当身体出现不明肿块,尤其是医生怀疑可能是肿瘤时,患者和家属的心情无疑是焦虑和担忧的。在肾脏周围,有一种非常罕见的良性肿块,叫做肾周脂肪黏液性假瘤(Perinephric Myxoid Pseudotumor of Fat, 简称PMPF)。它虽然是良性的,预后良好,但由于其在影像学和病理学上与一些恶性肿瘤,特别是脂肪肉瘤,有着惊人的相似性,常常导致误诊,给患者带来不必要的心理负担和过度治疗。那么,我们该如何准确识别这种“伪装者”呢?基因检测,特别是对MDM2、CDK4和DDIT3基因的检测,正成为鉴别PMPF与恶性脂肪肉瘤的关键“金标准”。
MedFind致力于为广大癌症患者和家属提供最新、最权威的医学资讯,帮助大家在复杂多变的疾病面前,保持清醒的头脑,做出最明智的决策。今天,我们就来深入了解PMPF,以及基因检测如何帮助我们拨开迷雾,精准诊断。
肾周脂肪黏液性假瘤(PMPF):一种容易被误解的“良性肿块”
肾周脂肪黏液性假瘤(PMPF)顾名思义,是发生在肾脏周围脂肪组织中的一种特殊病变。它不是真正的肿瘤,而是一种由黏液性脂肪组织、梭形至星形基质细胞以及不同程度的炎症细胞(如淋巴细胞、浆细胞)浸润构成的罕见腹膜后肿块。自2009年首次被描述以来,全球报道的病例非常少,这使得医生对它的认识有限,诊断难度也随之增加。
值得注意的是,PMPF通常与一些慢性肾脏疾病密切相关,如慢性肾功能不全、终末期肾病、狼疮性肾炎、慢性肾盂肾炎和糖尿病等。研究发现,超过一半的PMPF患者都伴有慢性肾脏病。这提示我们,长期的肾脏炎症或慢性刺激可能在PMPF的发生发展中扮演了重要角色,因为它可能刺激肾周脂肪组织内的成纤维细胞和肌成纤维细胞增殖,从而形成这种特殊的病变。尽管PMPF预后良好,但其“伪装”能力极强,常常让病理医生也感到困惑。
为什么PMPF的诊断如此棘手?——与恶性肿瘤的“相似之处”
影像学检查的局限性
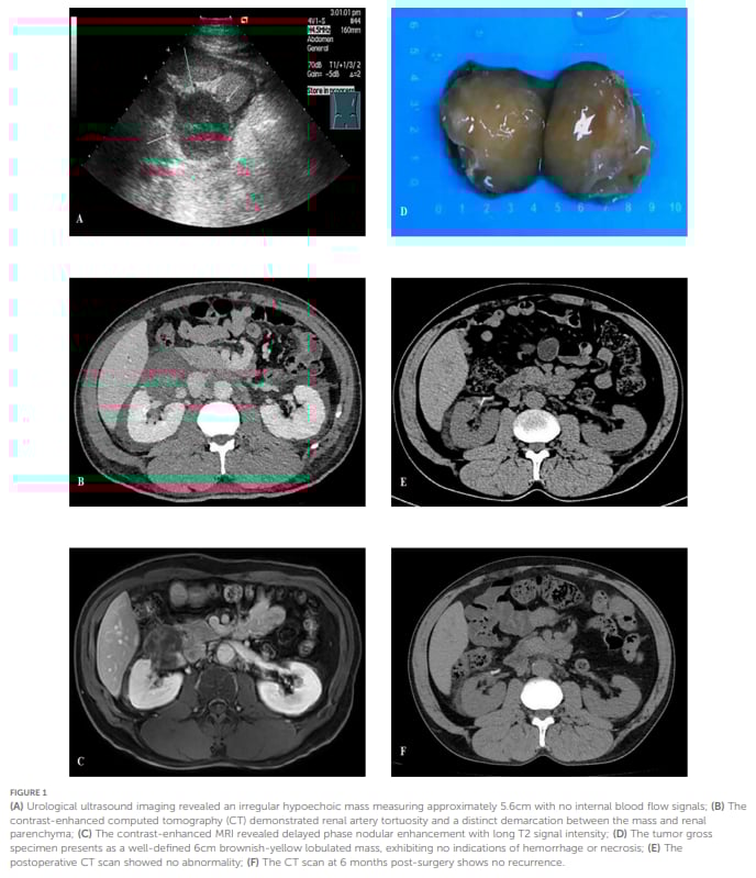
当患者因体检或症状发现肾周肿块时,通常会进行超声、CT或MRI等影像学检查。然而,PMPF在影像学上表现多样,有时边界清晰,有时又可能出现不规则强化,这些特征与一些恶性肿瘤(如肾细胞癌、脂肪肉瘤)的影像学表现存在重叠。例如,本案例中的患者,最初的超声和CT检查提示右肾下内侧存在肿块,增强MRI甚至显示为Bosniak IV型复杂囊肿,这在临床上往往意味着高度怀疑恶性病变。仅仅依靠影像学,很难给出明确的良恶性判断。
病理学鉴别诊断的难点
最终确诊往往需要通过手术切除或穿刺活检获取组织样本进行病理学检查。然而,在显微镜下,PMPF的组织形态也可能与多种良恶性病变混淆,包括:
- 良性病变:血管平滑肌脂肪瘤(AML)、肾脂肪瘤、髓质脂肪瘤、腹膜后纤维瘤病、IgG4相关性肾病等。这些病变各有其独特的组织学特征和免疫组化标记,需要经验丰富的病理医生仔细鉴别。
- 恶性病变:其中最关键、最容易混淆的,就是脂肪肉瘤(Liposarcoma)。脂肪肉瘤是一种恶性软组织肿瘤,根据分化程度和组织学特征可分为高分化脂肪肉瘤(Well-Differentiated Liposarcoma, WDLPS)、去分化脂肪肉瘤(Dedifferentiated Liposarcoma, DDLS)和黏液样/圆形细胞脂肪肉瘤等。PMPF在形态上,特别是当存在异型细胞和黏液基质时,可能与高分化脂肪肉瘤非常相似。
更具挑战性的是,在病理免疫组化染色中,MDM2蛋白有时会在PMPF的非肿瘤细胞(如成纤维细胞、浆细胞和组织细胞)中出现弱阳性反应,这被称为“假阳性”。这种假阳性反应,尤其是在穿刺活检样本量有限的情况下,极易导致病理医生误诊为高分化脂肪肉瘤,从而给患者带来巨大的心理压力,甚至可能导致不必要的扩大手术或放化疗。
基因检测:MDM2、CDK4、DDIT3——鉴别PMPF与脂肪肉瘤的“金标准”
面对PMPF与恶性脂肪肉瘤的“伪装”难题,传统的影像学和病理形态学检查有时力不从心。这时,分子层面的基因检测就显得尤为重要,它能提供更精准、更客观的诊断依据,成为鉴别这两种疾病的“金标准”。
MDM2和CDK4基因扩增:恶性脂肪肉瘤的“指纹”
MDM2和CDK4是两个在细胞周期调控中发挥关键作用的基因。它们的异常扩增(即基因拷贝数增加)是诊断非典型/高分化脂肪肉瘤(WDLPS)和去分化脂肪肉瘤(DDLS)的特异性分子标志。这意味着,如果一个肾周肿块被怀疑是脂肪肉瘤,通过荧光原位杂交(FISH)等技术检测到MDM2和/或CDK4基因的扩增,就能基本确诊为恶性脂肪肉瘤。
反之,如果基因检测结果显示MDM2和CDK4基因没有扩增,那么这个肿块是高分化脂肪肉瘤的可能性就大大降低了。这对于鉴别PMPF至关重要,因为PMPF作为良性病变,通常不会出现MDM2和CDK4基因的扩增。本案例中的患者,正是通过基因检测证实MDM2和CDK4基因无扩增,才最终排除了脂肪肉瘤的诊断。
DDIT3基因断裂:黏液样脂肪肉瘤的“信号”
除了MDM2和CDK4,DDIT3基因(也称为CHOP基因)的变异,特别是DDIT3基因断裂(通常是CHOP/FUS融合),是诊断黏液样/圆形细胞脂肪肉瘤的特有分子特征,在超过95%的病例中都能检测到。因此,如果怀疑是黏液样脂肪肉瘤,检测DDIT3基因的断裂情况也能提供明确的诊断依据。同样,PMPF患者不应出现DDIT3基因的断裂。
通过MDM2、CDK4基因扩增和DDIT3基因断裂这三个关键分子标志的检测,医生可以在分子层面明确区分PMPF与各种类型的脂肪肉瘤,从而避免误诊,为患者制定正确的治疗方案。
中国首例PMPF病例:基因检测如何“拨乱反正”
本文报道的中国首例肾周脂肪黏液性假瘤病例,充分展现了基因检测在精准诊断中的决定性作用。这名54岁男性患者,因右肾下内侧肿块入院,影像学检查提示复杂性囊肿,无法排除恶性。手术切除后,初步病理检查显示部分细胞存在异型性,免疫组化MDM2呈阳性,初步考虑为高分化脂肪肉瘤。
面对这一结果,患者和家属无疑承受着巨大的心理压力。然而,后续的基因检测结果却“拨乱反正”:MDM2基因、CDK4基因无扩增,DDIT3基因无断裂。这一结果与初步诊断明显不符。经过上级肿瘤专科医院的病理会诊和基因检测复核,最终结合所有证据,明确诊断为肾周脂肪黏液性假瘤。术后6个月的随访显示患者临床疗效良好,无复发迹象。这个案例不仅填补了中国PMPF病例报告的空白,更以实际行动证明了基因检测在鉴别诊断这种罕见病变中的不可替代性。



▲图1 影像学和手术标本结果

▲图2 HE染色和免疫组织化学结果

▲图3 本文案例时间线

▲表1 所有已报道的肾周脂肪黏液性假瘤病例的临床病理特征
MedFind提醒您:面对肾周肿块,精准诊断是关键
肾周脂肪黏液性假瘤(PMPF)虽然罕见,但其良性本质和良好的预后,与恶性脂肪肉瘤的严重后果形成了鲜明对比。因此,在面对肾周肿块时,精准的鉴别诊断显得尤为重要。这不仅能避免患者承受不必要的心理压力,更能避免因误诊而导致的过度治疗,如不必要的扩大手术、放化疗等。
MedFind始终关注前沿医学进展,致力于为患者和家属提供最及时、最准确的疾病信息和治疗方案。我们深知,在抗癌的道路上,信息就是力量,精准诊断是第一步。如果您或您的家人正面临肾周肿块的诊断困境,请务必与您的主治医生充分沟通,并积极了解包括基因检测在内的先进诊断手段。必要时,寻求多学科会诊或上级医院的病理复核,确保诊断的准确性。
MedFind不仅提供权威的抗癌资讯和药物信息,还提供AI辅助问诊等服务,希望能成为您抗癌路上的坚实后盾。记住,科学的诊断是战胜疾病的第一步,我们与您同在,共同守护健康!
