一、引言:罕见病例与长期随访的挑战
对于癌症患者和家属而言,每一次复发都意味着新的挑战和治疗选择的重新评估。在消化道肿瘤中,低级别阑尾黏液性肿瘤(Low-grade Appendiceal Mucinous Neoplasm, LAMN)及其导致的腹膜假黏液瘤(Pseudomyxoma Peritonei, PMP)是一类特殊的恶性疾病。传统病理学定义认为,LAMN不具备侵袭性生长和血行转移的能力,其主要危害局限于腹腔内的黏液播散。然而,临床实践中不断出现的罕见病例正在挑战这一传统认知。
本文将深入分析一例极为罕见的LAMN术后四年出现异时性脾转移的病例,这不仅对该疾病的生物学行为提出了质疑,更突显了对阑尾黏液性肿瘤患者进行长期、全身性随访监测(包括影像学和新型生物标志物如ctDNA)的迫切性。对于正在寻求阑尾黏液性肿瘤治疗方案或关注PMP复发监测的患者及家属,本文将提供权威的病理学解读、标准治疗方案回顾,以及关于未来监测技术和海外用药选择的深度思考。
二、阑尾黏液性肿瘤与腹膜假黏液瘤:基础认知
腹膜假黏液瘤(PMP)是一种罕见的临床综合征,其特征是腹腔内弥漫性、果冻状的黏液积聚,伴随腹膜表面的黏液种植。PMP最常见的原发部位是阑尾,通常由阑尾黏液性肿瘤破裂所致。虽然PMP在临床上被视为一种预后相对良好的恶性疾病,但其治疗过程复杂,且具有高复发率。
2.1 阑尾黏液性肿瘤的病理学新分类
为了更精确地指导临床治疗和判断预后,国际癌症研究机构(IARC)和腹膜表面肿瘤国际协作组(PSOGI)在2016年和2019年对阑尾上皮源性黏液性肿瘤进行了统一的分类,废弃了旧的“黏液囊腺瘤”等称谓,主要分为以下几类:
- 低级别阑尾黏液性肿瘤(LAMN):这是最常见的类型(占60%~70%),组织学上分化良好,细胞异型性不明显。其特征是黏液在阑尾壁内或阑尾外聚集,但明确排除侵袭性生长、血行及淋巴转移。当LAMN破裂导致腹腔内黏液播散时,通常对应于PMP中的“腹膜低级别黏液癌”(DPAM)或“无细胞型”黏液瘤。
- 高级别阑尾黏液性肿瘤(HAMN):细胞具有非典型特征,异型性更强,但同样缺乏明确的浸润性生长。
- 阑尾黏液腺癌:具有高级别细胞异型和明确的组织浸润特征,生物学行为更具侵袭性,预后较差。
- 印戒细胞癌:预后最差的类型。
本病例中的患者被诊断为LAMN伴低级别PMP,根据其病理定义,这是一种“非转移性行为”的肿瘤实体,因此任何腹膜外的转移,尤其是血行转移,都显得极不寻常。
2.2 肿瘤标志物在LAMN/PMP中的作用
血清肿瘤标志物如CEA(癌胚抗原)、CA125和CA19-9常用于阑尾黏液性肿瘤的诊断和疾病状态评估。在本病例中,患者初诊时CEA(95.5 ng/mL)、CA125(175 U/mL)和CA72-4(123.5 U/mL)均升高,提示存在肿瘤负荷和腹膜刺激,这与PMP的临床表现一致。术后这些标志物的动态监测,对于评估治疗效果和早期发现复发具有重要价值。
三、罕见病例深度回顾:挑战传统病理的脾转移
本病例的独特之处在于,一名43岁女性患者在接受了针对阑尾原发LAMN和低级别PMP的彻底肿瘤细胞减灭术(CRS)四年后,出现了孤立的脾内转移灶。这一发现直接挑战了LAMN“不发生全身或淋巴结转移”的病理学定义。
3.1 初诊与肿瘤细胞减灭术
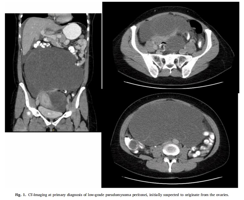
患者最初因巨大的黏液性肿瘤就诊,影像学检查(CT)一度怀疑是卵巢癌起源。探查性剖腹术证实肿瘤起源于阑尾,并已累及双侧卵巢,盆腔腹膜上可见多处胶状沉积物,确诊为PMP。患者接受了彻底的肿瘤细胞减灭术,包括回盲部切除术、双侧输卵管卵巢切除术、网膜切除术以及所有可见黏液斑块的切除。术后病理确认为LAMN伴低级别PMP,减瘤效果彻底。

▲图1 基于CT成像显示初步诊断低级别腹膜假性黏液瘤,最初怀疑其起源于卵巢
3.2 术后四年:脾内病灶的出现
术后四年多,患者一直无复发迹象。然而,2021年8月的一次CT扫描显示脾门附近包膜下有一个直径2 cm的脾内囊性肿瘤。由于LAMN转移至脾脏此前从未见报道,且脾脏本身是结肠癌转移的极罕见部位,最初的诊断倾向于良性脾囊肿,并进行监测。

▲图2 MRI图像显示腹膜假黏液瘤切除术后5年脾脏出现3cm LAMN转移灶
在随后18个月的监测中,病灶逐渐增大至3.2 cm,促使多学科肿瘤委员会决定行脾切除术。腹腔镜手术中,腹腔内未观察到PMP复发迹象,囊性病灶完全包裹于脾实质内。最终的组织病理学检查证实,该病灶是脾内LAMN转移灶,细胞学特征与原发肿瘤一致(CK20和CDX2阳性),且无高级别上皮形态。

▲图3 脾脏病变的HE染色显示黏液囊肿,囊肿内柱状上皮CK20和CDX2呈阳性。囊肿完全被脾实质覆盖,证实为脾内病变。
四、PMP的标准治疗方案:CRS联合HIPEC
对于腹膜假黏液瘤(PMP),尤其是起源于LAMN的低级别PMP,目前国际公认的标准治疗是肿瘤细胞减灭术(Cytoreductive Surgery, CRS)联合腹腔热灌注化疗(Hyperthermic Intraperitoneal Chemotherapy, HIPEC)。
4.1 肿瘤细胞减灭术(CRS)
CRS是PMP治疗的基石,其核心目标是尽可能彻底地切除所有肉眼可见的肿瘤病灶和黏液沉积物。手术范围通常非常广泛,可能涉及多个腹腔脏器(如大网膜、脾脏、胆囊、部分胃肠道、女性生殖器官等)的切除。手术的彻底性是决定患者长期预后的最关键因素。
4.2 腹腔热灌注化疗(HIPEC)
HIPEC是在CRS术后立即进行的一种区域性化疗。其原理是将加热至41°C~43°C的化疗药物(常用丝裂霉素C、奥沙利铂等)灌注到腹腔内循环一定时间。HIPEC的优势在于:
- 热疗效应:高温本身对肿瘤细胞具有细胞毒性,并能增强化疗药物的渗透性和杀伤力。
- 高浓度局部作用:化疗药物直接作用于腹腔,药物浓度远高于全身静脉化疗,同时全身吸收少,减轻了全身毒副作用。
- 清除微小残留病灶:旨在清除CRS后肉眼不可见的微小残留肿瘤细胞。
对于低级别PMP(如LAMN相关PMP),CRS联合HIPEC已显示出良好的长期生存结局,5年生存率通常可超过70%。
4.3 全身化疗的角色与局限性
对于低级别PMP,全身静脉化疗的作用有限,通常不作为辅助治疗的常规推荐。仅对于高级别PMP或不可切除的低分化黏液癌,化疗可能改善生存。本病例中,患者因CRS彻底而未接受辅助HIPEC,这在临床决策中是合理的,但也引发了对长期随访和监测策略的思考。
五、挑战传统认知:LAMN的腹膜外转移与脾脏的罕见性
本病例的价值在于其罕见性:一个被定义为“非转移性”的LAMN,在术后多年后出现了血行转移(脾转移)。
5.1 PMP的腹膜外复发数据
尽管LAMN的病理定义排除了血行播散的可能性,但大型中心的数据显示,PMP(包括低级别PMP)确实可能发生腹膜外复发:
- 有文献报告,孤立性腹膜外PMP复发患者中,约50%表现为低级别组织病理学特征。
- 全身转移最常见于肝脏和肺部,也可见于骨骼。一项意大利的研究显示,约4.9%的低级别PMP患者发生全身转移,主要位于肺部。
这些数据表明,即使是低级别肿瘤,其生物学行为也可能存在“偏离”,导致全身播散。因此,临床上应将PMP(包括LAMN相关PMP)视为具有潜在全身转移风险的恶性疾病。
5.2 脾转移的极度罕见性
脾脏是内脏肿瘤发生转移的极罕见部位。即使是侵袭性更强的结直肠癌,其脾转移的病例也仅有约20例被记载。脾脏之所以罕见成为转移靶器官,可能与多种因素有关:
- 解剖学因素:脾动脉的角度、血流动力学特点可能不利于肿瘤细胞的沉积。
- 免疫学因素:脾脏是重要的免疫器官,可能具有强大的抗肿瘤免疫监视功能。
- 机械因素:脾脏的推进运动可能不利于肿瘤细胞的附着和植入。
在本病例中,病灶完全包裹于脾实质内,被认为是真正的脾实质转移瘤,而非简单的腹膜种植侵入,这使得该病例成为首例报道的LAMN脾转移,具有重要的临床和病理学意义。
六、长期随访与监测的未来方向:ctDNA的潜力
本病例强调了对LAMN/PMP患者进行长期、全身性监测的重要性。除了常规的影像学检查(腹部/胸部CT或MRI)外,新型的液体活检技术,特别是循环肿瘤DNA(circulating tumor DNA, ctDNA)的监测,正成为一个极具前景的研究方向。
6.1 什么是ctDNA?
ctDNA是肿瘤细胞凋亡或坏死后释放到血液中的DNA片段,携带着肿瘤特有的基因突变信息。通过对血液样本(即“液体活检”)进行高灵敏度的测序分析,可以追踪这些微量的肿瘤DNA。
6.2 ctDNA在PMP监测中的潜在价值
对于腹膜假黏液瘤患者,ctDNA监测具有多重潜在优势:
- 非侵入性与可重复性:仅需抽取血液,避免了组织活检的创伤和局限性,可进行频繁的动态监测。
- 克服肿瘤异质性:ctDNA来源于全身各处的肿瘤病灶(包括原发灶和转移灶),能够提供比局部组织活检更全面的肿瘤基因组“全景数据”,有助于发现隐匿的转移灶或克隆演变。
- 早期发现复发:ctDNA水平的升高往往早于影像学检查发现的病灶,可作为监测微小残留病灶(MRD)和预测复发的超灵敏生物标志物。在本病例中,如果能进行ctDNA监测,或许可以更早地发现脾转移的分子信号。
- 指导后续治疗:通过分析ctDNA中的基因突变(如KRAS、TP53等,这些突变在阑尾黏液性肿瘤中也有报道),可以为复发或进展期患者提供潜在的靶向治疗或免疫治疗的线索。
虽然目前ctDNA在PMP中的应用尚处于研究阶段,但其作为一种非侵入性、高灵敏度的监测工具,无疑为阑尾黏液性肿瘤的长期随访提供了新的思路。
6.3 影像学监测的重要性
尽管ctDNA前景广阔,但传统的影像学检查仍是随访的基石。本病例提示,对于低级别PMP患者,临床随访检查应纳入腹部和胸部影像学检查,以监测全身转移,特别是罕见的腹膜外转移。MRI在探测阑尾腔外黏液和发现腹膜疾病方面可能优于CT,常用于术后随访监测。
如果您对阑尾黏液性肿瘤的最新治疗进展、ctDNA监测的适用性或海外用药选择有疑问,可以利用MedFind提供的AI辅助问诊服务,获取个性化的信息解读和初步建议。
七、结论与患者启示:多学科协作与个性化管理
本例低级别阑尾黏液性肿瘤(LAMN)术后脾转移的罕见病例,为临床医生和患者带来了重要的启示:
- 重新审视生物学行为:即使是病理学定义为“非转移性”的低级别肿瘤,也可能在长期随访中表现出全身转移的潜能。这要求临床医生在诊断和随访中保持警惕,并可能需要重新考虑LAMN的病理定义。
- 加强全身监测:对于接受了彻底CRS/HIPEC治疗的PMP患者,长期的临床随访应包括全身转移的监测,特别是腹部和胸部的影像学检查。
- 探索新型监测技术:以ctDNA为代表的液体活检技术,为PMP患者的微小残留病灶(MRD)监测和早期复发预警提供了非侵入性、高灵敏度的工具,是未来研究和临床应用的重要方向。
对于正在与阑尾黏液性肿瘤抗争的患者,积极的多学科协作(MDT)是获得最佳预后的关键。这包括经验丰富的肿瘤外科医生进行彻底的CRS/HIPEC,肿瘤内科医生评估全身化疗或靶向治疗的需求,以及病理科医生对肿瘤分型的精准判断。在整个治疗和随访过程中,获取权威、及时的药物信息、治疗方案解读至关重要。MedFind致力于为癌症患者提供全面的信息支持,包括药物信息、治疗方案解读和临床研究资讯。
此外,对于需要获取国内尚未上市或难以获得的创新药物,例如针对某些罕见突变或晚期复发病灶的靶向药物,了解海外购药渠道和流程也是患者管理的重要一环。MedFind提供抗癌药品代购与国际直邮服务,帮助患者更便捷地获取所需的治疗药物。

▲图4 事件流程图

▲表1 LAMN远处转移或内脏肿瘤脾转移相关文献概述
