一场跨越欧洲14个国家的辅助生殖悲剧,将一个罕见但致命的遗传性癌症易感疾病——李-佛美尼综合征(Li-Fraumeni Syndrome, LFS),推向了公众视野。一名携带生殖系TP53突变的精子捐赠者,在长达17年间促成了近200名孩子的出生,这些孩子中的大部分正面临着极高的癌症风险,最高患癌几率可达90%。对于癌症患者及其家属而言,了解TP53突变和LFS的机制、风险以及科学的终身监测与治疗方案至关重要。本文旨在深入解析这一遗传链条的核心,并为受影响的家庭提供专业的医学信息和应对策略,帮助他们更好地管理风险、寻求AI辅助问诊服务和获取必要的医疗资源。
癌症的“刹车手”失灵:TP53基因突变机制解析
这场悲剧的核心在于TP53基因的致病性突变。TP53基因位于人类17号染色体上,它编码的p53蛋白被誉为“基因组的守护者”或细胞周期的“刹车手”。
p53蛋白的功能:细胞的防御机制
在正常情况下,p53蛋白在细胞内含量较低。但当细胞DNA受到损伤(例如受到辐射、化学物质或病毒感染)时,p53蛋白会被迅速激活并积累。其主要功能包括:
- DNA修复: p53蛋白启动DNA修复机制,试图纠正损伤。
- 细胞周期阻滞: p53蛋白阻止细胞进入S期(DNA合成期),为DNA修复争取时间。
- 细胞凋亡(程序性细胞死亡): 如果DNA损伤过于严重,无法修复,p53蛋白会诱导细胞启动自杀程序,即细胞凋亡,从而阻止带有遗传缺陷的细胞继续分裂和增殖,这是预防肿瘤形成的关键步骤。
自1979年被发现以来,TP53基因一直是人体最重要的抑癌基因。据统计,超过50%的人类癌症都伴有TP53基因的体细胞突变(即后天发生的突变)。
生殖系TP53突变与LFS
与后天获得的体细胞突变不同,本次事件中的捐赠者携带的是生殖系突变(Germline Mutation),这意味着突变存在于其所有的生殖细胞和体细胞中,并以常染色体显性遗传的方式传递给下一代。只要后代从父母任何一方遗传了一个突变的TP53基因拷贝,就会患上LFS。
TP53突变形式通常是错义突变,尤其集中在DNA结合结构域。这种突变会使p53蛋白失去与DNA结合的能力,导致细胞周期失控,带有遗传缺陷的细胞不受限制地分裂增殖,最终引发癌症。对于LFS患者来说,他们从出生起就失去了p53这道关键的癌症防御屏障。
李-佛美尼综合征(LFS):最严重的遗传性癌症易感疾病
李-佛美尼综合征(LFS)是人类已知最严重的遗传性癌症易感疾病之一。它具有以下三大典型特征:
1. 早发性癌症
LFS患者的癌症发病年龄显著提前。携带TP53突变的人群,在60岁前患癌的几率高达90%,其中约一半的人在40岁之前就会被诊断出癌症。许多LFS相关的肿瘤甚至发生在儿童时期。
2. 肿瘤类型多样性(LFS核心肿瘤谱)
LFS可引发多种恶性肿瘤,这些肿瘤被称为LFS核心肿瘤谱。主要包括:
- 软组织肉瘤(Sarcoma): 尤其是横纹肌肉瘤。
- 肾上腺皮质癌(Adrenocortical Carcinoma, ACC): 常见于儿童,是LFS的标志性肿瘤之一。
- 乳腺癌(Breast Cancer): 通常发生在年轻女性(30岁前),且多为激素受体阴性。
- 脑肿瘤(Brain Tumors): 如髓母细胞瘤、胶质母细胞瘤等。
- 白血病(Leukemia): 特别是急性髓系白血病(AML)。
- 其他:包括结肠癌、肺癌、胰腺癌等。
3. 多原发性肿瘤高发率
LFS患者不仅容易患上第一种癌症,而且在治疗后极易患上第二、第三种原发性癌症,即多原发性肿瘤。这使得LFS患者的终身管理和治疗变得极其复杂和具有挑战性。

使用携带致癌基因的捐精者的精子,成功孕育了近200名儿童(图源:BBC新闻)
LFS患者的终身挑战:癌症风险与密集监测方案
对于那些不幸遗传了TP53突变的孩子和他们的家庭来说,LFS带来的不仅是极高的患癌风险,更是贯穿一生的医疗监测、经济负担和巨大的心理压力。
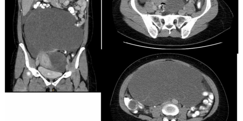
终身密集筛查:多伦多方案(Toronto Protocol)
由于LFS相关肿瘤具有早发性、多样性和多发性,国际上制定了严格的终身密集筛查方案,其中最著名的是基于加拿大多伦多大学的“多伦多方案”(Toronto Protocol,或称LiFE Protocol)。该方案旨在通过高频次的全身影像学检查,实现在癌症早期甚至癌前阶段就发现病灶,从而提高治愈率。
LFS患者的常规筛查项目包括:
- 全身核磁共振扫描(WBMRI): 每年进行一次。这是LFS筛查的核心,能够发现早期软组织肉瘤、内脏肿瘤和转移灶。
- 脑部核磁共振扫描(Brain MRI): 每年进行一次。用于筛查脑肿瘤。
- 腹部/盆腔超声检查: 每3至4个月进行一次。用于筛查肾上腺皮质癌、肾脏肿瘤等。
- 血液检查: 定期进行血常规、肿瘤标志物检测(如AFP、HCG等)。
- 内镜检查: 成年患者需定期进行结肠镜检查。
- 女性专属筛查: 成年女性需每年增加乳房核磁共振扫描(MRI)和乳房X光检查(Mammography)。
这种密集且高精度的筛查虽然能显著提高早期诊断率,但其流程繁琐、费用高昂,对于普通家庭来说是沉重的经济负担。同时,频繁的检查,特别是全身核磁共振,也给儿童和青少年带来了巨大的心理压力,使他们从小就生活在“癌症可能随时到来”的阴影中。
心理与生育困境
LFS患者在成长过程中,往往伴随着焦虑、抑郁等心理问题。他们需要专业的心理支持和遗传咨询。成年后,他们在组建家庭和考虑生育时,必须面临艰难的抉择:
- 遗传风险: 每次怀孕都有50%的概率将TP53突变遗传给子女。
- 辅助生殖选择: 可以通过胚胎植入前遗传学检测(Preimplantation Genetic Diagnosis, PGD)来筛选未携带突变的胚胎,但这需要承担额外的医疗费用和心理压力。
对于这些本身就生活在癌症阴影下的年轻人来说,这份遗传重担使得他们的人生选择异常沉重。
LFS相关癌症的治疗考量与最新进展
尽管TP53本身被认为是“不可成药”的靶点,但LFS相关肿瘤的治疗正受益于其他靶向药物和免疫疗法的进展。
治疗原则:避免放疗
由于TP53基因的缺失,LFS患者的细胞对DNA损伤的修复能力极差。因此,LFS患者对辐射高度敏感。传统的癌症治疗手段,如放射治疗(Radiotherapy),可能会在照射区域诱发新的原发性肿瘤,因此在LFS相关肿瘤的治疗中,应尽可能避免或谨慎使用放疗。
主要的治疗手段仍是手术切除和化疗。在选择化疗方案时,医生会根据肿瘤类型和患者的具体情况,选择毒性相对较低、诱发二次肿瘤风险较小的药物。
靶向治疗与免疫治疗的探索
虽然TP53被认为是“不可成药”的靶点,但LFS相关肿瘤的治疗正受益于其他靶向药物和免疫疗法的进展。例如:
- mTOR抑制剂: 在某些LFS相关的肉瘤中,mTOR通路可能被激活,使用mTOR抑制剂可能带来益处。
- PD-1/PD-L1抑制剂: 免疫检查点抑制剂在某些LFS相关肿瘤(如部分肉瘤或黑色素瘤)中显示出潜力,但需要进一步研究确认疗效和安全性。
- TP53功能恢复药物: 这是前沿研究领域。科学家正在开发能够恢复突变p53蛋白功能的药物(如APR-246/Eprenetapopt),或通过基因编辑技术进行干预,但这些方法目前仍在临床试验阶段。
对于LFS患者来说,及时获取全球最新的药物信息和临床试验进展至关重要。MedFind平台致力于提供药物信息、治疗方案解读、临床研究与指南资讯,帮助患者了解海外前沿的治疗选择,包括潜在的靶向药和免疫疗法。

图源:EUROVISIO News
辅助生殖的安全防线:悲剧后的行业反思与监管建议
这起波及14国、近200个家庭的遗传悲剧,为全球辅助生殖行业敲响了沉重的警钟。它暴露了当前精子库筛查标准、跨国监管和遗传咨询体系的严重缺陷。
1. 更新筛查标准,纳入高风险罕见突变
在“Kjeld”开始捐精的2005年,TP53突变并未纳入精子库的常规筛查项目。行业必须吸取教训,与时俱进,将高风险罕见突变的检测纳入标准流程。建议采用以下改进措施:
- 扩大基因筛查面板: 从传统的常见遗传病筛查,扩展到包括TP53、BRCA1/2、PTEN等高穿透性癌症易感基因的全面筛查。
- 改进检测技术: 传统的血液样本检测可能无法发现生殖系嵌合体(即突变仅存在于部分精子中,体细胞正常)。应考虑对精子样本本身进行基因检测,或采用成本正在降低的全外显子测序(WES)技术,以全面排查潜在的遗传风险。
2. 建立跨国监管机制,严控生殖细胞流通
本次事件中,捐精者的精子在不同国家的使用数量远超当地的限制,暴露了跨国监管的真空。迫切需要建立统一的国际监管框架和信息共享系统:
- 全球统一上限: 制定全球统一的辅助生殖细胞流通标准,明确单个捐精者在全球范围内的服务家庭上限(例如,欧洲建议不超过6-10个家庭)。
- 跨国追踪平台: 建立实时监控平台,追踪生殖细胞的流通和使用情况,确保信息透明和可追溯。
- 统一信息披露: 各国应统一信息披露标准,保障受体家庭的知情权,包括捐精者的健康信息和遗传风险。
3. 完善遗传咨询与长期随访体系
对于接受辅助生殖的家庭,特别是使用捐赠生殖细胞的家庭,应提供专业的遗传咨询服务,确保他们充分理解潜在的遗传风险。
- 专业咨询: 遗传咨询师应协助家庭解读基因检测结果,并提供风险管理和生育选择的指导。
- 长期随访: 应为辅助生殖孕育的子女建立长期健康随访体系。对于存在潜在遗传风险的个体,应提供免费或补贴的定期体检和基因检测服务,以减轻家庭的经济和心理负担。
对于已经确诊LFS的家庭,获取海外高质量的药物和医疗器械,如用于密集监测的核磁共振设备或特定的靶向药物,往往是巨大的挑战。MedFind平台提供抗癌药品代购与国际直邮服务,帮助患者安全、合规地获取海外急需的医疗资源。
结语:为每一个生命筑牢遗传安全
辅助生殖技术的初心是为不孕家庭点亮生命的希望,而非以“生育自由”之名透支下一代的健康权。这场TP53突变引发的遗传悲剧是一个沉重的教训,提醒我们不能因短期的经济利益或技术的便利而忽视长期的遗传安全风险。
确保每一个新生命的健康和未来,需要多方共同努力:精子库必须严格执行最新的基因筛查标准;国际社会必须建立协同的监管机制;医疗机构必须完善遗传咨询和长期随访体系。只有在严格的科学指导和伦理规范下,辅助生殖技术才能真正成为造福人类的工具,而不是潜在的健康隐患。对于LFS患者及其家庭,积极参与终身监测,及时了解最新的治疗进展,是管理这一遗传重担的关键所在。
