引言:结直肠癌靶向治疗的困境——为何药物会失效?
结直肠癌(Colorectal Cancer, CRC)是全球范围内最常见的恶性肿瘤之一,严重威胁着人类的健康。随着精准医疗时代的到来,针对特定基因突变的靶向治疗为无数结直肠癌患者带来了新的生机。其中,MAPK信号通路是细胞生长和增殖的关键调控者,其异常激活,尤其是KRAS和BRAF基因的突变,是驱动结直肠癌发生发展的核心引擎。因此,针对KRAS和BRAF的靶向抑制剂应运而生,成为临床治疗的重要武器。
然而,一个严峻的挑战摆在患者和医生面前:靶向治疗耐药。许多患者在用药初期效果显著,但随着时间的推移,肿瘤往往会卷土重来,甚至变得更具侵袭性。这种耐药现象的背后机制极其复杂,一直是医学界亟待攻克的难题。为什么这些精准制导的“生物导弹”会最终失效?肿瘤细胞究竟是通过何种诡计逃脱药物的追杀?
近日,发表在国际顶尖学术期刊《Nature》上的一项突破性研究,为我们揭开了这一谜团的一角。来自英国癌症研究中心苏格兰研究所的科研团队通过精巧的实验设计,系统性地揭示了MAPK信号通路如何通过驱动一种被称为“上皮细胞可塑性”的生物学过程,来介导结直肠癌对靶向治疗的耐药。这项研究不仅深化了我们对耐药机制的理解,更为开发克服耐药的新策略指明了方向。

第一部分:肿瘤的“变身”绝技——细胞可塑性探秘
要理解这项研究的核心,我们首先需要了解一个关键概念——细胞可塑性(Cell Plasticity)。简单来说,这就像是细胞拥有的一种“七十二变”的能力。在特定环境或压力下,细胞可以改变自身的身份和功能,从一种状态转变为另一种状态。在正常的肠道组织中,这种可塑性是维持组织稳态和损伤修复所必需的。
我们的肠道上皮细胞主要存在两种干细胞状态:
- 稳态干细胞(LGR5⁺ CBC):它们是肠道组织的“常规部队”,负责日常的细胞更新和组织维护,主要受Wnt信号通路调控。
- 再生/修复性干细胞(RSC):它们是肠道的“预备役”或“特种兵”,平时处于静默状态,但在组织受到损伤(如炎症或创伤)时会被激活,发挥强大的修复和再生能力。这类细胞的特征是高表达Anxa1和Ly6a等标志物,并且其激活与MAPK信号通路密切相关。
正常情况下,这两种细胞状态相互协调,共同维护肠道健康。然而,在癌症中,肿瘤细胞常常会劫持这种可塑性机制,将其变为自己生存、转移和抵抗治疗的“帮凶”。
第二部分:KRAS突变:驱动肿瘤细胞进入“无限再生”模式

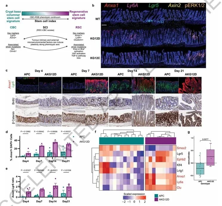
图1:KRAS激活驱动RSC表型
研究团队首先利用携带KRAS突变(G12D和G12C)的基因工程小鼠模型,探究了致癌的MAPK信号激活对肠道细胞身份的直接影响。通过一系列精密的分子生物学分析,他们得出了一个惊人的结论:
与正常组织相比,由KRAS突变驱动的结肠肿瘤组织中,代表“再生/修复”状态的标志物Anxa1和Ly6a表达水平显著升高,而代表“稳态”的Lgr5标志物则明显下降。这一发现强有力地证明,致癌性KRAS信号就像一个强大的指令,迫使上皮细胞从常规的稳态模式,向一种更具活力和修复能力的“再生模式”倾斜。
更重要的是,即使在同时存在APC基因缺失(这是另一种常见的CRC驱动突变,主要激活Wnt信号)的背景下,KRAS突变依然能够主导细胞向“再生状态”(RSC表型)转变。这表明,MAPK信号通路的驱动力异常强大,它为肿瘤细胞预设了一种高度可塑、随时准备应对外界压力的状态,这为后续的治疗耐药埋下了深深的伏笔。
第三部分:靶向抑制下的“绝地求生”:肿瘤细胞的适应性转变

图2:KRAS抑制改变上皮表型
那么,当使用靶向药物抑制KRAS信号时,这些处于“再生模式”的肿瘤细胞会发生什么变化呢?研究人员对携带KRAS G12D突变的肿瘤小鼠使用了特异性抑制剂MRTX1133,并通过先进的单细胞测序技术,观察了治疗压力下每个细胞的命运变化。
结果再次出人意料。研究人员发现,KRAS抑制剂并没有像预想的那样直接、大规模地杀死肿瘤细胞。相反,它触发了一场肿瘤内部的“状态大迁徙”。在药物作用下,原本由MAPK信号主导的细胞(WntMapkʰⁱ状态)迅速地转变为由Wnt信号主导的“稳态干细胞”样状态(Wntʰⁱ状态)。
这意味着,KRAS抑制剂的主要作用是诱导了细胞的适应性可塑性,而非直接的细胞毒杀。肿瘤细胞通过巧妙地“变身”,切换到另一条不依赖于MAPK信号的生存通路(Wnt通路)上,从而维持了自身的存活和增殖。这构成了靶向治疗内在耐药的核心机制——药物虽然暂时压制了敌人的一支主力部队(MAPK通路),但敌人通过“战略转移”,依靠另一支部队(Wnt通路)继续顽抗。
对于正在接受或考虑接受靶向治疗的结直肠癌患者而言,理解这些复杂的耐药机制至关重要。如果您对自己的治疗方案有任何疑问,或希望获取前沿的抗癌资讯,可以随时通过MedFind的AI问诊服务进行咨询,获取专业的解读和建议。
第四部分:早期肝转移的“黄金治疗窗口”:一个充满希望的发现

图3:早期CRC肝转移富含WntMapkʰⁱ且对MAPK抑制敏感
尽管上述发现揭示了耐药的严峻性,但该研究同样带来了一个令人振奋的好消息,尤其对于面临肝转移风险的患者。研究团队通过在小鼠体内模拟结直肠癌肝转移的过程,观察到:
在转移的极早期阶段,形成的微小转移灶具有一个显著特点:其内部的肿瘤细胞状态非常单一、同质化,几乎全部处于高度依赖MAPK信号的“再生状态”(WntMapkʰⁱ或Mapkʰⁱ)。它们还没有发展出原发灶那种复杂的、多状态共存的异质性。
这一特点带来了一个至关重要的“机会窗口”。研究人员发现在移植后的早期(第7天)就开始使用MEK抑制剂或KRAS抑制剂进行干预,能够非常有效地抑制甚至完全清除这些早期的肝转移灶。相比之下,同样方案对于已经建立的、状态复杂的原发结肠肿瘤则效果甚微。
这一发现的临床意义是巨大的。它提示我们,对于结直肠癌患者,特别是高危人群,密切监测并尽早干预微小转移灶,可能取得意想不到的治疗效果。在肿瘤细胞尚未“学会”通过变身来逃避治疗之前,果断出击,有望将其扼杀在摇篮中。虽然这项研究中提到的KRAS-G12D抑制剂MRTX1133等药物尚未广泛上市,但针对KRAS、BRAF等靶点的药物研发正在飞速发展。患者可以关注MedFind的药品信息,获取最新的药物可及性信息。
第五部分:BRAF突变肿瘤的耐药机制:殊途同归的“变身”策略

图4:BRAF+EGFR抑制促使Braf突变肿瘤采用Wntʰⁱ上皮状态
为了验证这种“变身耐药”机制是否具有普遍性,研究团队将目光投向了另一大类由MAPK通路驱动的结直肠癌——BRAF V600E突变型。对于这类患者,临床上的标准治疗方案是BRAF抑制剂(如达拉非尼 Dabrafenib)联合EGFR抑制剂(如厄洛替尼 Erlotinib)。
研究结果与KRAS模型如出一辙。在BRAF突变的小鼠模型中,肿瘤细胞起初主要表现为依赖MAPK信号的“再生状态”。在使用BRAF+EGFR抑制剂联合治疗后,尽管小鼠的生存期得到延长,但最终仍然不可避免地出现了耐药。通过对耐药肿瘤进行深入分析,研究人员发现,肿瘤上皮细胞再次上演了“金蝉脱壳”的戏码:它们从原来的Anxa1高表达/Lgr5低表达的Mapkʰⁱ状态,显著转变为Lgr5高表达/Anxa1低表达的Wntʰⁱ和WntMapkʰⁱ状态。
这一结果证实,无论是KRAS突变还是BRAF突变,通过激活细胞可塑性,在不同的信号通路依赖状态之间切换,是结直肠癌逃避MAPK通路靶向治疗的一种核心且通用的策略。
第六部分:RNF43突变:限制肿瘤“变身”能力,成就“超敏反应”

图5:RNF43缺失通过限制肿瘤上皮可塑性增敏BRAF+EGFR抑制
研究的最后一部分,解答了一个长期困扰临床医生的现象:为什么同样是BRAF突变的结直肠癌患者,那些同时伴有RNF43基因失活突变的患者,对BRAF+EGFR抑制剂的治疗反应会出奇地好?
RNF43基因是Wnt信号通路的一个重要“刹车”蛋白。当它失活时,Wnt通路的活性就会持续处于较高水平。研究团队构建了同时携带Braf突变和Rnf43敲除的小鼠模型,发现这类肿瘤的基底状态就偏向于Wnt和MAPK信号共存的WntMapkʰⁱ状态。
关键在于,当对这类肿瘤使用BRAF+EGFR抑制剂治疗时,它们的上皮细胞状态保持稳定,未能发生向纯Wntʰⁱ状态的有效转换。换句话说,由于RNF43的缺失,这些肿瘤细胞的“变身”能力受到了极大的限制,它们无法灵活地切换到完全依赖Wnt信号的生存模式来抵抗治疗。由于无路可退,这些肿瘤细胞最终被药物高效杀伤,从而表现出对治疗的“超敏反应”。
这一发现从机制上完美解释了RNF43突变为何能成为预测BRAF靶向治疗良好疗效的强大生物标志物。它也再次凸显了基因检测在精准治疗中的重要性。了解自身肿瘤的基因突变状态,如RNF43是否缺失,对于制定精准治疗方案至关重要。如果您需要了解相关药物的详细信息,包括价格和购买渠道,MedFind的药物信息库能为您提供全面的支持。
总结与展望:为结直肠癌患者带来的新启示
这项发表于《Nature》的重磅研究,系统性地揭示了MAPK信号驱动的上皮细胞可塑性是结直肠癌靶向治疗耐药的核心机制。无论是KRAS还是BRAF突变,抑制MAPK信号通路都会触发肿瘤细胞从MAPK驱动的“再生状态”向Wnt驱动的“稳态”转变,从而维持肿瘤活力,导致治疗失败。
这些发现不仅是基础研究的重大突破,更为未来的临床实践提供了宝贵的启示和新的策略方向:
- 抓住“机会窗口”:对于早期转移的患者,在肿瘤异质性较低、细胞状态单一时进行及时的靶向干预,可能获得最佳疗效。
- 探索联合疗法:既然肿瘤会在MAPK和Wnt两条通路间切换,那么设计同时抑制这两条通路的联合用药方案,或在不同状态下序贯用药,有望彻底阻断肿瘤的逃生之路。
- 精准筛选获益人群:利用RNF43等生物标志物,可以更精确地筛选出那些因“变身”能力受限而对特定靶向治疗高度敏感的患者,实现真正的个体化精准医疗。
科学的每一次进步,都在为我们与癌症的斗争增添新的武器。理解肿瘤的狡猾与多变,正是为了找到制胜的策略。这项研究为我们描绘了一幅关于肿瘤耐药与细胞可塑性的清晰图景,也为千千万万结直肠癌患者的未来治疗带来了新的曙光。
