肝癌,特别是肝细胞癌(HCC),是全球范围内对人类健康造成巨大威胁的恶性肿瘤之一。它不仅是世界癌症相关死亡的第三大“元凶”,更是许多肝硬化患者面临的严峻挑战。当面对复杂多变的病情和琳琅满目的治疗方案时,无数患者和家属常常感到无助和迷茫:哪种治疗方案最适合自己?最新的治疗进展究竟意味着什么?这些都是萦绕心头的巨大疑问。近日,全球肿瘤学领域的顶级期刊《CA: A Cancer Journal for Clinicians》发布了一篇极具里程碑意义的重磅综述《介入肿瘤学:实体瘤消融和栓塞作用的临床实用指南》。这篇由美国德克萨斯大学MD安德森癌症中心介入放射科Mohamed E. Abdelsalam教授团队主导撰写的文献,系统而全面地梳理了以微创、影像引导为核心的局部区域介入治疗——包括“消融”(Ablation)和“栓塞”(Embolization)技术——在肿瘤多学科管理中的发展脉络与最新现状。其中,关于肝细胞癌(HCC)的详尽内容,无疑为临床治疗提供了至关重要的指引。本文将作为您手中的一份权威解读,深度剖析这篇顶尖文献的核心精髓,结合2025年最新发布的治疗指南,为您详细解析肝癌不同分期的介入治疗策略,帮助您清晰理解这些治疗手段的科学原理、确切疗效,以及如何根据自身具体情况,与医生共同做出最明智的治疗决策。在对抗肝癌的漫漫征途中,MedFind愿与您并肩同行,为您点亮更多生存的希望。
肝癌的严峻挑战与介入治疗的崛起
肝细胞癌(HCC)作为最常见的原发性肝癌类型,其发病率和死亡率在全球范围内居高不下,给无数家庭带来了沉重打击。它常常与慢性乙型肝炎、丙型肝炎、酒精性肝病以及非酒精性脂肪肝等引起的肝硬化密切相关。由于肝脏代偿功能强大,肝癌早期症状往往不明显,许多患者在确诊时肿瘤已发展到中晚期,错失了最佳治疗时机。这使得肝癌的治疗充满挑战,也对治疗方案的精准性和有效性提出了更高要求。然而,得益于现代医学影像技术和介入治疗理念的飞速发展,以“介入治疗”为代表的微创疗法,如今已成为肝癌患者抗癌路上的一道新的曙光。介入治疗,顾名思义,是指在先进的影像设备(如CT、超声或DSA数字减影血管造影)的精确引导下,通过皮肤穿刺或血管导管等微创途径,将精密的治疗器械或药物直接、精准地递送到肿瘤病灶区域,从而实现对肿瘤的局部清除、抑制或控制。这种治疗方式相较于传统外科手术,具有创伤小、恢复快、住院时间短、并发症风险较低的显著优势,有效降低了患者的痛苦和风险,如今已成为肝癌多学科综合治疗(MDT)体系中不可或缺的核心组成部分。
小肝癌的“精准打击”:热消融治疗(RFA、MWA)
对于早期发现的肝癌,特别是那些肿瘤直径小于3厘米的“小肝癌”患者而言,能否在疾病早期就实现肿瘤的彻底清除,是决定患者能否获得长期生存、甚至实现临床治愈的关键。因此,选择一种高效、安全的根治性治疗手段至关重要。
1. 热消融:小肝癌的“根治性利器”
“热消融”(Thermal Ablation, TA)是一种利用高热能量来精准杀死肿瘤细胞的局部治疗技术。它的基本原理是:医生在影像引导下,将一根细如发丝的消融针精确地穿刺进入肿瘤内部,然后通过这根针释放高频电流或微波能量,使肿瘤组织在短时间内达到高温(通常在60-100摄氏度),从而导致肿瘤细胞凝固性坏死。对于那些没有发生肝脏以外转移的原发性肝脏恶性肿瘤患者,如果病灶局限在肝脏内部,肝脏局部定向治疗是国际公认的优先选择。特别值得关注的是,对于符合巴塞罗那肝癌临床分期(BCLC)A期标准(即早期肝癌),且肿瘤直径小于3厘米的肝细胞癌(HCC),热消融已被医学界广泛认可为一种具有“根治性”潜力的有效治疗手段。临床数据显示,经过热消融治疗的患者,其“完全缓解率”(Complete Response Rate,指肿瘤完全消失的比例)可达到令人鼓舞的70%至90%。更重要的是,患者的“中位总生存期”(Overall Survival, OS,指从接受治疗开始到一半患者去世的时间)约为60个月,这意味着大部分患者可以获得长达五年甚至更久的生存时间,这对于肝癌患者而言是极大的鼓舞。
2. 射频消融(RFA):与外科切除“旗鼓相当”的微创选择
在诸多热消融技术中,“射频消融”(Radiofrequency Ablation, RFA)是应用历史最久、临床经验最丰富的技术之一。它通过高频电流在肿瘤内部产生离子震荡摩擦生热,形成一个球形或椭圆形的高温坏死区域。多项高质量的随机对照试验(Randomized Controlled Trial, RCT)为RFA的卓越疗效提供了高级别的循证医学证据。例如,一项名为SURF-RCT的研究对比了RFA与传统外科切除(Surgical Resection, SR)对符合“米兰标准”(即单个肿瘤直径不超过3厘米,或最多3个肿瘤且每个直径均不超过3厘米)的小肝癌患者的疗效。研究结果惊人地显示,RFA组与外科切除组的5年总生存率(RFA组为70.4% vs. SR组为74.6%)和无复发生存率(RFA组为42.7% vs. SR组为42.9%)均无统计学上的显著差异,这意味着RFA在长期疗效上与外科手术几乎“旗鼓相当”。更值得注意的是,RFA组患者的严重不良事件(并发症)发生率明显更低,这无疑提高了治疗的安全性,减轻了患者的痛苦。一项综合了8项RCT的Meta分析进一步证实,RFA在总生存期和“无病生存期”(Disease-Free Survival, DFS,指患者在治疗后没有出现疾病进展或复发的时间)上与外科切除并无统计学差异,但在并发症发生率、住院时间、治疗成本以及术后死亡率方面,RFA展现出更为明显的优势,为患者带来了更高的性价比和更低的治疗风险。
3. 微波消融(MWA):拓展消融边界的新利器
除了RFA,“微波消融”(Microwave Ablation, MWA)技术近年来也因其独特的优势而日益普及。MWA利用微波能量直接驱动水分子震荡产热,能够在更短时间内产生更高的温度,形成更大、更均匀的消融范围,并更容易获得充分的消融边界,从而有效降低了肿瘤残留和复发的风险。MWA尤其适合一些体积较大的肿瘤,或靠近大血管、胆管等特殊位置的肿瘤。一项涵盖2622例患者的Meta分析指出,MWA与外科切除在总生存期上同样表现出相当的疗效,而在并发症发生率、术中出血量、手术时间以及住院时间上,MWA的优势更为明显。这进一步提升了介入消融治疗的便捷性和安全性,为患者提供了更多高质量的微创选择。
经动脉治疗家族:TARE、TACE、TAE如何抉择?
当肝癌的病情发展到不适合进行肝移植、外科切除或消融等根治性治疗的阶段时,经动脉治疗就成为早中期肝癌患者,特别是那些病灶局限于肝脏内部但范围较大或数量较多的患者,最为核心和重要的治疗选择。这类治疗的精髓在于,通过将细小的导管精确地送入供应肝脏肿瘤的肝动脉分支,从而将治疗物质直接、高效地输送到肿瘤区域,实现对肿瘤的局部高浓度打击,同时最大程度地保护正常肝组织。
1. TARE:精准放射性微球,延长生存与控制肿瘤的双重保障
“经动脉放射性栓塞”(Transarterial Radioembolization, TARE),又常被称为钇90微球治疗。这是一种高度靶向的内放射疗法。治疗时,医生通过一根极细的导管,将携带放射性同位素钇90的微小玻璃或树脂微球,选择性地、精准地注射到滋养肝脏肿瘤的肝动脉分支中。这些微球会随着血流被肿瘤丰富的血管床捕获,然后永久性地停留在肿瘤内部,持续释放高能量的β射线。这种局部高剂量照射能够高效地杀灭肿瘤细胞,同时由于β射线的穿透距离短(通常只有几毫米),因此能最大限度地保护周围健康的肝组织免受损伤。
现有的大量循证医学证据强烈支持TARE相较于传统的“经动脉化疗栓塞”(Transarterial Chemoembolization, TACE)具有更为优越和持久的肿瘤控制效果。例如,一项名为PREMIERE的随机对照试验表明,对于不适合切除或消融的肝癌患者,接受TARE治疗的患者其“疾病进展时间”(Progress-Free Survival, PFS,指从接受治疗开始到疾病出现进展或患者死亡的时间)显著长于传统TACE组(超过26个月 vs. 仅6.8个月),这意味着TARE能让肿瘤在更长时间内保持稳定,不继续生长。另一项TRACE试验进一步显示,在中期肝细胞癌患者中,TARE在疾病进展时间(17.1个月 vs. 9.5个月)和“总生存期”(OS,30.2个月 vs. 15.6个月)上均展现出明显优于载药微球TACE的优势。这些激动人心的数据明确指出,TARE不仅能更长时间地有效控制肿瘤生长,还能显著延长患者的生命,为患者带来了更为广阔的生存前景。
2. TACE:肝癌介入治疗的经典基石
“经动脉化疗栓塞”(TACE)是肝癌介入治疗中应用最广泛、历史最悠久的经典方法之一。它的原理是:通过导管将化疗药物(如阿霉素、顺铂等)与栓塞剂(如碘油或明胶海绵)混合,然后将这种混合物注入到供应肿瘤的肝动脉中。栓塞剂会阻断肿瘤的血供,导致肿瘤缺血坏死,而化疗药物则在肿瘤局部达到高浓度,直接杀灭肿瘤细胞。这种“饿死+毒杀”的双重打击模式,使得TACE在控制肝癌方面发挥了重要作用。传统的TACE通常使用碘油作为载体,现在也发展出了“载药微球TACE”(Drug-Eluting Bead TACE, DEB-TACE),通过特殊的微球作为载体,可以更精确地控制化疗药物的释放速度和浓度,进一步提高疗效并减少全身副作用。
3. TAE:单纯栓塞的疗效探索
“单纯经动脉栓塞”(Transarterial Embolization, TAE)与TACE在操作方式上类似,但其主要机制是通过栓塞剂(如明胶海绵、聚乙烯醇颗粒等)直接阻断肿瘤的血供,使肿瘤因缺血而坏死,而不额外加入化疗药物。关于TACE与TAE的疗效对比,一项单中心随机对照试验的发现引起了医学界的深思:该研究发现,使用多柔比星载药微球的TACE与单纯微球TAE在“无进展生存期”(PFS)和“总生存期”(OS)上均未显示出统计学上的显著差异。这一结果提示我们,在某些特定的肝癌患者中,额外加入化疗药物可能并未带来明确的额外生存获益,纯粹的血管栓塞作用可能已足够强大,达到控制肿瘤的目的。这也为临床医生在选择治疗方案时提供了更多精细化考量的依据。
TARE的显著疗效与“根治性”潜力
TARE的治疗价值远不止于延长患者的生存期。在特定的早期肝癌患者中,它甚至展现出了可以媲美外科手术的“根治性”潜力,即有望实现肿瘤的完全清除和长期无复发。
近期多项国际研究都强有力地支持了TARE在经过严格筛选的早期肝细胞癌(HCC)患者中的卓越疗效。例如,一项回顾性名为LEGACY的研究对162例诊断为单发性、直径小于8厘米的HCC患者进行了TARE治疗。结果显示,这些患者的“客观缓解率”(Objective Response Rate, ORR,指肿瘤缩小达到一定程度的患者比例,通常包括完全缓解和部分缓解)高达88%,这是一个非常令人鼓舞的数字。患者的“中位缓解持续时间”(Duration of Response, DOR,指从达到缓解到肿瘤再次进展的时间)为11.8个月,而2年“局部无进展生存率”(Local Progression-Free Survival,指局部肿瘤没有进展的比例)更是高达93.9%。这些数据清晰地表明了TARE在精准控制和清除局部肿瘤方面的强大能力。
另一项前瞻性研究报道,对于肿瘤数量不超过3个的HCC患者,TARE治疗后6个月的客观缓解率达到81%,且中位缓解持续时间更是长达惊人的32.7个月。这些数据都强有力地证明了TARE的长期肿瘤控制能力和持久疗效。
更令人振奋的是,多中心前瞻性Doorway研究根据独立的专家中心审查,得出的“最佳客观缓解率”(BORR)高达98.5%,这意味着几乎所有可评估的患者都达到了肿瘤缓解!该研究实现了100%的局部肿瘤控制率,患者的“缓解持续时间”(DOR)中位数超过300天。同时,TARE在安全性方面表现良好,患者的耐受性高,治疗过程中的不良反应可控。

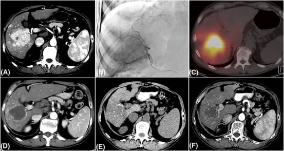
图1 一例接受选择性钇90治疗的HCC患者在2年随访中维持CR
2025最新指南解读:BCLC分期下的介入治疗策略
肝癌的治疗策略并非一成不变,它需要根据每位患者的肝功能状况、肿瘤的大小、数量、位置以及是否有远处转移等多种复杂的临床因素进行综合评估。巴塞罗那肝癌临床分期系统(BCLC分期系统)是国际上公认且广泛采纳的肝癌分期标准,它将肝癌患者分为极早期(0期)、早期(A期)、中期(B期)和晚期(C期),并为每个阶段提供了系统化的、基于证据的治疗推荐。最新的2025年BCLC治疗指南和EASL(欧洲肝脏研究学会)指南,进一步细化和明确了介入治疗在不同分期肝癌中的定位和应用策略,为临床医生和患者提供了更加精准的决策依据。
1. 极早期HCC(BCLC 0期)和早期HCC(BCLC A期):
- 极早期肝癌(BCLC 0期)通常指单个肿瘤直径小于等于2厘米的患者。对于这些患者,如果因各种原因(如年龄、基础疾病、肝功能储备不佳等)不适合进行肝移植或外科切除手术,那么“射频消融”(RFA)或“微波消融”(MWA)被国际指南强烈推荐为一线治疗方案。这两种消融技术能够实现局部肿瘤的彻底清除,为患者争取到最佳的长期生存机会。
- 早期肝癌(BCLC A期)通常指单个肿瘤直径小于等于5厘米,或最多3个肿瘤且每个直径均小于等于3厘米,即符合国际通用的“米兰标准”的患者。如果患者因门静脉高压(肝硬化的常见并发症,增加手术风险)或肝功能不全而不适合外科切除手术,那么消融治疗(RFA或MWA)可以作为一种非常有效且安全的替代选择,同样能够达到根治性效果。
- 此外,对于不适合移植、切除或消融的早期HCC患者,或者那些需要进行“降期治疗”(Downstaging,即将肿瘤缩小,使其符合可移植或可切除的标准)以及正在等待肝移植的患者,“经动脉化疗栓塞”(TACE)和“经动脉放射性栓塞”(TARE)也被指南推荐为有效的治疗手段,以控制肿瘤进展,为后续治疗创造条件。
2. 中期HCC(BCLC B期):
BCLC B期通常指的是肿瘤体积较大或数量较多(如多发性结节),但仍局限于肝脏内部,且患者肝功能相对良好,没有血管侵犯或肝外转移的患者。对于这个阶段的肝癌,治疗的目标是长期控制肿瘤,延长患者生命。最新的研究表明,TARE在延长“疾病进展时间”(PFS)方面表现出优于TACE的明显优势,因此被认为是中期肝癌患者更为优选的治疗方案。然而,并非所有中期肝癌患者都适合TARE,它更适用于那些病变局限于单一肝叶,或者具有足够未受累肝实质的患者。对于这些符合条件的患者,可以考虑接受“根治性剂量”的TARE治疗,以期达到更好的肿瘤控制效果。
3. 晚期HCC(BCLC C期):
BCLC C期通常意味着肿瘤已经扩散到肝脏以外(如淋巴结转移、远处器官转移),或者肝内伴有门静脉癌栓等侵犯性特征。在这个阶段,全身性的“系统治疗”(Systemic Therapy),如靶向治疗(例如酪氨酸激酶抑制剂)和免疫治疗(例如PD-1/PD-L1抑制剂),是国际公认的标准治疗方案。然而,对于那些肝功能良好且系统治疗后疾病能够得到有效控制的晚期患者,TARE仍可作为一种重要的“巩固治疗”选择,以进一步控制肝内病灶,减轻肿瘤负荷。三项独立的、前瞻性临床研究结果显示,即使存在门静脉癌栓(这是晚期肝癌的典型特征,预后通常较差),单纯的TARE治疗仍可获得13-15个月的“中位总生存期”(OS),这对于晚期患者而言,无疑是带来更多生存希望的重要进展。
肝癌治疗的“组合拳”:联合局部治疗与系统治疗
在肝癌的复杂治疗中,单一疗法往往难以应对所有挑战,因此,将多种治疗手段巧妙地结合起来,形成“组合拳”,已成为提高疗效、延长患者生存期的重要策略。
1. 联合局部治疗:1+1>2的协同效应
对于那些肝内病灶分布负荷较广,单一治疗方式难以完全覆盖或控制的患者,医学界鼓励联合使用多种局部治疗手段。例如,可以对肝脏的一侧肝叶进行TARE或TACE治疗,同时对对侧肝叶的局限性病灶进行消融(RFA/MWA)或立体定向放疗(SBRT)。这种多模式、多靶点的局部打击策略,能够更全面地清除肿瘤,减少复发风险。一项回顾性研究证实了这种联合策略的显著优势:TACE联合消融治疗,相较于单纯TACE,能够显著提高患者的3年总生存率(85.3% vs. 47.1%),并且中位总生存期也大幅延长(83.4个月 vs. 33.9个月)。这一数据充分强调了多模式联合局部治疗在提升肝癌疗效中的强大协同作用。
2. TARE的“放射性切除”理念:从姑息走向根治
值得我们特别关注的是,随着技术和理念的进步,TARE的角色已不再仅仅局限于姑息治疗(缓解症状、改善生活质量),而是已经扩展至具有潜在“根治性”的治疗范畴。通过对经过极其严格筛选的局限性肝细胞癌患者(包括BCLC 0-A期及部分B期,且肿瘤适合局部高剂量照射的患者)实施高强度的肝段或肝叶放射性栓塞,医学界称之为“放射性切除”(Radioembolization lobectomy或Radiosurgery-like TARE)。这种治疗策略旨在实现肿瘤的完全且持久清除,其治疗理念与外科手术切除或局部消融的根治目标非常相似,而不再是单纯的姑息治疗、桥接治疗(为等待肝移植争取时间)或降期治疗(使肿瘤缩小,达到可切除或可移植的标准)。
这种以根治为目的的钇90治疗策略,其应用范围也逐步拓展。它同样可以应用于其他恶性肿瘤患者,例如“肝内胆管癌”(iCCA)、“结直肠癌肝转移”(CLM)或其他适合钇90肝段治疗的肝转移瘤,以期在这些复杂的病例中也实现治疗病灶的完全且持久缓解。TARE之所以能够展现出如此强大的根治潜力,得益于先进的剂量学技术在临床中的应用进展,即通过精确计算和规划,使得放射剂量能够最大化地集中于肿瘤内部,同时最大限度地保护正常肝组织。这一策略的有效性已在多项临床研究中得到证实,例如随机前瞻性Dosisphere trial-01研究。此外,从接受TARE治疗后进行肝移植的患者切除标本中,发现了病理学上肿瘤完全坏死的证据,这更是对TARE根治潜力的直接验证。目前,TARE已被广泛用于原发性肝肿瘤的治疗,其中最主要的适应症仍然是肝细胞癌(HCC)。
当然,TARE也可作为一种高效的姑息治疗手段,用于改善患者的“无进展生存期”(PFS)或“肝内无进展生存期”(Intrahepatic PFS),从而延缓疾病进展,提高生活质量。在这类患者中,同样必须应用先进的剂量学技术,即在确保最大化肿瘤照射剂量的同时,最小化正常肝组织的照射剂量,以实现恰当的患者筛选和最优化治疗实施。

图2 HCC推荐的局部区域治疗策略(可联合/不联合系统治疗)
介入治疗:肝癌多学科管理的关键一环
从极早期、早期、中期到晚期肝癌,介入治疗始终在肝癌的整个诊疗过程中扮演着举足轻重的核心角色。它与外科手术、肝移植、系统治疗(包括靶向治疗、免疫治疗、全身化疗)以及放射治疗等多种手段相互配合,共同构建起了一个全面而严谨的肝癌多学科综合诊疗(MDT)体系。在MDT模式下,来自肝胆外科、介入科、肿瘤内科、影像科、病理科等不同专科的资深医生会定期齐聚一堂,共同深入探讨和评估每一位肝癌患者的具体病情,集思广益,优势互补,从而为患者量身定制出最为个体化、最为精准的治疗方案。这种集体智慧的结晶,能够最大化治疗效果,最小化治疗带来的副作用,不仅显著提高了患者的长期生存率,更重要的是,极大地改善了患者的生命质量。MedFind深知肝癌患者和家属在抗癌过程中所面临的巨大挑战、精神压力和对前沿信息的迫切需求。我们不仅仅是一个信息共享平台,更是一个值得信赖的抗癌伙伴。MedFind致力于为全球癌症患者及家属提供权威、及时、专业、易懂的抗癌资讯和诊疗方案。如果您对肝癌的介入治疗策略、全球最新的抗癌药物信息、海外购药渠道,或者希望获得第二诊疗意见有任何疑问,MedFind的AI辅助问诊系统和专业的医学顾问团队随时为您提供最坚实的支持和帮助,让您在抗癌的征途上不再感到孤单,获得真正的安心与希望。
结语:肝癌治疗的希望之路
综上所述,来自全球顶级期刊《CA: A Cancer Journal for Clinicians》的最新综述及其对2025年最新指南的解读,为我们勾勒出了一幅肝癌介入治疗的清晰蓝图。消融治疗,特别是射频消融(RFA)和微波消融(MWA),已被证实是治疗小肝癌安全且高度有效的根治性选择,其卓越的疗效得到了多项高级别临床证据的强力支持。而在经动脉治疗领域,“经动脉放射性栓塞”(TARE)在肿瘤控制的持久性和延长患者总生存期方面,展现出优于“经动脉化疗栓塞”(TACE)的巨大潜力。尤其令人振奋的是,在部分经过严格筛选的患者中,TARE所倡导的“放射性切除”理念,更是彰显了其媲美外科手术的根治性价值。最新的2025年BCLC和EASL指南,进一步巩固了介入治疗在肝癌治疗中的核心地位,并提供了更为精细化、个体化的治疗策略指导。因此,选择何种治疗方案,必须基于患者的BCLC分期、肿瘤的具体特征(如大小、数量、位置)、肝功能储备状况以及多学科团队的专业讨论和评估。介入治疗,作为肝癌多学科管理中不可或缺的重要组成部分,正以其微创、高效、精准的优势,为全球肝癌患者带来更多实现长期生存、提升生活质量的希望与可能。在抗癌的道路上,知识就是力量,选择正确的治疗方案是关键,MedFind愿与您一起,探索更广阔的生命之路。
