肺癌耐药困境与“铁死亡”新曙光
肺癌,作为全球癌症死亡率的头号杀手,其治疗始终面临巨大挑战。尤其是肺腺癌,即便在靶向治疗和免疫疗法飞速发展的今天,耐药与复发问题依然是笼罩在患者心头的阴云。当传统疗法束手无策时,我们能否找到一种全新的方法,让顽固的癌细胞“自取灭亡”?
近年来,一个名为“铁死亡”(Ferroptosis)的生物学概念为癌症治疗带来了革命性的思路。这是一种依赖铁离子的新型细胞死亡方式,如同在癌细胞内部点燃一场无法扑灭的“氧化大火”。而现在,科学家们正致力于拆除癌细胞赖以生存的“灭火系统”,让它们在自己引发的火焰中走向毁灭。
FSP1:癌细胞的关键“防火墙”
发表于顶尖期刊《Nature》的一项突破性研究中,来自纽约大学的科学家团队揭示了一种实验性药物如何通过诱导铁死亡来消灭肺癌细胞。这项研究的核心,在于一个名为FSP1(Ferroptosis Suppressor Protein 1)的关键蛋白。
癌细胞为了抵抗铁死亡,进化出了两套核心的“防火墙”系统:GPX4和FSP1。它们协同工作,抑制细胞内脂质的过度氧化,从而保护癌细胞免于崩溃。那么,如果能精准地摧毁这道防线,特别是FSP1,结果会怎样呢?

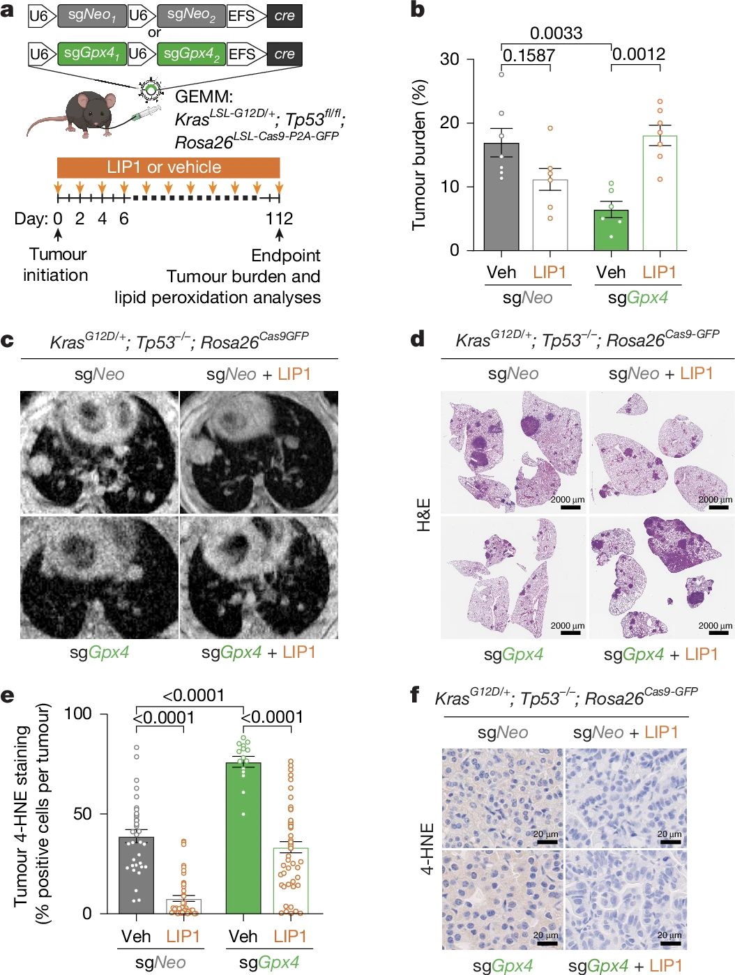
Gpx4缺失会诱发肺部肿瘤发生铁死亡
icFSP1:精准引爆癌细胞的“自毁程序”
研究团队开发了一款名为icFSP1的首个具有体内活性的FSP1抑制剂,并在多种肺癌模型(包括基因工程小鼠、人类癌细胞系和患者来源的肿瘤模型)中验证了其惊人效果。
- 显著抑制肿瘤生长:无论是在基因层面敲除FSP1,还是使用药物icFSP1进行治疗,都观察到小鼠体内的肺肿瘤生长受到了强烈抑制,肿瘤负担显著减轻。
- 延长生存期:接受icFSP1治疗的荷瘤小鼠,其生存期得到了显著延长,证明了该疗法的有效性。
- 广谱抗癌潜力:该效果不仅限于特定突变类型,在携带KRAS、EGFR等不同驱动基因的肺癌细胞中均有效,甚至在胰腺癌模型中也得到了验证。
这项研究证实,通过抑制FSP1来触发铁死亡,是一种极具潜力的抗癌策略。如果您想深入了解更多关于肺癌前沿疗法的信息,或评估自己的治疗方案,可以咨询MedFind AI问诊,获取专业的第二诊疗意见。
为何靶向FSP1是更优选择?
在铁死亡通路中,GPX4是另一个关键蛋白,但靶向GPX4的药物往往会产生严重的副作用,因为它对正常细胞也至关重要。相比之下,FSP1成为了一个更理想的靶点:
- 肿瘤特异性高:FSP1蛋白在肺腺癌组织中显著高表达,且其表达水平与肿瘤的恶性程度和患者的不良预后密切相关。
- 精准打击难治性肿瘤:在那些携带KRAS、STK11或KEAP1共突变的难治性肺癌中,FSP1的表达水平更高,使其成为精准打击这些顽固肿瘤的“完美靶点”。
- 安全性更高:由于FSP1在正常组织中表达较低,靶向它能够实现“精准杀伤癌细胞,同时减少对正常细胞的损害”的理想治疗效果。
未来展望:从理论到临床应用的跨越
该研究首次在多种临床前模型中系统验证了FSP1抑制剂的抗癌活性,标志着铁死亡疗法从基础研究向临床应用迈出了关键一步。研究团队表示,下一步将继续优化FSP1抑制剂的药代动力学和安全性,并探索其在胰腺癌等其他实体瘤中的治疗潜力,力求尽快将这一科学发现转化为能惠及广大患者的新疗法。
虽然FSP1抑制剂距离正式上市仍需时日,但它为肺癌,特别是耐药性肺癌的治疗开辟了全新的道路。未来,我们有望通过精准启动癌细胞的“自毁程序”,让治疗变得更加高效和安全。在等待新药的同时,对于已上市的靶向药物,患者可以通过MedFind代购服务获取,以更经济的价格获得治疗希望。
