高级别星形胶质细胞瘤的治疗挑战
星形胶质细胞瘤是中枢神经系统最常见的原发性恶性肿瘤,其中高级别(WHO III-IV级)的预后尤其不佳。特别是WHO IV级的多形性胶质母细胞瘤,恶性程度高、生长迅速、复发率高,给临床治疗带来了巨大挑战。尽管标准治疗方案不断优化,但患者的生存期仍十分有限。本文将通过一例真实的病例,分享替尼泊苷联合治疗方案在延缓复发性高级别星形胶质细胞瘤病情进展中的应用与成效。
患者初诊与一线治疗
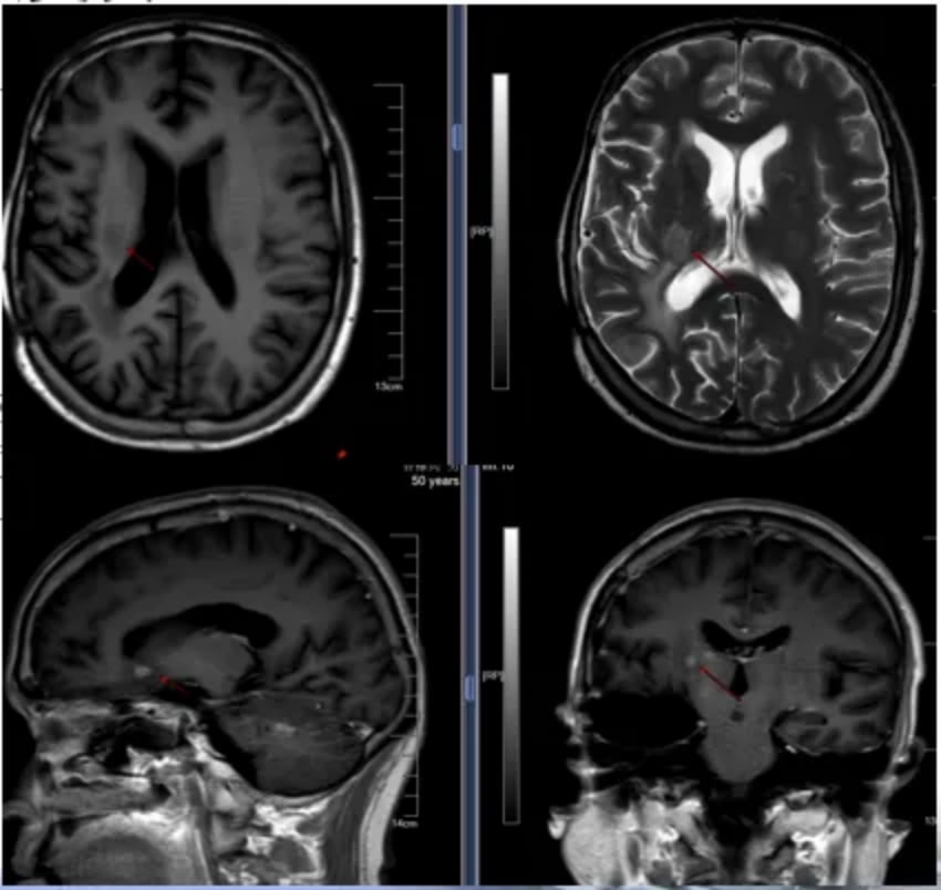
患者为一名49岁男性,因间断性头痛、恶心呕吐入院。颅脑MRI检查提示右侧颞叶存在占位性病变。

图1 初诊时颅脑MRI图像
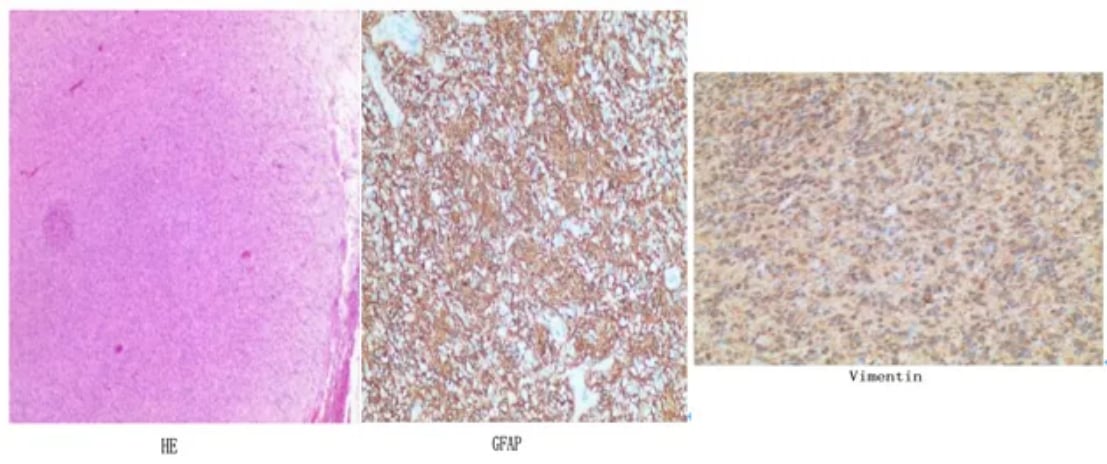
2020年12月,患者接受了脑病损切除术。术后病理结果明确诊断为:右侧颞叶星形胶质细胞瘤,WHO IV级。基因检测结果显示,存在TERT突变、EGFR扩增,且MGMT启动子呈甲基化阳性。这些分子特征共同指向了预后不良的可能。

图2 肿瘤组织病理染色结果
根据标准治疗方案,患者于2021年2月开始接受一线治疗:同步放化疗(放疗联合口服替莫唑胺),并在放疗结束后继续进行替莫唑胺辅助化疗。

图3 初始放疗计划
疾病复发与二线方案探索
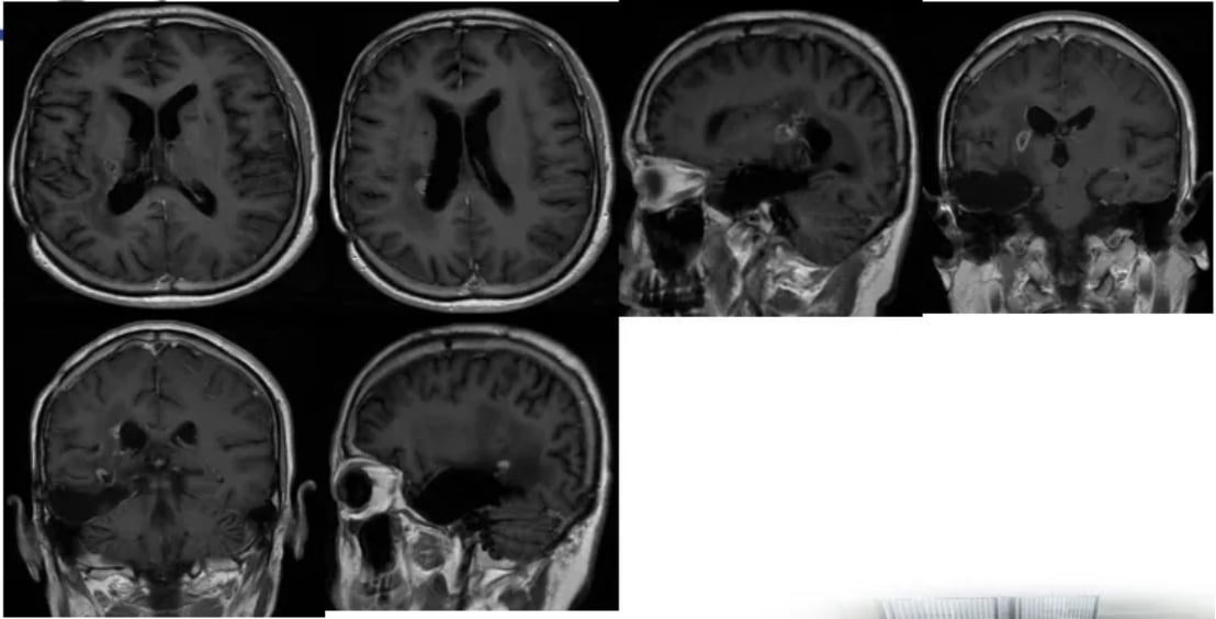
不幸的是,经过一年多的稳定期后,患者于2022年7月复查颅脑MRI时发现,右侧额叶及基底节区出现了新的强化病灶,提示肿瘤复发转移。面对疾病进展,制定有效的后续治疗方案迫在眉睫。复杂的病情和治疗选择常让患者和家属感到困惑,此时可以借助MedFind的AI问诊服务,获取更多前沿的治疗信息和专业的参考意见。

图4 首次复发时颅脑MRI图像
考虑到患者的病情和之前的治疗史,医生决定采用新的治疗策略。自2022年8月起,患者开始接受二线治疗:贝伐珠单抗(800mg)靶向治疗联合替尼泊苷(100mg, d1-3)化疗方案,共进行了8个周期的治疗。
替尼泊苷联合治疗的显著成效
替尼泊苷是一种能够穿透血脑屏障的化疗药物,对脑部肿瘤具有良好的治疗潜力。联合抗血管生成的靶向药物贝伐珠单抗,旨在更有效地控制肿瘤生长。治疗效果在后续的影像学检查中得到了证实。
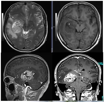
随访MRI显示,经过联合治疗后,患者脑内病灶的强化程度明显减低,部分病灶甚至消失,病情得到了有效控制。这一积极结果表明,替尼泊苷联合贝伐珠单抗方案在治疗复发性胶质母细胞瘤方面具有显著疗效。


图5 联合治疗期间,病灶强化程度逐渐减低
治疗挑战与后续方案调整
在病情稳定后,患者于2023年3月接受了脑部再程放疗,并继续进行贝伐珠单抗联合替尼泊苷的巩固治疗。然而,在长期的治疗过程中,患者不幸发生了脑梗事件。考虑到这可能与贝伐珠单抗的副作用有关,医患双方共同决定停止使用贝伐珠单抗,将化疗方案调整为替尼泊苷单药治疗。
尽管后续MRI显示脑内仍有微小病灶进展,但得益于前期有效的联合治疗和后续的替尼泊苷维持治疗,患者的无进展生存期得到了显著延长。对于需要长期用药的患者,获取稳定可靠的药物来源至关重要。MedFind致力于为癌症患者提供专业的海外靶向药和化疗药代购服务,确保治疗的连续性。

图9 后续随访MRI图像
病例总结与临床启示
本例患者从初诊到最近一次随访,整个诊疗过程体现了高级别胶质瘤治疗的长期性和复杂性。初始的标准Stupp方案后,患者的无进展生存期(PFS1)达到了18个月。在首次复发后,采用替尼泊苷联合贝伐珠单抗的创新方案,成功将二次无进展生存期(PFS2)延长至24个月,极大地延缓了病情进展,为患者争取了宝贵的生命时间。
该病例充分证明了替尼泊苷在复发性高级别星形胶质细胞瘤治疗中的价值。其良好的血脑屏障透过率使其成为脑胶质瘤化疗的理想选择之一。这个成功的案例为临床医生和患者提供了宝贵的经验,也提示了未来可以进一步探索替尼泊苷联合其他新疗法(如免疫治疗)的可能性。您可以在MedFind的抗癌资讯版块中,找到更多关于脑胶质瘤的前沿治疗信息和药物资讯。
专家点评
桑茹 教授 & 王建平 教授 (苏州大学附属第一医院)
该病例的诊疗过程充分体现了对高级别胶质瘤进行多学科、个体化治疗的重要性。一线采用标准方案,复发后及时调整为贝伐珠单抗联合替尼泊苷的靶向化疗方案,是基于对疾病特点和药物优势的深刻理解。替尼泊苷作为拓扑异构酶II抑制剂,能有效抑制肿瘤细胞DNA的合成与分裂。在本病例中,该联合方案有效控制了肿瘤进展,显著延长了患者的生存期,尽管最终仍面临疾病进展的挑战,但其临床价值不容忽视。这为复发性胶质母细胞瘤的治疗提供了重要的实践依据。


