乳腺癌,尤其是年轻女性罹患乳腺癌,对患者及其家庭而言无疑是巨大的打击。然而,随着医学的不断进步,特别是靶向治疗和新型药物的问世,即使面对多次复发转移,患者依然有机会获得长期生存和良好的生活质量。今天,我们将通过一个真实案例,深入探讨一位28岁年轻女性在长达12年的抗癌历程中,如何与HER2阳性乳腺癌抗争,并在多学科诊疗(MDT)和创新药物的帮助下,一次次战胜病魔,甚至实现了生育梦想,最终迎来新的生机。这个案例不仅展现了现代医学的强大力量,也为广大癌症患者和家属带来了希望与启示。
一、乳腺癌基础知识:了解您的“敌人”
在深入了解这位患者的抗癌故事之前,我们先来普及一些乳腺癌的基础知识,这有助于我们更好地理解后续的治疗方案和挑战。
1. 什么是乳腺癌?
乳腺癌是发生在乳腺腺上皮组织的恶性肿瘤。它是女性最常见的恶性肿瘤之一,发病率在全球范围内呈逐年上升趋势。乳腺癌的发生与多种因素有关,包括遗传、内分泌、生活方式等。早期发现和规范治疗是提高治愈率的关键。
2. 什么是HER2阳性乳腺癌?
乳腺癌根据其分子分型,可以分为多种类型。其中,HER2阳性乳腺癌是指癌细胞表面HER2(人表皮生长因子受体2)蛋白过度表达。HER2是一种生长因子受体,正常情况下参与细胞的生长和分化。但当其过度表达时,会促进癌细胞的快速增殖和转移,因此HER2阳性乳腺癌通常被认为是一种侵袭性较强的类型。然而,好消息是,针对HER2靶点的药物(即HER2靶向治疗)效果显著,能精准打击癌细胞,显著改善患者的预后。
3. 什么是ER/PR阳性?
除了HER2,雌激素受体(ER)和孕激素受体(PR)也是乳腺癌分型的重要指标。ER阳性或PR阳性意味着癌细胞的生长受到雌激素或孕激素的刺激。这类患者通常对内分泌治疗敏感,通过阻断激素作用,可以有效抑制癌细胞的生长。
4. MDT(多学科诊疗)的意义
MDT,即多学科诊疗,是指由肿瘤内科、外科、放疗科、病理科、影像科等多个科室的专家共同讨论,为患者制定最优化、个体化的治疗方案。对于复杂的癌症病例,特别是像本案例中多次复发转移的患者,MDT能够集思广益,避免单一学科的局限性,确保患者获得最全面、最前沿的治疗建议。
二、12年抗癌路:一位年轻患者的诊疗历程深度解析
这位患者初诊时年仅28岁,被诊断为左乳浸润性导管癌,免疫组化结果显示ER(+),PR(-),HER2(3+),Ki-67(60%),属于HER2阳性乳腺癌中的腔面B型,分期为IIIA期。她的抗癌之路,充满了挑战与希望。
1. 初诊与早期规范治疗(2013-2015)
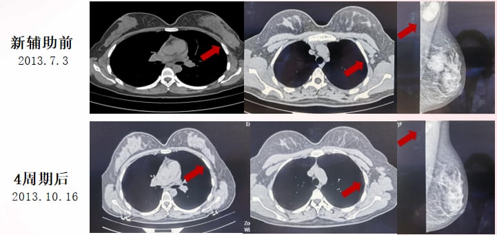
2013年7月,患者因发现左乳肿物10月余就诊。在MDT团队的指导下,她接受了规范的新辅助化疗(TAC方案4周期),取得了部分缓解(PR)。随后进行了左乳癌局部广切+左腋下淋巴结清扫手术。术后病理证实为浸润性导管癌,腋窝淋巴结有转移(9/13)。
术后辅助治疗包括:
- 辅助化疗:继续TAC方案2周期。
- 内分泌治疗:口服他莫昔芬。值得注意的是,由于患者年轻,存在生育需求,她在治疗期间曾间断服药。
- 放疗:左侧乳房及锁骨上下区三维适形放疗。
此后,患者定期复查,病情稳定。这段早期的规范治疗为她争取了宝贵的无病生存期(DFS)。


2. 第一次复发与生育挑战(2015-2022)
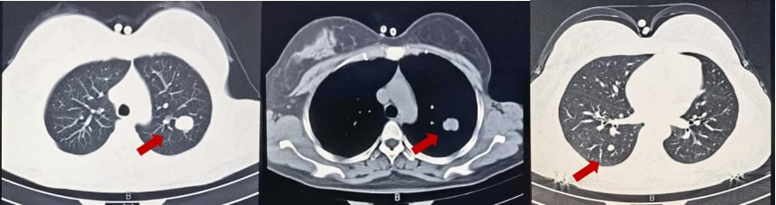
不幸的是,在无病生存24个月后,2015年7月,患者出现第一次复发,胸部CT显示右肺及左肺上叶、胸膜下多发软组织结节,考虑转移。头颅CT、骨扫描、腹部CT未见明显异常。BRCA基因检测未发现明确致病突变。
面对复发,患者接受了以下治疗:
- 解救化疗:GP方案(吉西他滨+顺铂)4周期,但因出现III-IV度骨髓抑制,调整为吉西他滨单药化疗2周期。
- 一线维持治疗:戈舍瑞林(卵巢功能抑制剂)+来曲唑(芳香化酶抑制剂)进行内分泌治疗,疗效评价为部分缓解(PR)。
在内分泌维持治疗期间,患者的生育意愿强烈。她曾两次自行停药妊娠,并成功剖腹产下两个孩子。这种在治疗与生活质量之间寻求平衡的勇气令人动容,但也反映出医患沟通的重要性。尽管治疗依从性欠佳,但每次复发后,患者仍会积极寻求医疗帮助,说明她对生命和治疗的渴望。



3. 第二次复发与靶向治疗的介入(2022-2023)
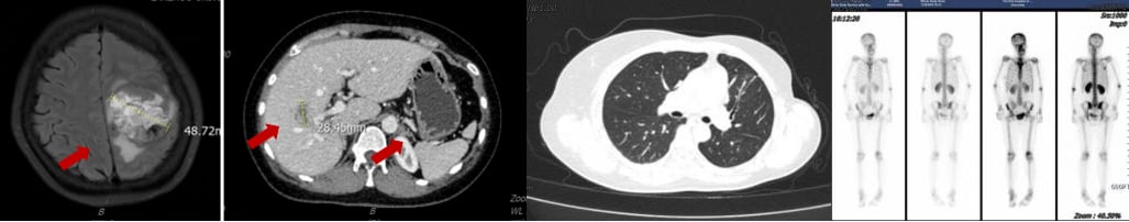
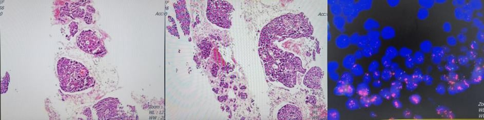
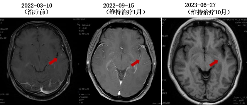
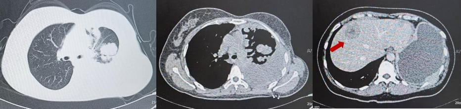
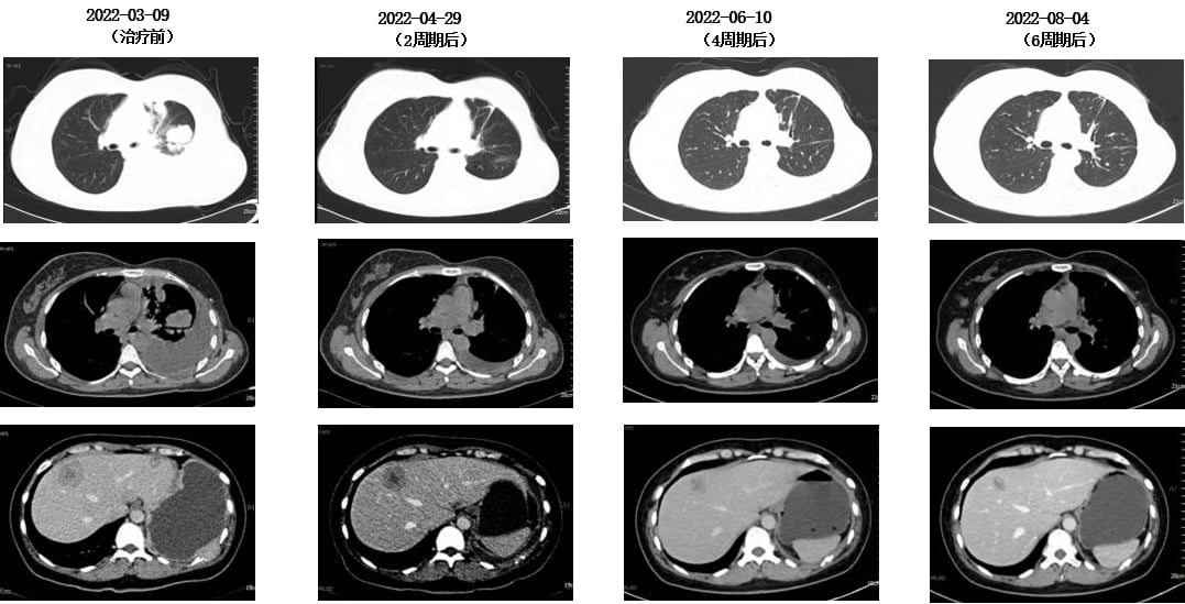
在无进展生存(PFS)长达6年8个月后,2022年2月,患者再次出现胸闷、气短、乏力等症状。影像学检查显示,疾病进展为肝、骨、肺、胸膜、脑多发转移,并伴有左侧胸腔积液。肝穿刺活检病理证实为转移性低分化腺癌,免疫组化提示ER高表达,HER2(2+),FISH检测显示HER2扩增,再次明确为HER2阳性乳腺癌。
此时,曲妥珠单抗(一种经典的HER2靶向药)已纳入医保,为患者带来了新的希望。MDT讨论后,患者接受了以下解救治疗:
- 靶向联合化疗:TCbH方案(曲妥珠单抗+白蛋白结合型紫杉醇+卡铂)4周期,随后TH方案(曲妥珠单抗+白蛋白结合型紫杉醇)2周期。
- 骨转移治疗:定期静脉注射唑来膦酸,并口服碳酸钙D3片和骨化三醇进行补钙。
令人惊喜的是,治疗后患者疗效评价为部分缓解(PR),特别是颅内病灶达到了完全缓解(CR),且长期无症状。这充分证明了HER2靶向治疗的强大效果,即使是脑转移这种棘手的情况,全身治疗也能取得显著成效。随后,患者进入维持治疗阶段,使用氟维司群+曲妥珠单抗+戈舍瑞林,病情持续稳定。








4. 第三次复发与ADC药物的探索(2023-2024)
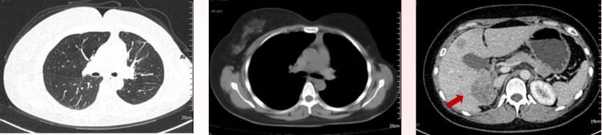
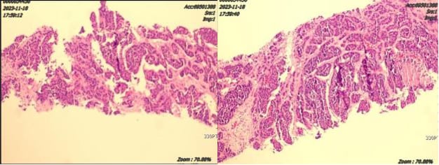
2023年11月,患者再次出现疾病进展,胸腹部CT显示肝内多发软组织肿物较前明显增多增大。肝穿刺活检病理再次确认转移性低分化腺癌,HER2(3+)阳性。
此时,患者入组了一项III期临床研究,比较FS-1502和T-DM1(恩美曲妥珠单抗)在HER2阳性不可手术切除的局部晚期或转移性乳腺癌患者中的疗效和安全性。她被随机分配到对照组,接受了14周期的恩美曲妥珠单抗治疗。恩美曲妥珠单抗是一种抗体-药物偶联物(ADC),它像一个“精准制导的化疗药”,通过抗体部分识别并结合癌细胞表面的HER2蛋白,然后将化疗药物精准地输送到癌细胞内部,减少对正常细胞的损伤。治疗后,患者肝功能异常I-II级,无骨髓抑制,疗效评价为部分缓解(PR)。临床试验不仅为患者提供了前沿治疗机会,也大大减轻了经济负担。




5. 第四次复发与小分子靶向药(2024)
2024年9月,患者再次出现疾病进展,肝门部及S4段转移灶较前增大。MDT后,患者接受了吡咯替尼+卡培他滨的治疗方案。吡咯替尼是一种口服的小分子酪氨酸激酶抑制剂(TKI),能够同时抑制HER1、HER2和HER4,阻断癌细胞的信号通路。卡培他滨则是一种口服化疗药物。此方案胃肠道反应I级,骨转移继续给予唑来膦酸和补钙治疗。


6. 第五次复发与新一代ADC药物的突破(2025至今)
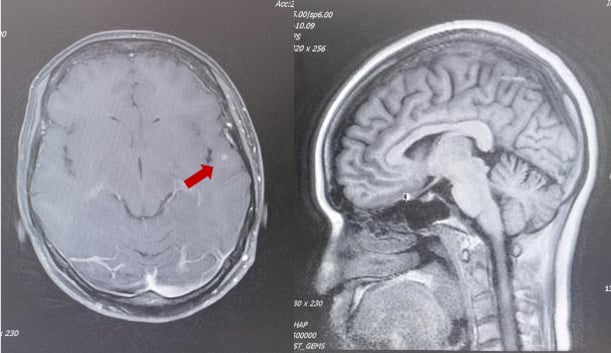
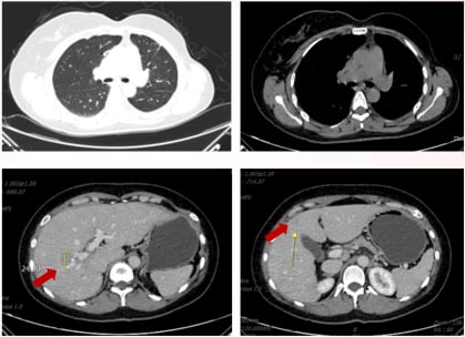
2025年2月,患者再次出现疾病进展,头颅MR显示左侧额顶叶异常强化软组织肿物,伴周围脑组织水肿,考虑脑转移。胸腹部CT显示肝脏病灶增大。
面对脑转移的再次出现,MDT团队决定启用新一代ADC药物——T-DXd(德曲妥珠单抗)。德曲妥珠单抗是目前HER2阳性乳腺癌治疗领域的一颗“新星”,它具有更高的药物抗体比(DAR),即每个抗体携带更多的化疗药物分子,同时具有“旁观者效应”,可以杀死周围未表达HER2的癌细胞。这使得它在治疗HER2低表达和脑转移方面展现出卓越的疗效。
患者接受了11周期的德曲妥珠单抗治疗。仅仅2周期后,患者右下肢无力症状明显好转;4周期后,右下肢肌力恢复,ECOG评分达到0分(意味着完全正常活动)。治疗过程中,骨髓抑制I-II度,胃肠道反应I度,未见间质性肺炎等严重副作用。影像学复查显示,疗效评价为部分缓解(PR)。这再次证明了创新药物在多线治疗失败后,仍能为患者带来显著的生存获益和生活质量改善。




三、专家MDT讨论与启示:多维度思考患者管理
对于这位年轻患者的漫长抗癌历程,多位专家进行了深入讨论,为我们提供了宝贵的临床思考。
1. 年轻患者的特殊性与挑战
兰州大学第一医院乳腺科马大昌教授指出,患者初诊时仅28岁,且存在乳腺癌家族史。年轻患者往往面临更强的治疗意愿、更高的生活质量要求以及生育需求。本案例中,患者两次停药生育,虽然在医学上存在风险,但也体现了她对生命意义的独特理解。这提醒我们,在患者管理中,除了关注疾病本身,更要充分考虑患者的个体需求和心理状态,加强医患沟通,共同制定符合患者价值观的治疗计划。
2. HER2阳性乳腺癌的治疗敏感性与合理决策
兰州大学第一医院肿瘤内科赵成鹏教授强调,该患者为三阳性乳腺癌(ER+/PR-/HER2+),对HER2靶向治疗和内分泌治疗均表现出高度敏感性。尽管初期因经济原因未能接受抗HER2治疗,但内分泌治疗仍取得良好疗效。后续根据指南,依次采用抗HER2一线、二线治疗及ADC药物,均获得持续治疗反应。这表明,即使在疾病进展后,只要治疗策略合理,靶向药物选择得当,患者仍能获得显著的生存获益。
赵教授还提到,最新研究提示三阳性乳腺癌的预后可能优于单纯HER2阳性型,且当ER高表达时,基因分型更倾向于Luminal A/B。这与传统认知存在差异,提示我们对乳腺癌的分子分型和治疗策略需要更深入的理解和个体化考量。
3. 脑转移的治疗策略:全身治疗优先
对于脑转移这一棘手问题,专家们一致认为,在全身系统治疗有效控制病灶的情况下,可暂缓局部放疗以避免神经毒性。本案例中,患者通过曲妥珠单抗和德曲妥珠单抗等药物,成功控制了脑转移,甚至实现了颅内病灶的完全缓解。这有力地证实了“全身治疗优先”策略的可行性。建议仅在后续全身治疗失败或出现局部进展时,才考虑放疗干预。
4. 临床试验与医保的重要性
兰州大学第一医院乳腺科武君教授指出,医保以及临床试验的介入,在很大程度上帮助患者在临床治疗选择和生存获益上实现了质的飞跃。例如,曲妥珠单抗纳入医保,以及患者通过参与临床试验获得恩美曲妥珠单抗治疗,都极大地减轻了经济负担,并使其有机会接触到最前沿的创新药物。这对于普通患者而言,是获取先进治疗的重要途径。MedFind致力于分享最新的抗癌资讯和抗癌药物信息,并努力帮助患者朋友构建海外购药渠道,让更多患者有机会获得这些改变生命的药物。
5. 患者依从性与医患沟通
马大昌教授再次强调了患者依从性问题。虽然患者在内分泌治疗期间间断服药,甚至自行停药生育,但每次出现问题时仍会寻求医生帮助。这提醒医务人员,在面对年轻患者的特殊需求时,应加强沟通,充分理解患者的顾虑和愿望,共同制定更具人性化和可行性的治疗方案,以提高患者的治疗依从性。
四、未来治疗展望与MedFind的价值
尽管这位患者的抗癌之路充满挑战,但每次都能在MDT团队的指导下,通过合理的治疗方案和创新药物获得新生。这为我们带来了以下启示和展望:
1. 创新药物是延长生命的关键
从传统的化疗、内分泌治疗,到HER2靶向治疗(曲妥珠单抗),再到新一代ADC药物(恩美曲妥珠单抗、德曲妥珠单抗),每一次药物的更新都为患者带来了更长的生存期和更好的生活质量。特别是德曲妥珠单抗在脑转移治疗中的卓越表现,为HER2阳性乳腺癌患者,尤其是伴有脑转移的患者,提供了新的希望。
2. 个体化治疗是未来方向
每位患者的病情都是独特的,MDT团队的讨论和个体化治疗方案的制定至关重要。未来,随着基因检测和分子分型技术的进一步发展,医生将能更精准地为患者选择最有效的治疗方案。
3. 积极探索新型治疗方案
对于多线治疗后仍进展的患者,专家们建议可以探索CDK4/6抑制剂联合抗HER2内分泌方案,或继续参与新型ADC药物的临床研究。这些前沿的治疗手段有望进一步延长患者的生存期。
4. MedFind:您的抗癌路上的可靠伙伴
在漫长而复杂的抗癌旅程中,获取及时、准确的药物信息和治疗方案至关重要。MedFind作为一个由癌症患者家属发起的平台,致力于为广大患者提供最新的抗癌资讯和药物信息。我们深知患者和家属的焦虑与困惑,因此我们不仅分享前沿的医学知识,更努力帮助患者朋友构建海外购药渠道,提供抗癌药品代购与国际直邮服务,让您能够更便捷地获取到国内外最新的、有效的抗癌药物。此外,我们的AI辅助问诊服务也能为您提供初步的专业咨询,帮助您更好地理解病情和治疗选择。在抗癌的道路上,MedFind愿与您携手同行,为您提供专业、温暖、客观、坚定的支持。
