引言:读懂您的甲状腺诊断报告
当体检发现甲状腺结节,或被诊断为“多结节性甲状腺肿”时,许多人会感到焦虑,最担心的问题莫过于:“这是不是癌症?”。随着医学的发展,世界卫生组织(WHO)对甲状腺肿瘤的分类也在不断更新。在最新的第五版分类中,一个名为“甲状腺滤泡结节性病变 (Follicular Nodular Disease, FND)”的新术语被正式引入,它其实就是我们过去常说的“结节性甲状腺肿”在病理学上的精确命名。本文将为您详细解读这一常见的良性病变,并教您如何从病理层面区分它与甲状腺癌。

一、什么是甲状腺滤泡结节性病变(FND)?
简单来说,甲状腺滤泡结节性病变(FND)是一种源于甲状腺滤泡细胞的良性增生,并非癌症。它在病理学上取代了过去较为模糊的“结节性甲状腺肿”这一诊断。临床上,它常常表现为“多结节性甲状腺肿(MNG)”,即医生在您颈部可能触及多个大小不一的结节。这些结节可能会引起压迫症状,如呼吸或吞咽困难,但其本质是良性的增生。
- 定义: FND是甲状腺滤泡细胞的一种多灶性、非炎症性的良性增生,形成多个结构多样的结节。
- 与“结节性甲状腺肿”的关系: FND是“结节性甲状腺肿”在显微镜下的病理学诊断名称。如果您收到的病理报告是FND,可以理解为它就是过去所说的结节性甲状腺肿。
二、FND的病理特征:镜下是什么样子?
在病理医生眼中,FND的组织形态具有鲜明的特点。与大小相对均一、排列整齐的正常甲状腺滤泡不同,FND的镜下表现为“杂乱无章”的结节性增生。
正常甲状腺组织:滤泡大小相对一致,弥漫分布,无明显结节感。

FND的典型表现:镜下可见大小差异极大的滤泡混合在一起,形成明显的结节。有些滤泡非常大,充满了胶质(巨滤泡),而另一些则很小(微滤泡),这种“大小悬殊”是其典型特征。

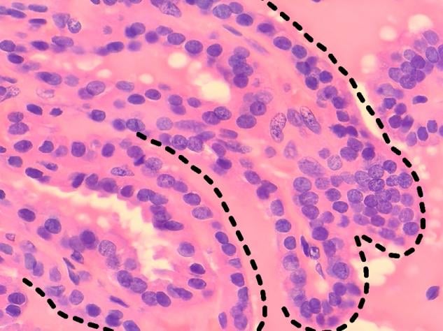
有时,FND中也可能出现类似“乳头”的结构,这常常会引起患者的恐慌,担心是乳头状癌。然而,良性与恶性的关键区别在于细胞核的形态。
三、关键区别:如何区分FND与甲状腺乳头状癌?
病理诊断的“金标准”在于高倍镜下对细胞核的细致观察。即使FND中出现了乳头状结构,其细胞核也完全不具备甲状腺癌的特征。
FND中的良性细胞核:

如上图所示,在FND中,即使形成乳头样结构,其细胞核也表现为:
- 大小均一,形态规则(圆形或椭圆形)。
- 排列整齐,不拥挤重叠。
- 染色质分布均匀,核颜色正常。
甲状腺乳头状癌的恶性细胞核:

相比之下,甲状腺乳头状癌的细胞核具有典型的恶性特征:
- 核增大、重叠拥挤: 细胞核比正常大2-3倍,排列紧密,相互挤压重叠。
- 毛玻璃样核: 细胞核染色质变浅,看起来透明,像毛玻璃一样。
- 核沟与假包涵体: 核膜不规则,出现折叠形成的“核沟”(像咖啡豆),有时核内还可见“假包涵体”。
通过对比,我们可以清晰地看到,良性的FND与恶性的甲状腺癌在细胞核层面有着天壤之别。因此,即使低倍镜下看到相似的结构,高倍镜下的细胞核形态才是最终诊断的依据。
四、临床表现与预后总结
了解了病理特征后,我们再来回顾一下FND的整体情况。
- 临床表现: 多数表现为甲状腺肿大,可触及多个结节。
- 大体外观: 切除的标本通常呈灰黄色,切面可见大小不一的结节,可能伴有囊性变、纤维化或钙化。
- 病理诊断核心: 镜下为大小不一的滤泡构成的多发结节,缺乏甲状腺乳头状癌的核特征。
- 预后: 预后极好。作为一种良性病变,FND不会发生转移。完整切除后通常不会复发,但对于仅接受部分切除的患者,剩余的甲状腺组织仍有再发结节的可能。
结论:
甲状腺滤泡结节性病变(FND)是结节性甲状腺肿的现代病理学名称,它是一种完全良性的病变。通过专业的病理检查,尤其是对细胞核形态的仔细辨别,可以准确地将其与甲状腺癌区分开来。希望本文能帮助您更好地理解自己的病理报告,减轻对甲状腺结节的未知恐惧。
