引言:结直肠癌免疫治疗的挑战与希望
结直肠癌(CRC)是全球范围内发病率高、致死率也位居前列的恶性肿瘤。近年来,以PD-1抑制剂为代表的免疫疗法为癌症治疗带来了革命性突破,但其在结直肠癌领域的应用却面临瓶颈。目前,仅有约15%的错配修复缺陷(dMMR)或高度微卫星不稳定性(MSI-H)的患者能从中显著获益,绝大多数患者效果不佳。因此,如何扩大免疫治疗的受益人群、提升治疗效果,是临床上亟待解决的难题。
近期,一项发表在国际顶尖期刊《自然·通讯》(Nature Communications)上的研究为我们带来了新的希望。来自南方医科大学的科研团队发现,我们日常生活中常见的咖啡因,竟然有潜力增强PD-1免疫疗法对结直肠癌的治疗效果,为患者提供了一种潜在的饮食干预新策略。
咖啡因:增强PD-1疗效的“神助攻”
这项研究深入探讨了咖啡因在结直肠癌治疗中的作用。研究结果令人振奋:
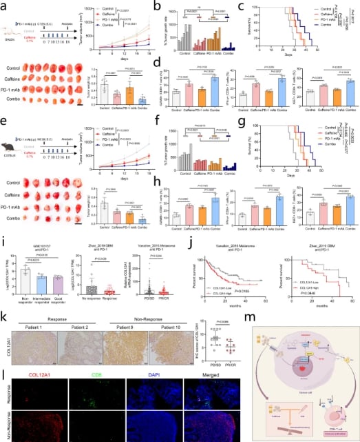
- 抑制肿瘤生长:在多种小鼠模型中,摄入咖啡因能够显著抑制结直肠癌肿瘤的生长,并延长生存期。
- 增强免疫活性:咖啡因的核心作用在于增强了抗肿瘤的关键免疫细胞——CD8+ T细胞的活性,有效缓解了它们的“耗竭”状态,让免疫系统能更有力地攻击癌细胞。
- 协同增效:当咖啡因与PD-1抑制剂联合使用时,其抗癌效果进一步增强,显示出“1+1>2”的协同效应。这表明,咖啡因有望成为一种有效的免疫增敏剂,提升现有免疫治疗的疗效。

揭秘背后机制:咖啡因如何唤醒免疫系统?
那么,咖啡因究竟是如何发挥这种神奇作用的呢?研究团队揭示了其背后的分子机制。原来,咖啡因通过一个名为“KLF4-COL12A1-MAPK-IDO1”的信号通路来发挥作用。
简单来说,咖啡因能够下调肿瘤细胞中一种叫做COL12A1的蛋白表达。这种蛋白的减少,会进一步抑制IDO1酶的活性,从而阻断了“犬尿氨酸”这一免疫抑制性代谢产物的生成。最终结果是,肿瘤微环境的免疫抑制状态得到缓解,CD8+ T细胞得以重新“焕发活力”,更有效地识别和杀伤癌细胞。
对结直肠癌患者的启示
这项研究不仅加深了我们对结直肠癌免疫学的理解,更对患者的治疗策略具有重要的指导意义。
- 饮食干预的潜力:研究强调了饮食干预在癌症治疗中的巨大价值。将咖啡因这样的膳食成分与前沿的免疫疗法相结合,可能成为一种有效、低成本的辅助治疗方式。
- 潜在的生物标志物:研究还发现,COL12A1蛋白的表达水平或许可以作为预测患者对免疫治疗反应的生物标志物。高表达的患者可能对治疗不敏感,这为未来实现精准治疗提供了新的思路。
- 拓宽治疗选择:对于那些正在接受或考虑接受PD-1抑制剂治疗的结直肠癌患者,这项发现无疑提供了一个充满希望的新方向。在咨询医生并了解相关药物的价格和获取途径后,结合合理的饮食策略,或许能获得更好的治疗效果。

图示:咖啡因与PD-1抗体联用,可有效增强免疫治疗效果
总而言之,这项开创性的研究表明,咖啡因作为一种安全的膳食补充剂,有望成为对抗结直肠癌的有力武器,特别是在与PD-1免疫疗法联用时。当然,这仍需更多临床研究来验证,但它为改善结直肠癌的治疗现状,点亮了一盏新的明灯。
