攻克复发/难治性中枢神经系统淋巴瘤的新策略
原发性中枢神经系统淋巴瘤(PCNSL)是一种罕见的非霍奇金淋巴瘤,主要病理类型为弥漫性大B细胞淋巴瘤(DLBCL)。由于其病灶局限于中枢神经系统,预后极差,5年生存率仅约30%。尽管以大剂量甲氨蝶呤(HD-MTX)为基础的化疗取得了一定进展,但仍有大量患者面临治疗无效或复发的困境,成为临床治疗的一大挑战。
对于这些复发/难治(R/R)的PCNS-DLBCL患者,寻找有效的后续治疗方案至关重要。近期,两例成功的病例为我们揭示了替尼泊苷(Teniposide)联合化疗方案的潜力,为患者带来了新的希望。若您需要了解相关药物的代购渠道或价格,欢迎访问MedFind全球靶向药代购平台。
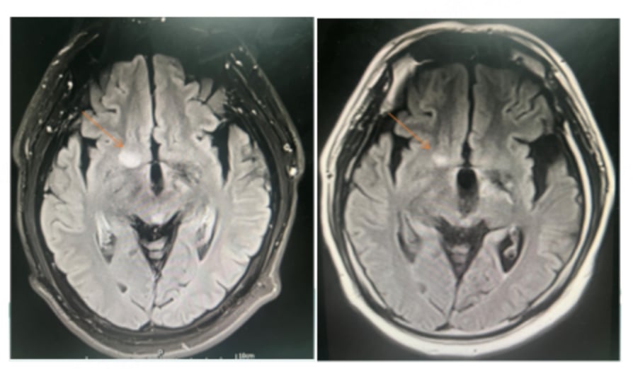
病例一:37岁男性患者的治疗突破
该患者确诊为PCNS-DLBCL后,接受了长达10个疗程的大剂量甲氨蝶呤联合替莫唑胺治疗。然而,在化疗结束后6个月首次复发,接受放疗后10个月再次复发,病情十分棘手。

治疗方案与效果:
由于患者无法再次进行放疗,医疗团队决定采用以替尼泊苷为核心的联合化疗方案。具体用药包括:利妥昔单抗、替尼泊苷、异环磷酰胺、顺铂和地塞米松。经过3个疗程的治疗后,影像学评估显示患者达到了部分缓解(PR),颅内病灶明显缩小,病情得到有效控制。

尽管后续因新冠感染暂停治疗一个月,但患者病情依然稳定,显示出该方案带来的持续获益。这一成功案例表明,替尼泊苷联合化疗对于HD-MTX治疗失败的年轻患者是一种有效的挽救治疗选择。

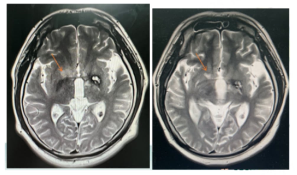
病例二:66岁女性患者的希望重燃
这位66岁的女性患者在接受标准的R+HD-MTX方案治疗后,因故停药3个月后出现疾病进展。后续调整方案后,病情再次恶化,出现头痛、恶心、呕吐等严重症状。

治疗方案与效果:
面对棘手的病情,医生同样采用了基于替尼泊苷的联合化疗方案。在第一个疗程后,患者出现了粒细胞缺乏伴发热的副作用,医生及时将后续化疗剂量减少了25%。经过调整后的3个疗程治疗,患者的症状显著改善,复查影像显示病灶缩小,同样达到了部分缓解(PR)。


这个病例说明,即使对于年龄较大且出现较严重不良反应的患者,通过适当调整剂量,替尼泊苷方案依然能够安全、有效地控制疾病。如果您对治疗方案或副作用管理有疑问,可以咨询MedFind的AI问诊服务。
替尼泊苷:为何能成为有效选择?
标准的一线治疗方案HD-MTX虽然有效,但其水溶性的特点限制了其穿透血脑屏障的能力。而替尼泊苷作为一种脂溶性较高的化疗药物,能够更有效地进入中枢神经系统,直击病灶。对于MTX耐药或无法耐受的患者,替尼泊苷提供了一个重要的替代方案。
上述两个病例共同证实,对于HD-MTX治疗后复发或进展的PCNS-DLBCL患者,替尼泊苷联合化疗方案能够带来显著的生存获益,且其血液学毒性等副作用在临床上是可控的。
专家点评与未来展望
河北医科大学第四医院的武莉丽教授指出,这两例患者的成功治疗,充分展示了替尼泊苷联合化疗在控制疾病进展、改善R/R患者预后方面的重要作用。随着医学的进步,布鲁顿酪氨酸激酶抑制剂(BTKi)、CAR-T等创新疗法也日益受到关注。未来,将替尼泊苷等经典药物与这些新型疗法相结合,有望为中枢神经系统淋巴瘤患者带来更持久、更显著的疗效提升。更多前沿的抗癌资讯,请访问MedFind资讯板块。

武莉丽 教授

王连静 医生
