亲爱的患者朋友和家属们,在抗癌的道路上,精准的诊断是迈向成功治疗的第一步,也是最关键的一步。想象一下,如果两种肿瘤在显微镜下看起来非常相似,但它们的“身份”却截然不同,治疗方案和预后也天壤之别,那该怎么办?今天,MedFind就带您深入了解这样一种复杂的诊断难题:尿路上皮癌的一种罕见特殊类型——伴卵黄囊分化的尿路上皮癌,它常常被误诊为性腺外生殖细胞肿瘤。这种混淆不仅可能导致错误的治疗选择,更可能严重影响患者的生存希望。我们将通过最新的医学研究,为您揭示如何运用先进的基因检测技术,精准区分这两种肿瘤,为患者找到正确的治疗之路。
尿路上皮癌与性腺外生殖细胞肿瘤:为何容易混淆?
要理解诊断的复杂性,我们首先需要了解这两种肿瘤的基本情况。
什么是尿路上皮癌?
尿路上皮癌是一种起源于泌尿系统内壁细胞的恶性肿瘤,主要累及膀胱、输尿管、肾盂和尿道。它在老年人群中更为常见,男性发病率高于女性。传统的尿路上皮癌通常根据其侵袭程度分为非肌层浸润性膀胱癌和肌层浸润性膀胱癌,治疗方案包括手术、化疗、放疗以及近年来兴起的免疫治疗和靶向治疗。
什么是性腺外生殖细胞肿瘤?
性腺外生殖细胞肿瘤(Extragonadal Germ Cell Tumors, EGGCTs)则起源于胚胎发育过程中未能迁移到性腺(睾丸或卵巢)的原始生殖细胞。它们通常出现在身体的中线部位,如纵隔(胸腔中部)、骶尾部(脊柱底部)或松果体区(大脑深处)。这类肿瘤多见于年轻患者,对铂类化疗方案高度敏感,因此无论分期如何,预后通常较好,治疗效果显著。
诊断困境:卵黄囊分化带来的挑战
那么,这两种看似不同的肿瘤为何会混淆呢?关键在于“卵黄囊分化”。卵黄囊瘤(Yolk Sac Tumor, YST)是生殖细胞肿瘤的一种亚型,其细胞形态具有独特的卵黄囊结构特征。然而,在极少数情况下,一些体细胞来源的非生殖细胞肿瘤(如尿路上皮癌)也可能出现这种“异源性卵黄囊分化”,即肿瘤细胞在形态上模仿了卵黄囊瘤。当这种现象发生在尿路和前列腺等性腺外部位时,病理医生在显微镜下就很难区分它究竟是真正的性腺外卵黄囊瘤,还是伴有卵黄囊分化的尿路上皮癌。这种罕见且难以鉴别的现象,对临床诊断构成了巨大挑战,因为两者的治疗策略和预后截然不同。
基因检测如何“拨开迷雾”:分子诊断的关键作用
面对形态学上的相似性,传统的诊断方法有时会力不从心。这时,先进的基因检测技术就成为了“拨开迷雾”的关键。
传统诊断方法的局限性
在过去,医生主要依靠肿瘤的组织学形态(在显微镜下观察细胞和组织结构)和免疫组织化学染色(通过特定抗体检测肿瘤细胞表面或内部的蛋白质标志物)来进行诊断。虽然这些方法在大多数情况下都非常有效,但对于伴卵黄囊分化的尿路上皮癌,由于其形态学上的“伪装”和部分免疫标志物的重叠,仅凭这些手段往往难以给出明确的鉴别诊断。例如,血清甲胎蛋白(AFP)升高是卵黄囊瘤的典型特征,但伴卵黄囊分化的尿路上皮癌也可能导致AFP升高,进一步增加了诊断的复杂性。
分子特征大揭秘:尿路上皮癌的“身份证”
最新的研究发现,虽然形态相似,但伴卵黄囊分化的尿路上皮癌与真正的性腺外生殖细胞肿瘤在基因层面有着本质的区别。这些分子特征就像肿瘤的“身份证”,能够帮助我们精准识别它们的真实身份。
- TP53基因突变: 在本研究中,所有被检测的伴卵黄囊分化的尿路上皮癌病例都检测到了TP53基因突变(100%)。TP53被称为“基因组的守护者”,它的突变意味着细胞的生长和分裂失去了重要的调控,更容易失控。而在未经治疗的局限性生殖细胞肿瘤中,TP53突变则极为罕见。
- TERT启动子突变: TERT启动子突变是尿路上皮癌中第二常见的基因变异(38%),且常与吸烟等因素相关。TERT基因与细胞的“永生化”有关,其启动子突变可能导致细胞无限增殖。
- 染色质重塑相关基因突变: 研究还发现,63%的病例检测到至少一个染色质重塑相关基因(如KDM6A、CREBBP、KMT2D等)的突变。这些基因在尿路上皮肿瘤中也频发突变,它们负责调控基因的表达,突变可能导致细胞功能异常。
- 9p缺失与CDKN2A/MTAP基因座: 约38%的病例存在9p染色体的频繁缺失,包括包含CDKN2A/MTAP基因座的纯合缺失。这些区域通常包含肿瘤抑制基因,缺失意味着肿瘤抑制功能的丧失,是肌层浸润性尿路上皮癌中最常见的局灶性缺失类型之一。
- 12p等臂染色体(i12p)或12p扩增: 真正的生殖细胞肿瘤有一个非常典型的分子标志——12p等臂染色体(i12p)或12p染色体扩增。这是诊断生殖细胞肿瘤的“金标准”。虽然本研究中的部分尿路上皮癌病例也检测到12p扩增,但通过更精细的荧光原位杂交(FISH)检测,发现这些扩增并非生殖细胞肿瘤典型的i12p,而是其他类型的12p异常,且其信号比值低于生殖细胞肿瘤的判定阈值。这再次强调了分子检测的精细性和鉴别诊断的重要性。
- 烟草暴露相关的DNA突变特征: 在部分病例中,还检测到与烟草暴露相关的DNA突变特征。这一分子证据强烈支持肿瘤起源于体细胞源性尿路上皮癌,而非生殖细胞。
通过二代测序(NGS)和荧光原位杂交(FISH)等先进的分子检测技术,医生可以精确分析肿瘤细胞的基因组,从而揭示这些独特的分子“身份证”,帮助我们准确区分这两种肿瘤。



临床数据解读:真实世界中的诊断与预后
这项研究收集了10例原发于尿路、具有卵黄囊分化的肿瘤病例,通过详细的临床、组织学和分子分析,为我们描绘了这类特殊肿瘤的真实面貌。
患者群体特征
研究发现,这些患者以老年男性为主(平均年龄78岁),肿瘤主要发生于膀胱、前列腺尿道和输尿管等尿路黏膜部位。值得注意的是,40%的患者有盆腔放疗史,另有40%的患者既往或后续被诊断为传统尿路上皮癌。这些临床和人口统计学特征都与典型的尿路上皮癌高度吻合,而非多见于年轻人的生殖细胞肿瘤。
血清甲胎蛋白(AFP)水平
在部分患者中,血清AFP水平升高,这进一步加剧了与卵黄囊瘤的混淆。然而,结合分子检测结果,我们发现即使AFP升高,也不能简单地将其归为生殖细胞肿瘤。
侵袭性临床行为与预后差异
最令人担忧的是,这类伴卵黄囊分化的尿路上皮癌表现出高度侵袭性的临床行为。在有完整随访数据的8例患者中,有7例出现了复发、转移或因疾病死亡。这与预后通常良好的生殖细胞肿瘤形成了鲜明对比。研究强调,这种卵黄囊分化可能是驱动肿瘤侵袭性表型的关键因素之一。因此,准确的诊断对于选择正确的治疗方案至关重要:真正的生殖细胞肿瘤对特定化疗方案反应良好,预后乐观;而伴卵黄囊分化的尿路上皮癌则需要按照尿路上皮癌的治疗原则进行,对生殖细胞肿瘤的化疗方案反应不佳,预后也相对较差。


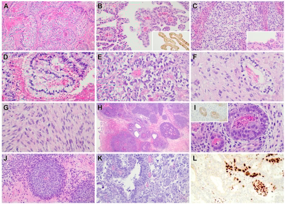
图1


图2


图3
鉴别诊断:避免误诊,选择正确治疗
鉴于伴卵黄囊分化的尿路上皮癌与多种肿瘤存在形态学上的重叠,精准鉴别诊断需要综合考量多方面因素:
- 综合评估: 不能仅凭单一指标下结论。医生需要结合患者的年龄、性别、病史(如是否有盆腔放疗史或既往尿路上皮癌病史)、肿瘤的发生部位、影像学检查结果、免疫组织化学染色(如PAX8、尿斑蛋白、AFP、glypican-3等标志物)以及最重要的分子检测结果。
- 排除转移: 对于纯卵黄囊分化的肿瘤,还需要通过全面的临床和影像学检查,排除妇科或胃肠道来源的伴卵黄囊分化癌转移到尿路的可能。
- 警惕诊断陷阱: 尿路上皮癌有时也会出现滋养层细胞或绒毛膜癌分化,这与生殖细胞源性绒毛膜癌相似,尤其在年轻患者中更需谨慎鉴别。
这项研究的发现为泌尿系统病理诊断提供了重要的指导,强调了在遇到尿路伴卵黄囊分化的肿瘤时,进行分子检测的必要性。只有通过精准的诊断,才能为患者制定最合适的治疗方案,避免误诊带来的不良后果。
MedFind能为您做什么?精准诊断与海外购药支持
面对复杂的医学诊断报告和不断更新的治疗信息,患者和家属往往感到无助和焦虑。MedFind致力于为癌症患者提供最新的抗癌资讯和药物信息,帮助您在抗癌路上获得更专业的支持。
- AI辅助问诊: 如果您对诊断报告有疑问,或者希望了解更多关于尿路上皮癌或生殖细胞肿瘤的治疗信息,我们的AI辅助问诊服务能为您提供个性化的解读和建议,帮助您更好地理解病情。
- 抗癌资讯与药物信息: MedFind平台持续更新最新的抗癌研究进展和药物信息,让您及时掌握前沿知识,为治疗决策提供参考。
- 海外购药渠道: 如果最终确诊为需要特定治疗方案或海外创新药物,MedFind也能为您构建可靠的海外购药渠道,提供抗癌药品代购与国际直邮服务,确保您能及时获取所需的药物。
我们深知精准诊断是治疗的第一步,也是最关键的一步。选择MedFind,让您在抗癌路上不再孤单,我们与您并肩作战,共同面对挑战。
参考文献:
Beauchamp, Léonie et al. “Extragonadal Urinary Tract Neoplasms With Yolk Sac Differentiation: Clinical, Histologic, and Molecular Evidence of Derivation From Underlying Urothelial Carcinoma.” Modern pathology : an official journal of the United States and Canadian Academy of Pathology, Inc vol. 38,11 (2025): 100829. doi:10.1016/j.modpat.2025.100829
