肝癌患者的隐形杀手:慢性压力如何影响您的健康?
对于每一位肝癌患者和他们的家庭来说,抗癌之路充满了挑战与不确定性。除了身体上的病痛,心理上的压力更是无形却巨大的负担。您是否曾感到焦虑、抑郁,或者长期处于紧张状态?这些看似“正常”的情绪反应,其实可能对您的治疗效果产生意想不到的影响。
长期以来,医学界已经认识到心理应激(也就是我们常说的“压力”)不仅会损害记忆、认知和行为功能,还会引起心血管、胃肠道和免疫系统等全身多个系统的稳态失衡。大量研究表明,心理应激与包括肝炎、脂肪肝、肝硬化,甚至肝癌在内的多种肝病的发生发展及死亡率升高密切相关。然而,慢性应激究竟是如何在细胞和分子层面影响肝功能,特别是加速肝癌进展的,这一具体机制一直是个谜团。
直到近期,山东大学基础医学院梁晓红团队在国际顶级科学期刊《Nature Metabolism》(自然·代谢)上发表了一项突破性研究,首次揭示了慢性应激通过损伤肝脏的犬尿氨酸代谢,加重CD8阳性T细胞的损伤,从而促进肝癌进展的免疫细胞机制。这项研究为我们理解“心病”如何影响“身病”,以及未来肝癌的治疗和管理提供了全新的视角。
肝癌的现状与治疗困境:为何我们需要更多新发现?
肝癌,特别是肝细胞癌(HCC),是全球范围内发病率和死亡率都极高的恶性肿瘤之一。由于其早期症状不明显,许多患者在确诊时已处于中晚期,错过了最佳治疗时机。即使接受了手术、化疗、靶向治疗或免疫治疗,肝癌患者仍面临高复发率和耐药性的挑战。因此,深入探索肝癌的发生发展机制,寻找新的治疗靶点和干预策略,对于改善患者预后至关重要。
过去,我们更多关注肝癌的基因突变、病毒感染(如乙肝、丙肝)或脂肪肝等传统风险因素。但这项新研究提醒我们,心理因素,尤其是慢性压力,可能也是一个不容忽视的“幕后推手”。理解这一机制,不仅能帮助我们更好地预防和管理肝癌,甚至可能为开发新的辅助治疗手段提供思路。
颠覆认知!《自然》杂志揭示慢性压力加速肝癌进展的深层机制
这项由山东大学梁晓红团队完成的研究,通过严谨的实验设计,详细阐述了慢性应激如何一步步“瓦解”肝脏的免疫防线,最终加速肝癌的恶化。让我们一起来深入了解这些关键发现:

核心发现一:慢性压力如何“削弱”肝脏免疫防线?
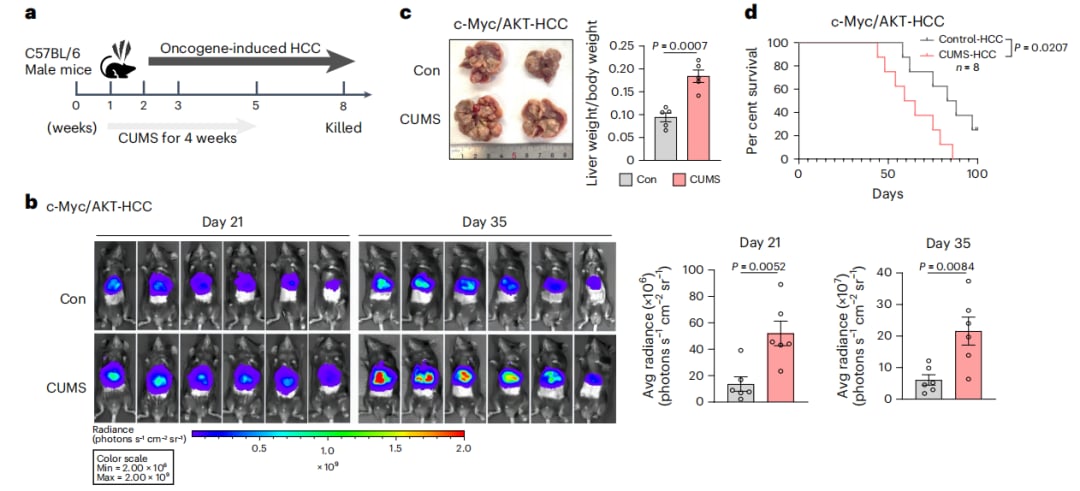
研究人员首先在肝癌模型小鼠身上模拟了“慢性不可预知轻度应激”(CUMS),这是一种模拟人类慢性心理压力的实验方法。结果令人担忧:经历CUMS的小鼠不仅表现出抑郁和焦虑样行为,它们的肝脏肿瘤负荷显著加重,生存期也明显缩短。这直接证明了慢性应激确实能促进肝癌的进展。
肝脏是一个重要的免疫器官,里面居住着大量的免疫细胞,它们是抵抗肿瘤的“战士”。研究发现,CUMS显著减少了肝癌模型小鼠肿瘤组织中B细胞和CD8阳性T细胞的数量。其中,CD8阳性T细胞是免疫系统中的“杀手细胞”,它们能直接识别并杀死癌细胞,是抗肿瘤免疫反应的关键力量。当研究人员特意耗竭(清除)小鼠体内的CD8阳性T细胞后,慢性应激促进肝癌进展的作用就被阻断了;而耗竭B细胞则没有类似的效果。这表明,CD8阳性T细胞在慢性应激加速肝癌进展中扮演着核心角色。
进一步的实验显示,慢性应激会促进肝癌模型小鼠CD8阳性T细胞的凋亡(细胞死亡),并降低其激活标志物的表达,这意味着这些“杀手细胞”不仅数量减少,而且功能也受到了损害。简单来说,慢性压力让我们的免疫“战士”变得疲惫、数量减少,甚至“自杀”,从而无法有效清除癌细胞。
核心发现二:犬尿氨酸代谢紊乱,免疫细胞的“能量危机”
那么,慢性应激是如何影响CD8阳性T细胞的呢?研究人员将目光投向了肝脏的代谢功能。在正常生理条件下,我们从食物中摄入的色氨酸(一种必需氨基酸)主要在肝脏通过“犬尿氨酸途径”进行代谢,产生多种活性物质,包括犬尿氨酸(Kyn)、犬尿喹啉酸(KA)和烟酰胺腺嘌呤二核苷酸(NAD+)。这些产物以不同的方式参与免疫调节,其中NAD+是细胞能量代谢的关键分子,对细胞的正常功能至关重要。
研究发现,经历CUMS的小鼠肝脏组织中NAD+水平显著降低,而KA水平则升高。这表明慢性应激破坏了肝脏犬尿氨酸代谢的平衡。更有趣的是,通过药理学手段抑制NAD+前体的合成,或直接增加NAD+水平,可以减少CD8阳性T细胞的凋亡,促进其激活,从而减缓肝癌进展,并阻断慢性应激的负面作用。这强有力地证明了慢性应激通过破坏肝脏犬尿氨酸代谢的平衡,损害了肝脏中CD8阳性T细胞的稳态和功能。

图1、慢性应激促进肝癌进展
核心发现三:肾上腺素受体ADRB2——压力与免疫的“桥梁”
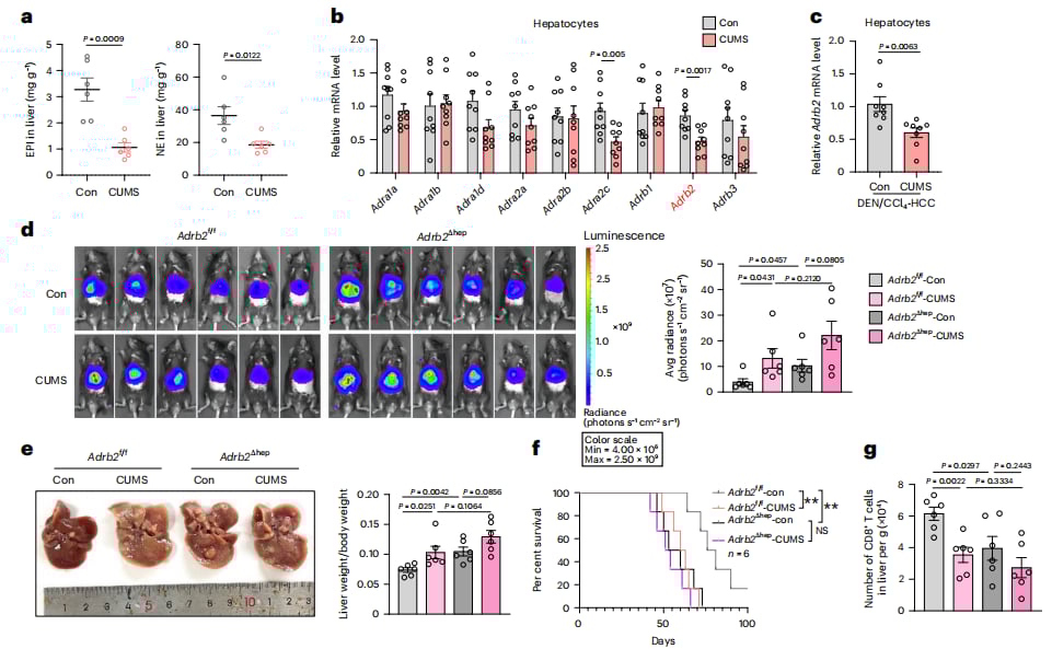
慢性应激是如何启动这一系列变化的呢?我们知道,慢性应激会激活并失调下丘脑-垂体-肾上腺轴(HPA轴)和交感神经系统,从而诱发全身性生理功能障碍。研究人员发现,CUMS后小鼠血清和肝脏组织中的肾上腺素和去甲肾上腺素水平显著降低。这些神经递质是身体应对压力的重要信号分子。
β2-肾上腺素能受体(ADRB2)是肝细胞表达最多的肾上腺素能受体,它就像一个“接收器”,负责接收肾上腺素等信号。研究发现,经历CUMS后,肝细胞ADRB2的表达显著降低。当特异性敲除肝脏ADRB2后,小鼠的NAD+水平降低,KA水平升高,CD8阳性T细胞凋亡增加,数量减少,并且其功能效应分子(如IFNγ, TNF 和GZMB,这些都是T细胞杀死癌细胞的关键武器)的表达也下降。这进一步证实了ADRB2在其中扮演的关键角色。
更重要的是,当研究人员过表达肝细胞ADRB2后,竟然可以阻断慢性应激引起的促进肝癌进展的作用!这表明,慢性应激正是通过降低肝细胞ADRB2的表达,进而引起犬尿氨酸代谢紊乱,损害CD8阳性T细胞功能,最终促进肿瘤进展。

图2、特异性敲除肝脏ADRB2导致小鼠NAD+水平降低、KA水平升高,促进肿瘤进程
核心发现四:QPRT酶与线粒体功能障碍——免疫细胞的“疲惫”之源
为了更深入地探究肝细胞ADRB2如何调控犬尿氨酸代谢,研究人员检测了多种犬尿氨酸代谢关键酶的表达。他们发现,慢性应激会降低肝细胞中喹啉酸磷酸核糖转移酶(QPRT)的表达。QPRT是促进色氨酸合成NAD+的关键酶,它的减少直接导致了NAD+水平的下降。
ADRB2与配体结合后,会激活细胞内的cAMP信号通路,诱导CREB磷酸化,进而调控多个靶基因的表达。研究发现,敲除ADRB2后,CREB磷酸化和QPRT表达均降低;反之,过表达ADRB2则能升高CREB磷酸化和QPRT表达。激活cAMP信号能够促进QPRT表达,并可对抗ADRB2敲除引起的QPRT表达下降。这说明ADRB2通过cAMP-CREB信号通路调控QPRT的表达。
更令人振奋的是,在肝细胞中过表达QPRT不仅能抑制肿瘤生长,还可以逆转慢性应激对肝癌进展的促进作用。这提示我们,QPRT可能是未来干预慢性应激导致肝癌恶化的一个重要靶点。
最后,研究人员还发现,在慢性应激处理的肝癌模型小鼠中,肝细胞的差异表达基因主要富集于代谢及线粒体相关通路。流式细胞实验进一步证实,慢性应激增加了小鼠肝脏CD8阳性T细胞中紊乱线粒体的数量,导致线粒体的基础呼吸、最大呼吸及ATP生成均降低。线粒体是细胞的“能量工厂”,它的功能障碍意味着CD8阳性T细胞无法获得足够的能量来执行其抗癌任务。敲除肝细胞ADRB2后也出现了类似的线粒体功能障碍。而过表达QPRT则可以逆转慢性应激引起的线粒体损伤。这最终揭示了慢性应激通过“ADRB2–Kyn代谢轴”损害肝脏CD8+ T细胞的线粒体功能,最终导致其凋亡和功能障碍,从而加速肝癌进展的完整机制。
在人类肝组织样本中,高表达ADRB2或QPRT的肝组织中CD8阳性T细胞数量更多,并且具备更强的细胞因子生成能力。同时,肝细胞ADRB2和QPRT mRNA水平与CD8+T细胞中凋亡比例及功能异常线粒体比例呈负相关。这些人类数据进一步支持了小鼠模型中的发现,提示这一机制在人类肝癌中也可能存在。

图3、慢性应激引起肝脏CD8+ T细胞的线粒体功能障碍
这项研究对肝癌患者意味着什么?——从科学到临床的启示
这项来自山东大学梁晓红团队的重磅研究,为我们揭示了慢性应激与肝癌进展之间一个前所未知的、精密的分子联系。它不仅仅是基础科学的突破,更对肝癌患者的治疗和生活管理具有深远的指导意义。
为什么情绪管理对肝癌治疗如此重要?
过去,我们可能认为情绪只是“心理问题”,与癌症的生理进程关系不大。但这项研究明确告诉我们,慢性压力并非仅仅影响心情,它会通过复杂的生物学通路,直接损害我们身体的免疫系统,特别是削弱抗癌主力军——CD8阳性T细胞的功能,从而加速肿瘤的生长。这意味着,情绪管理不再是可有可无的“锦上添花”,而是肝癌治疗中不可或缺的“雪中送炭”。积极应对和管理压力,不仅能提升生活质量,更可能直接影响治疗效果和预后。
未来肝癌治疗的新方向:靶向“压力通路”?
这项研究为肝癌的治疗开辟了新的思路。如果慢性应激确实通过ADRB2-QPRT-犬尿氨酸代谢轴损害CD8阳性T细胞功能,那么未来我们是否可以开发出靶向这些通路的药物,来逆转或阻断慢性应激对肝癌的促进作用呢?例如,通过药物激活ADRB2,或直接补充NAD+,甚至开发QPRT激动剂,都有可能成为辅助治疗肝癌的新策略。这为那些对传统治疗反应不佳或面临复发风险的患者带来了新的希望。
当然,目前这些仍处于基础研究阶段,距离临床应用还有一段距离。但它为全球的科学家和制药公司指明了一个潜在的研究方向,未来或许能看到更多基于此机制的新药研发。
肝癌患者如何应对慢性压力,提升免疫力?
既然慢性压力对肝癌进展有如此重要的影响,那么作为患者和家属,我们能做些什么来积极应对呢?
1. 心理调适与支持:不再孤军奋战
- 寻求专业心理帮助: 不要羞于寻求心理医生或心理咨询师的帮助。他们可以提供专业的心理疏导、认知行为疗法等,帮助您有效管理焦虑、抑郁情绪。
- 加入患者支持团体: 与其他肝癌患者交流,分享经验和感受,可以获得情感支持,减轻孤独感,并从他人的抗癌经历中汲取力量。MedFind也致力于构建这样的患者社区,让您不再孤单。
- 学习放松技巧: 尝试深呼吸、冥想、瑜伽、太极等放松技巧,每天坚持练习,有助于缓解身体和精神的紧张。
- 保持积极心态: 尽管困难重重,但积极乐观的心态对身体的康复至关重要。尝试寻找生活中的小确幸,培养兴趣爱好,转移注意力。
2. 健康生活方式:饮食、运动与睡眠
- 均衡营养饮食: 确保摄入足够的蛋白质、维生素和矿物质,为免疫系统提供充足的“弹药”。避免高糖、高脂、加工食品,多吃新鲜蔬菜水果。
- 适度体育锻炼: 在医生允许的范围内,进行适度的体育锻炼,如散步、慢跑、游泳等。运动有助于释放压力,改善情绪,并增强免疫力。
- 保证充足睡眠: 睡眠是身体修复和免疫系统功能恢复的关键。尽量保持规律的作息,创造一个舒适的睡眠环境。
3. 积极与医生沟通:个性化治疗方案
- 坦诚沟通: 将您的心理状态、压力感受如实告知主治医生。医生可能会根据您的具体情况,调整治疗方案,或推荐心理支持服务。
- 了解病情: 积极学习肝癌相关知识,了解自己的病情和治疗方案,有助于减少不确定性带来的焦虑。但要避免过度解读网络信息,一切以医生建议为准。
MedFind与您同行:获取前沿抗癌资讯与支持
这项研究再次强调了身心健康在抗癌过程中的重要性。作为癌症患者家属发起的平台,MedFind深知患者和家庭所面临的困境与需求。我们不仅致力于分享最新的抗癌资讯和药物信息,更希望能够帮助患者朋友构建海外购药渠道,并提供AI辅助问诊等服务,让您在抗癌路上不再迷茫。
我们坚信,科学的进步和人文的关怀是战胜癌症的两把利剑。通过MedFind,您可以获取到更多关于肝癌治疗的最新进展、药物信息以及专业的用药指导。我们希望成为您抗癌路上的坚实后盾,为您提供最及时、最可靠的支持。
如果您对肝癌的治疗方案、药物选择或心理支持有任何疑问,欢迎随时咨询MedFind。我们将竭诚为您服务,与您携手,共同对抗病魔,迎接更美好的明天。
