在抗击癌症的漫长征途中,医学界始终面临着一个巨大的挑战:癌细胞的“隐身术”。许多肿瘤细胞为了躲避人体免疫系统的追杀,会巧妙地通过下调表面MHC-I(主要组织相容性复合体I类)分子的表达,让自己在T细胞和NK细胞面前变得“不可见”。这种免疫逃逸现象导致了免疫抑制性肿瘤微环境(ITM)的形成,使得许多先进的治疗手段收效甚微。然而,近日南方医科大学喻志强教授团队与新加坡国立大学赵志浩博士合作,在国际顶尖学术期刊《Advanced Functional Materials》上发表了一项震撼研究,他们开发出一种生物降解型“光敏纳米导弹”(PCHM),能够精准靶向并狙击肿瘤,为癌症治疗提供了全新的思路。MedFind作为专注于抗癌资讯与药物服务的平台,将为您深度解读这一前沿科技如何改变抗癌格局。
深度解析:为什么癌细胞能躲过免疫系统的“法眼”?
要理解这项研究的伟大之处,我们首先要明白免疫系统是如何工作的。人体的免疫系统就像一支训练有素的军队,其中T细胞和自然杀杀(NK)细胞是抗击癌细胞的主力军。通常情况下,癌细胞表面会展示一些特定的“指纹”蛋白,即MHC-I分子。T细胞通过识别这些指纹来锁定并摧毁敌人。然而,聪明的癌细胞会主动“卸装”,减少这些分子的表达,从而让T细胞变成了“睁眼瞎”。
不仅如此,肿瘤内部还会形成一个缺氧、高酸性的微环境,这就像是一个防弹堡垒,不仅阻碍了药物的渗透,还抑制了免疫细胞的活性。为了打破这一困局,喻志强教授团队设计的“纳米导弹”应运而生,其核心任务就是揭开癌细胞的伪装,并从内部引爆肿瘤。
什么是PCHM纳米导弹?解密抗癌利剑的构造
这款名为PCHM的纳米导弹,其设计灵感来源于生物学与纳米技术的完美结合。它并不是一种简单的药物,而是一个精密的多功能运输平台。我们可以将其构造形象地理解为四个部分:
- 核心炸药(CaO2纳米颗粒):这是导弹的动力源,在肿瘤的酸性环境下能持续产生氧气(O2)和过氧化氢(H2O2),直接针对肿瘤缺氧的软肋。
- 保护层(聚多巴胺PDA):这层薄膜包裹在核心之外,不仅能保护药物不被过早降解,还能在高谷胱甘肽(GSH)的环境下实现智能释放。
- 精准导航系统(NK细胞膜仿生):研究人员将NK细胞的细胞膜“穿”在纳米导弹外面。由于NK细胞膜上天然携带有NKG2D受体,它能精准识别肿瘤细胞表面的特定信号(NKG2DL),就像带有红外热成像的精确导引头,确保导弹直达病灶。
- 光敏剂(金丝桃素HY):这是一种能被光激活的物质,在激光照射下能产生大量活性氧(ROS),直接杀伤癌细胞。
![[靶向NKG2D] 癌症治疗新突破!纳米导弹精准狙击肿瘤,让免疫逃逸无处遁形 1 纳米导弹研究封面图](https://medfind.link/img/?url=https://img.medsci.cn/images/20260127/337a90b1505f4421a834349d5ddcb98a-miFfxRw1Dx8z.jpg&filename=0994084a0f5f0cf820f737bbeca8a4b0&output=jpg)
通过这种仿生设计,PCHM纳米导弹实现了在肿瘤组织内的高效蓄积。在临床治疗中,这意味着可以用更小的剂量达到更好的治疗效果,同时显著降低对正常组织的毒副作用。
光动力疗法(PDT):不仅仅是杀死细胞,更是激活免疫
这项研究中最令人兴奋的发现之一是:PCHM纳米导弹引发的光动力疗法(PDT)能够“重塑”免疫系统。当患者接受660nm的近红外激光照射后,积聚在肿瘤内的PCHM会产生强烈的氧化应激反应。这种应激不仅直接破坏肿瘤细胞的结构,还激活了细胞内的热休克蛋白相关通路。
关键转折点出现了:这种热休克反应会诱导肿瘤细胞重新表达MHC-I分子。也就是说,原本“隐身”的癌细胞,在PDT的作用下被迫重新带上了“指纹”,重新被T细胞和NK细胞识别。MedFind通过该研究数据发现,这种机制有效地将“冷肿瘤”转变为“热肿瘤”,激活了机体自身的免疫协同作战能力。
精准打击:NKG2D/NKG2DL轴的作用
NKG2D是NK细胞和部分T细胞表面的重要激活受体,而NKG2DL是它在肿瘤表面的配体。通过靶向这一坐标轴,PCHM导弹实现了物理杀伤与免疫调控的双重功能。研究显示,PCHM能诱导线粒体钙超载,从内部瓦解肿瘤细胞的能量工厂,最终导致癌细胞大面积凋亡。
![[靶向NKG2D] 癌症治疗新突破!纳米导弹精准狙击肿瘤,让免疫逃逸无处遁形 2 纳米导弹作用示意图](https://medfind.link/img/?url=https://img.medsci.cn/images/20260127/98f76876bd714c228ad701876411b955-rk2ibewddTPI.jpg&filename=0994084a0f5f0cf820f737bbeca8a4b0&output=jpg)
硬核数据:攻克结肠癌与黑色素瘤的实验实证
在动物实验阶段,PCHM纳米导弹展现出了惊人的战斗力。研究人员分别在结肠癌和黑色素瘤模型上进行了测试。对于结肠癌,PCHM不仅显著抑制了原发肿瘤的生长,更令人惊喜的是,它对远端转移的肿瘤也产生了明显的抑制作用。这意味着,通过在原发病灶进行精准的光免疫治疗,诱导出的免疫记忆能够随着血液循环奔赴全身,去清理那些潜伏的转移癌细胞。
而在针对极其顽固且侵袭性强的黑色素瘤治疗中,PCHM展现了与现有免疫药物的协同潜力。目前临床上,晚期黑色素瘤或结肠癌患者常会接触到诸如**卡博替尼**(查看购买渠道与价格)等靶向药物。该研究表明,如果将PCHM纳米导弹与PD-L1抗体联合使用,治疗效果会发生质的飞跃。这种联合方案不仅能够大幅度缩小肿瘤,还能建立长效的“免疫监视”,防止肿瘤的再次复发。
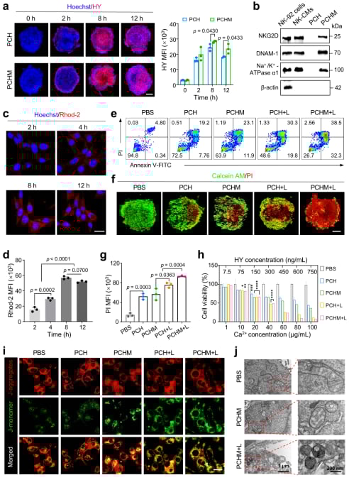
![[靶向NKG2D] 癌症治疗新突破!纳米导弹精准狙击肿瘤,让免疫逃逸无处遁形 3 体外抗肿瘤作用数据](https://medfind.link/img/?url=https://img.medsci.cn/images/20260127/cc65c3c9be45421a9d5794299f2f0c53-reDWLkQKnsU6.jpg&filename=0994084a0f5f0cf820f737bbeca8a4b0&output=jpg)
转录组分析揭秘:从基因层面瓦解敌人
为了探究PCHM到底是如何在细胞内部发挥作用的,研究团队采用了先进的转录组RNA测序技术。结果显示,经过治疗后,肿瘤细胞内与氧化应激、NK细胞细胞毒性相关的通路被显著激活。qPCR实验进一步证实,诱导免疫原性细胞死亡(ICD)相关的基因如Calr、Ccl2,以及热休克相关的Hspa1a表达均大幅上调。这些严谨的科学数据证明,PCHM不仅仅是“炸掉”了肿瘤,更是从基因层面改写了肿瘤微环境的剧本,让原本沉睡的免疫系统彻底觉醒。
副作用管理与未来展望:患者需要知道什么?
虽然这项技术目前还处于实验室研究阶段,但其展示的安全性数据令人期待。由于PCHM采用了生物可降解材料和天然细胞膜,其生物相容性极佳。与传统的化疗相比,这种“精准狙击”模式能够极大减轻患者的痛苦。对于广大患者而言,关注这类前沿科研进展至关重要,因为它们是未来新药开发的风向标。
在目前的临床实践中,免疫检查点抑制剂(如PD-1/PD-L1药物)已经成为标准疗法,但仍有相当比例的患者会出现耐药或无效。喻志强教授团队的这项研究恰恰为这些患者提供了新的思路:通过纳米技术和物理疗法的介入,增强药物的穿透力和免疫激活度,可能是突破耐药瓶颈的关键。
MedFind寄语:连接科学与希望
医学的进步永无止境,每一项实验室里的突破都可能成为未来挽救生命的稻草。MedFind作为一个由癌症患者家属发起的平台,我们深知在漫长的抗癌路上,准确、及时且专业的医疗信息是多么珍贵。从最新的纳米导弹技术到已上市的全球先进药物,我们致力于为您打破信息差,协助您构建海外购药渠道,并提供AI辅助问诊等全方位服务。
如果您或您的家人正在面临治疗困境,或者希望了解更多关于免疫治疗、靶向药物的最新资讯,欢迎通过MedFind平台进行咨询。我们会一如既往地分享抗癌前沿资讯、解读专家共识,陪伴每一位患者勇敢前行,寻找最适合自己的治疗方案。抗癌路上,您并不孤单,MedFind与您并肩作战。
总结
南方医科大学开发的这款PCHM纳米导弹,通过靶向NKG2D/NKG2DL轴并结合光动力疗法,成功破解了肿瘤免疫逃逸的难题。它不仅能通过氧化应激直接杀伤肿瘤,更能通过上调MHC-I表达,召唤T细胞和NK细胞发起猛烈进攻。这一研究不仅在学术界引起了巨大反响,更为临床肿瘤免疫治疗的优化指明了方向。让我们共同期待这一技术能早日进入临床,造福更多癌症患者。
