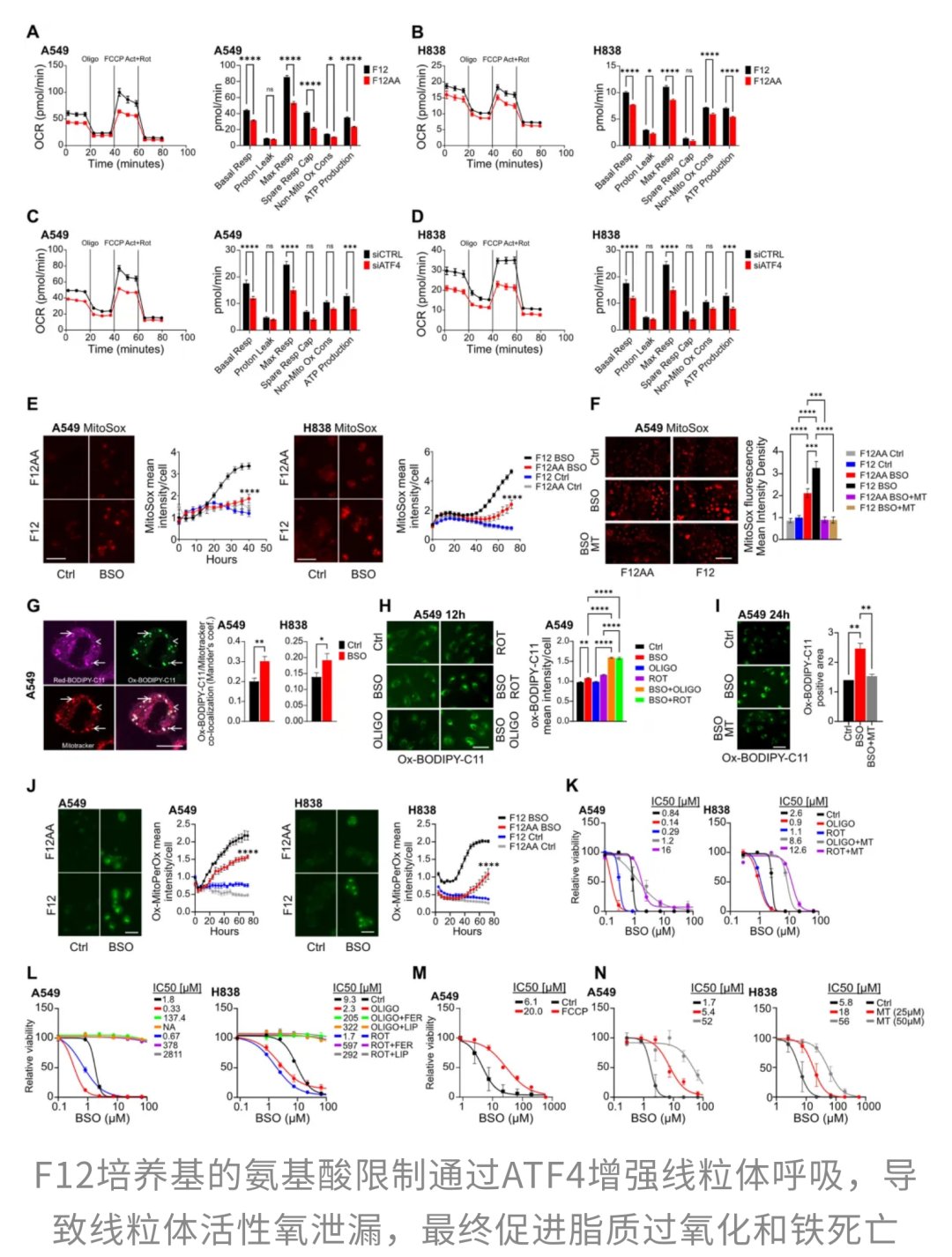
研究人员将肺癌细胞(如A549、H838等)分别置于两种不同的培养环境中:一种是氨基酸相对匮乏的F12培养基,另一种是氨基酸充足的RPMI培养基。他们发现,在F12这种“清汤寡水”的环境中,肺癌细胞对丁硫氨酸亚砜胺(BSO)的敏感性显著增强。BSO是一种能够抑制谷胱甘肽合成的物质,它能削弱癌细胞的抗氧化防线。

这意味着,仅仅是调整培养基中氨基酸的供给,就足以重塑癌细胞的代谢状态和抗氧化能力,从而决定它们是否会在“铁死亡”诱导剂面前“败下阵来”。
进一步的分析揭示了其中的奥秘:当谷胱甘肽的合成被BSO阻断时,在氨基酸匮乏的F12条件下,细胞内的脂质过氧化水平迅速飙升。而脂质过氧化正是“铁死亡”的关键驱动因素。当研究者加入去铁胺(一种铁螯合剂,能“锁住”游离铁离子)后,BSO对癌细胞的杀伤力明显减弱,这进一步证实了铁离子在“铁死亡”过程中的核心作用。

简而言之,在氨基酸供应紧张的环境中,癌细胞一方面失去了足够的谷胱甘肽保护,另一方面又暴露在铁离子催化的脂质过氧化风暴中,这种“双重夹击”大大降低了它们走向“铁死亡”的门槛。
“饥饿”下的癌细胞:高风险的“高速运转”
研究还发现,氨基酸供应不足还会把癌细胞逼进一种高能耗、高风险的生存模式。在F12这种“清汤寡水”的环境里,癌细胞为了不被饿死,被迫启动应急方案:它们通过激活转录因子4(ATF4)这个应激开关,全面提升线粒体的呼吸水平,踩下能量代谢的油门。
表面看,这是癌细胞在拼命自救,但付出的代价同样不小。线粒体高速运转的同时,也会不断泄漏出更多的活性氧。平时,这些氧化压力还能靠谷胱甘肽“兜底”,可一旦BSO把这道防线拆掉,线粒体产生的活性氧就会迅速“点燃”脂质过氧化反应,最终把癌细胞推向“铁死亡”的深渊。

研究人员进一步锁定了压力应答激酶(GCN2)这一癌细胞内部的“饥饿感受器”。当氨基酸不足时,GCN2会被激活,继而启动综合应激反应(ISR),推动ATF4水平升高。这套机制原本是为了帮细胞熬过“饥荒”,却在谷胱甘肽已被耗竭的条件下,增强了线粒体呼吸能力,同步产生了更多的活性氧,加速脂质氧化,让癌细胞在“铁死亡”的路上“狂奔”。
基因敲低技术验证了这一点:如果抑制GCN2或ATF4的表达,即使在低氨基酸环境下,癌细胞也能抵抗BSO的杀伤。换言之,正是这条GCN2–ATF4通路,把“氨基酸匮乏”一步步转译成了“铁死亡易感”。

这项研究为我们描绘了一个令人兴奋的抗癌新策略:通过限制氨基酸供应,我们可以巧妙地利用癌细胞的“求生欲”,将其逼入高风险的代谢状态,并使其对“铁死亡”变得异常脆弱。这为未来的癌症治疗,尤其是结合靶向“铁死亡”的药物,提供了全新的思路。
无需节食,也能瘦下来?限制蛋白质,改善代谢效率!
除了对癌细胞的潜在影响,限制蛋白质摄入对我们自身的健康,尤其是代谢健康,也展现出了惊人的益处。这对于许多癌症患者而言尤为重要,因为代谢紊乱(如糖尿病、肥胖)常常是癌症治疗的伴随挑战,甚至会影响治疗效果。
此前,来自巴西圣保罗大学的研究团队在Nutrients上发表了一项研究,为这种“轻松版饮食管理”在特定人群中改善健康提供了有力的证据。他们发现,即便不刻意减少总热量摄入,只是把膳食中的蛋白质比例降低一些,也能给代谢综合征患者带来显著的代谢收益。
27天,体重下降5.4kg,代谢全面改善!
这项研究的参与者是患有代谢综合征的成年人。代谢综合征是一种复杂的疾病,表现为高血压、高血糖、腹部肥胖和血脂异常等多种代谢紊乱的集合。它不仅增加心血管疾病的风险,也可能影响癌症的预后。

研究结果令人惊喜:短短27天,通过限制蛋白质摄入的饮食方式,参与者就实现了几乎媲美传统节食的代谢改善效果:
- 体重显著下降:平均减重5.4公斤,且减掉的几乎都是脂肪,宝贵的肌肉可以说“毫发无伤”。这一点对代谢综合征患者们来说尤其关键,因为肌肉好比是身体的“血糖储蓄罐”,保住肌肉,才能长远稳住血糖代谢的“底盘”。
- 血压降低:高血压是代谢综合征的常见表现,限制蛋白质摄入有助于血压恢复正常水平。
- 血糖和血脂水平改善:包括甘油三酯和胆固醇在内的血脂指标以及血糖水平都得到了显著优化。
- 胰岛素敏感性大幅提升:胰岛素抵抗是代谢综合征的核心问题之一,限制蛋白质组甚至出现了令人惊喜的反超,胰岛素敏感性得到了显著改善。

研究者指出,当我们大幅减少蛋白质摄入后,机体就不再需要耗费大量精力去处理那些过剩的氨基酸(尤其是与胰岛素抵抗相关的支链氨基酸)。因此,代谢负担减轻了,能量分配和利用反而变得更合理、更有效率。也就是说,机体不再忙于无谓的“内部消耗”,从而把更多的精力用于改善自身的代谢功能。
将研究成果应用于日常:科学管理,专业指导
这两项研究为我们描绘了一个充满希望的未来:通过科学地调整饮食结构,特别是对蛋白质摄入进行策略性限制,我们不仅能改善自身的代谢健康,甚至可能为癌症治疗提供一种全新的辅助手段。这种“一石二鸟”的健康管理方式,无疑为患者和家属带来了新的希望。
然而,MedFind在此郑重提醒各位患者和家属,这些研究成果仍处于早期阶段,并且是基于细胞实验和特定人群的临床试验。“限制蛋白质摄入”并非意味着完全不吃蛋白质,更不是可以随意进行的“饥饿疗法”。蛋白质是人体必需的宏量营养素,过度的限制可能导致营养不良,对身体造成伤害。
在将这些研究理念应用于实际生活之前,务必咨询您的主治医生或专业的营养师。他们会根据您的具体病情、身体状况和治疗方案,为您量身定制最安全、最有效的饮食计划。例如,对于正在接受化疗或放疗的患者,可能需要充足的蛋白质来支持身体修复和免疫功能。
未来的癌症治疗,很可能不仅仅是药物的较量,更是综合管理、精准营养的体现。通过饮食干预来增强癌细胞对治疗的敏感性,或改善患者的整体健康状况,将是医学界重要的发展方向。
MedFind致力于为患者提供最新、最全面的抗癌资讯和药物信息,并通过AI辅助问诊和海外购药渠道,帮助患者找到最适合的治疗方案。我们相信,知识就是力量,科学的指导能为您的抗癌之路增添更多信心和希望。
结语
无需严苛的节食,通过对蛋白质摄入的策略性调整,我们看到了一个全新的健康管理和抗癌思路:它不仅能帮助我们轻松减重、改善代谢,更可能激活癌细胞的“铁死亡”开关,促使其自我毁灭。这无疑为焦虑中的患者和家属带来了新的曙光。
请记住,每一次科学的进步,都离不开严谨的探索和实践。在追求健康和治疗的道路上,MedFind将始终与您同行,为您提供最前沿的资讯和最专业的支持。让我们一起,用科学的力量,点亮生命的希望!
