引言
三阴性乳腺癌(TNBC)因其侵袭性强、复发率高且缺乏常规的激素受体和HER2靶点,一直是临床治疗中的一大挑战。因此,寻找新的治疗靶点和揭示其背后的分子机制,对于改善患者预后至关重要。近期,一项发表在国际知名期刊《Signal Transduction and Targeted Therapy》上的研究为我们带来了新的视角。
该研究由中国科学院昆明动物研究所、昆明医科大学及中山大学的科学家们共同完成,他们发现了一种由过去被认为是“非编码”RNA(lncRNA)所编码的新型小肽,并揭示了它在驱动三阴性乳腺癌生长中的关键作用。
新发现:一种促进肿瘤生长的“隐藏”小肽 66CTG
传统观念认为,长链非编码RNA(lncRNA)不具备编码蛋白质的能力。然而,越来越多的研究表明,部分lncRNA实际上可以编码一些功能性的小肽,这些小肽在癌症的发生发展中扮演着重要角色。

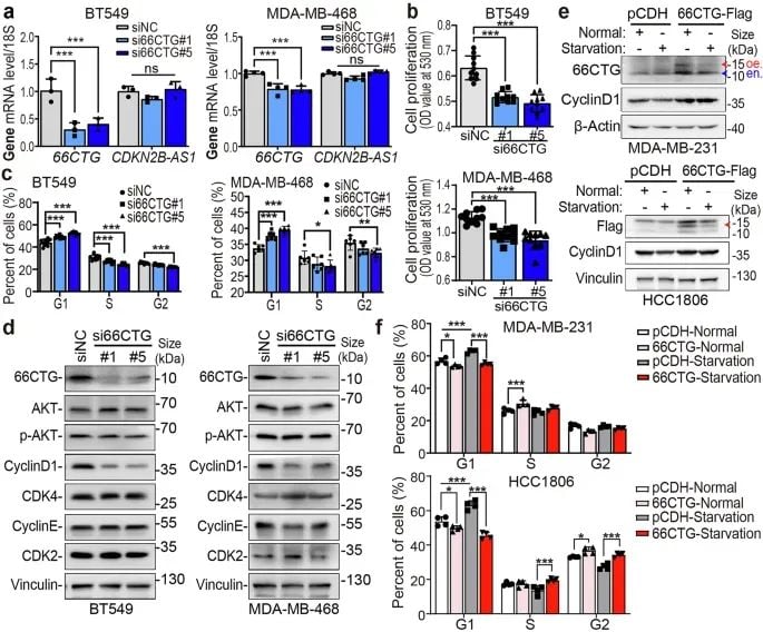
研究团队通过对乳腺癌细胞数据的深度分析,锁定了一个名为CDKN2B-AS1的lncRNA。他们发现,这个lncRNA在三阴性乳腺癌组织中异常活跃,并且能够编码一个由66个氨基酸组成的新型小肽,研究人员将其命名为 66CTG。通过先进的基因编辑和质谱技术,科学家们在TNBC细胞内成功验证了66CTG的真实存在。

功能实验进一步证实,当在三阴性乳腺癌细胞中增加66CTG的水平时,癌细胞的增殖速度显著加快。在动物模型中,表达更多66CTG的肿瘤也表现出更强的生长能力,这直接证明了它促进肿瘤生长的作用。
66CTG如何“助纣为虐”?揭秘其与c-Myc的共谋机制
为了弄清66CTG促进癌症的原理,研究人员将目光投向了著名的癌蛋白 c-Myc。c-Myc 就像是癌细胞的“油门”,它的过度活化会驱动细胞疯狂增殖,在多种癌症中都扮演着关键角色。正常情况下,人体内有一种叫FBW7α的蛋白,负责识别并降解多余的c-Myc,从而抑制肿瘤生长。

这项研究的核心发现揭示了一个巧妙的“阴谋”:
- 竞争保护:新发现的 66CTG 小肽能够主动与“卫兵”FBW7α结合。
- 稳定“元凶”:通过“缠住”FBW7α,66CTG 阻止了它去降解癌蛋白 c-Myc。
- 加速增殖:被保护下来的 c-Myc 蛋白得以大量积累,持续踩下癌细胞增殖的“油门”,最终导致三阴性乳腺癌肿瘤的快速生长。


有趣的是,研究还发现66CTG和c-Myc之间存在一种相互保护的“联盟”关系,二者共同作用,极大地促进了肿瘤的恶性进展。


研究意义:为三阴性乳腺癌治疗带来新曙光
这项研究不仅揭示了三阴性乳腺癌细胞增殖的一个全新分子机制,更重要的是,它为开发新的治疗策略提供了宝贵的线索。由于66CTG在TNBC中的高表达及其对肿瘤生长的关键驱动作用,它有潜力成为一个极具吸引力的诊断标志物和治疗新靶点。
未来,如果能开发出靶向66CTG或破坏其与FBW7α相互作用的药物,就有可能切断c-Myc的保护伞,从而有效抑制肿瘤生长。这一突破性的发现,为攻克三阴性乳腺癌这一难题带来了新的希望,也为更多癌症相关小肽的挖掘和研究开辟了新的道路。
