胶质母细胞瘤(GBM),作为中枢神经系统中最常见且最具侵袭性的原发性脑肿瘤,其治疗进展一直面临巨大挑战。尽管医学界付出了数十年的努力,但患者的五年生存率仍低于10%。这种恶性肿瘤对传统的手术、放疗和化疗反应极差,甚至在其他实体瘤中表现出色的免疫检查点阻断疗法,在胶质母细胞瘤患者身上也未能取得显著的临床益处。这背后深层的原因,在于胶质母细胞瘤免疫微环境(TME)所表现出的强烈免疫抑制特性。
肿瘤免疫微环境的复杂性是胶质母细胞瘤治疗的症结所在。它由多种细胞类型构成,包括肿瘤相关巨噬细胞(TAMs)、中性粒细胞以及星形胶质细胞等,这些细胞共同参与了免疫反应的精细调节。其中,星形胶质细胞作为中枢神经系统中最丰富的胶质细胞,在维持神经系统稳态、神经发育及免疫调节中扮演着重要角色。然而,其在胶质母细胞瘤免疫反应中的具体功能,此前一直未被完全阐明。
Nature重磅发现:星形胶质细胞如何“助纣为虐”?
近日,哈佛大学医学院Francisco J. Quintana团队在国际顶级期刊《Nature》上发表了一项突破性研究,题为“Glioblastoma-instructed astrocytes suppress tumour-specific T cell immunity”。该研究通过单细胞RNA测序(scRNA-seq)、多色免疫荧光、CRISPR基因编辑等前沿技术,深入揭示了星形胶质细胞在胶质母细胞瘤免疫微环境中的关键作用机制,特别是它们如何通过分泌因子(如TRAIL)影响肿瘤特异性T细胞的存活和功能。

1. 鉴定与表征:TRAIL+星形胶质细胞的“真面目”
研究人员首先对临床胶质母细胞瘤样本和健康组织样本进行了单细胞RNA测序,惊人地发现胶质母细胞瘤样本中存在一个独特的TRAIL+星形胶质细胞亚群(cluster 2)。进一步分析显示,在肿瘤复发时间较短(≤9个月)的患者中,这些星形胶质细胞表达更高水平的TRAIL,并且与患者较差的预后显著相关。独立的单核RNA测序和多色免疫荧光显微镜技术也证实了TRAIL+星形胶质细胞的存在,并发现它们在肿瘤样本中的比例明显增加,尤其集中在肿瘤边缘区域。

图1 胶质母细胞瘤TME中的TRAIL+星形胶质细胞增加
2. 机制揭示:TRAIL+星形胶质细胞如何“扼杀”T细胞免疫?
研究进一步深入,通过免疫荧光和流式细胞术检测发现,在胶质母细胞瘤和GL261小鼠胶质瘤模型中,TRAIL+星形胶质细胞与凋亡的T细胞(通过cleaved caspase-3标记)在空间上紧密接近。这强有力地表明,TRAIL+星形胶质细胞可能通过TRAIL-DR5信号通路诱导T细胞凋亡,从而削弱机体的抗肿瘤免疫力。
更令人担忧的是,TRAIL+星形胶质细胞不仅诱导T细胞凋亡,还可能通过其他机制(如抑制T细胞受体信号)导致T细胞功能障碍。体外共培养实验证实,这些星形胶质细胞能够显著抑制T细胞的激活和增殖,进一步揭示了其在胶质母细胞瘤免疫逃逸中的关键作用。


图3 TRAIL+星形胶质细胞限制肿瘤特异性T细胞免疫
3. 调控网络:IL-11/STAT3/AHR轴驱动TRAIL表达
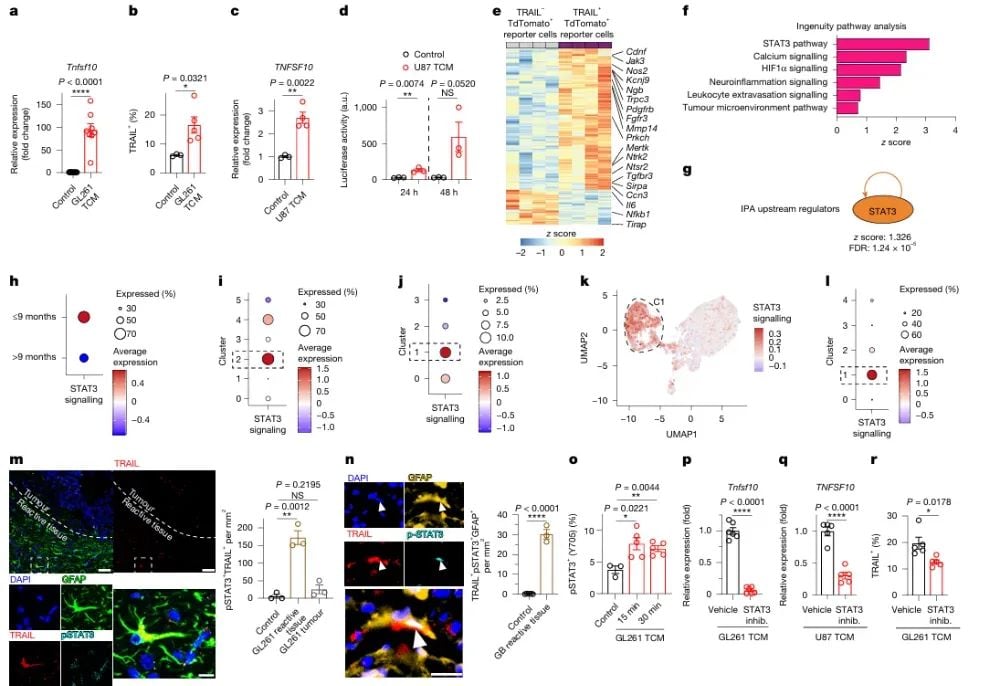
为了探明TRAIL表达的调控机制,研究人员通过RNA-seq和生物信息学分析发现,TRAIL+星形胶质细胞的STAT3信号通路活性显著增强。进一步实验证实,胶质母细胞瘤细胞分泌的IL-11能够通过激活STAT3来诱导星形胶质细胞中TRAIL的表达。此外,研究还发现胶质母细胞瘤细胞中的IL-11表达受到AHR(芳香烃受体)的调控,AHR的激活能够增加IL-11的表达,而其抑制则能减少IL-11的表达。这一复杂的信号网络为未来的靶向药研发提供了新的思路。

图4 胶质母细胞瘤分泌因子通过STAT3诱导星形胶质细胞中TRAIL表达

图5 胶质母细胞瘤衍生的IL-11诱导TRAIL+星形胶质细胞
靶向TRAIL:胶质母细胞瘤治疗的新策略与希望
基于这些关键发现,研究团队进一步探索了潜在的治疗策略。他们通过CRISPR技术特异性地在星形胶质细胞中敲除IL-11受体(Il11ra1)或TRAIL,结果显示这些基因敲除能够显著延长小鼠的生存时间,并减少肿瘤复发,这为靶向药的开发提供了初步证据。
更令人振奋的是,为了验证TRAIL阻断的治疗潜力,研究人员开发了一种表达TRAIL阻断单链抗体的溶瘤单纯疱疹病毒(HSV-1)。这种创新的溶瘤病毒能够选择性地感染并裂解肿瘤细胞,同时在肿瘤微环境中释放TRAIL阻断抗体。实验结果表明,这种溶瘤病毒不仅能够延长小鼠的生存时间,还显著增强了肿瘤特异性T细胞的免疫反应,为胶质母细胞瘤的免疫治疗带来了新的曙光。

图6 使用工程化HSV-1的治疗性TRAIL阻断
研究总结与未来展望
这项Nature研究通过揭示星形胶质细胞在胶质母细胞瘤免疫微环境中的独特作用机制,不仅极大地加深了我们对胶质母细胞瘤免疫逃逸机制的理解,更为开发新型免疫治疗策略提供了坚实的理论基础。特别是,通过靶向星形胶质细胞的TRAIL信号通路,有望显著改善胶质母细胞瘤患者的预后,并提高现有免疫治疗的效果。
对于正在与癌症抗争的患者而言,了解这些前沿的抗癌药研究进展至关重要。如果您正在寻找海外靶向药代购服务,或希望了解更多关于仿制药、最新抗癌药信息,MedFind海外靶向药代购网站致力于为癌症患者提供专业的药品代购服务。同时,我们还提供AI问诊服务,为您提供个性化的用药咨询和诊疗建议,以及丰富的药物信息、诊疗指南等抗癌资讯,助您在抗癌之路上获得更多支持与希望。
原文链接:
https://doi.org/10.1038/s41586-025-08997-x
