国际顶尖医学期刊的最新洞察:2025年12月《Nature》研究亮点解读
对于正在与癌症、慢性病毒感染或神经退行性疾病抗争的患者及其家属而言,每一次国际顶尖期刊如《Nature》发布的研究成果,都可能预示着未来治疗方向的重大转变。2025年12月,一系列重磅研究揭示了从细胞层面到器官系统的突破性发现,尤其在癌症演化、免疫系统调控以及HIV功能性治愈方面,提供了令人振奋的新思路。
本文旨在将这些复杂的科学发现转化为患者易于理解的信息,帮助您了解国际前沿的医学进展,为未来的治疗选择和药物获取提供参考。我们重点关注与癌症和免疫功能相关的突破,包括肿瘤耐药机制、免疫系统老化干预以及HIV治愈策略的最新进展。
癌症与免疫治疗前沿:破解肿瘤演化与免疫衰老
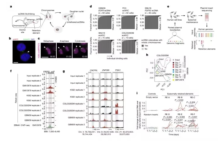
1. 肿瘤演化最隐蔽的推手:染色体外DNA(ecDNA)的“搭便车”机制
在癌症治疗中,靶向治疗的出现极大地提高了患者的生存率,但癌细胞惊人的演化能力和耐药性始终是临床上的巨大挑战。近年来,科学家们将目光投向了一种名为染色体外DNA(ecDNA)的环状基因片段。ecDNA不属于正常的染色体结构,但它能够携带致癌基因,并驱动肿瘤快速恶性进展和对药物产生耐药。
研究表明,约17.1%的肿瘤中含有ecDNA,且在患者接受化疗或靶向治疗后,ecDNA的比例往往会显著上升。携带ecDNA的肿瘤不仅更容易转移,患者的总体生存率也更低。然而,ecDNA缺乏着丝粒(染色体分裂时被牵引的结构),按理说在细胞分裂时很容易丢失,但它们却能稳定地传递给下一代癌细胞,这一机制长期以来是个谜团。
斯坦福大学等机构在《Nature》上发表的研究,终于揭示了ecDNA如何在细胞分裂中“搭便车”的秘密。研究发现,癌细胞竟然盗用了维持细胞身份记忆的天然机制,让ecDNA在分裂期与染色体“亲密接触”,从而被稳定分配。这就像没有站点的公交车,乘客却总能挤上车。理解ecDNA的这种“抓附”机制,为开发针对肿瘤快速演化的新型药物提供了全新的靶点。对于正在经历靶向药耐药的癌症患者来说,这一发现预示着未来可能出现针对这种隐蔽耐药机制的治疗方案。

识别出促进附加体DNA保留的遗传元件。
2. 老年免疫系统“重启”:mRNA肝脏编程术恢复T细胞功能
随着年龄增长,免疫系统会逐渐衰老,即“免疫衰老”。这不仅导致老年人更容易感染,也是癌症发病率随年龄显著上升的重要诱因。老年人对疫苗的应答普遍较弱,抗癌免疫疗法的效果也可能打折扣。
免疫系统的“特种兵”——T细胞,主要在胸腺中发育成熟。但从成年早期开始,胸腺会逐渐萎缩(胸腺退化),导致新生T细胞产量锐减,T细胞库多样性下降。如何“重启”老化的免疫系统,是医学界的前沿热点。
麻省理工学院(MIT)张锋团队在《Nature》上发表的研究带来了突破性进展。他们发现,通过向肝脏递送特定的mRNA,可以成功在老年小鼠体内重建“临时胸腺工厂”。这种“肝脏编程术”能够让肝脏分泌多种细胞因子,显著提升T细胞的数量与功能,甚至增强了抗癌免疫疗效。
这项研究展现了mRNA技术在系统免疫调控中的巨大潜力,为抗衰老免疫干预提供了全新思路。如果能成功应用于临床,未来老年癌症患者可能通过这种方式提升自身免疫力,从而更好地应对感染,并增强免疫检查点抑制剂等抗癌疗法的效果。对于寻求国际前沿治疗方案的患者,了解此类新兴技术的发展至关重要。如果您对国际最新的免疫疗法或药物获取渠道有疑问,可以参考MedFind AI辅助问诊服务,获取个性化的信息解读。

通过肝脏重构下降的T细胞信号因子来恢复衰老中的免疫功能信号
HIV功能性治愈的里程碑:从CCR5纯合到杂合的突破
尽管HIV感染者可以通过抗逆转录病毒治疗(ART)有效控制病毒,但实现停药后长期缓解或功能性治愈一直是科学界追求的终极目标。历史上,少数几例成功的“治愈者”都依赖于一个极其罕见的条件:接受了携带CCR5Δ32纯合突变(即两个拷贝都突变)的造血干细胞供体移植,该突变能天然阻断HIV入侵T细胞的“通道”。
1. T细胞“特种兵”的特质:长期控制HIV的关键
麻省总医院等机构的研究揭示了为何有些人接受广谱中和抗体(bNAb)治疗并停用ART后能长期控制HIV,而有些人却不行。关键在于患者自身的CD8+ T细胞的质量。
研究发现,那些“停药控制者”的CD8+ T细胞具备更强的增殖能力、更好的“记忆干细胞”表型,以及对HIV感染细胞更高的杀伤活性。更重要的是,这些优质的免疫特征在治疗前就已存在,bNAb疗法更像是“激活”了这些“特种兵”,而非创造了它们。这一发现强调了宿主免疫反应的质量在实现长期缓解中的决定性作用,为未来通过免疫疗法增强T细胞功能、实现更广泛的HIV功能性治愈提供了方向。

2. 第七位HIV“治愈者”:杂合CCR5Δ32干细胞移植的意义
此前,科学界普遍认为HIV治愈必须依赖CCR5Δ32纯合供体。然而,德国柏林夏里特医学院等机构报道的全球第七例长期HIV停药缓解患者(被称为“第二柏林病人”)彻底打破了这一“黄金标准”。
这位患者因罹患急性髓系白血病(AML)而接受了异体造血干细胞移植。由于未能找到纯合供体,医疗团队最终选择了一位仅携带单拷贝CCR5Δ32突变的杂合供体。移植三年后,患者停用ART,截至研究报道时,已保持超六年血浆HIV RNA检测阴性,体内未发现具备复制能力的病毒储存库。
这一突破性案例表明,HIV缓解不再完全依赖CCR5缺失,更广泛的免疫机制(如移植后发生的移植物抗白血病/病毒效应,GvL/GvH)或可实现病毒清除。这标志着HIV治愈策略的关键“概念转变”,意味着未来造血干细胞移植在治疗血液肿瘤合并HIV感染时,拥有了更广泛的供体选择。对于需要进行干细胞移植的血液肿瘤患者,这一信息具有重要的临床指导意义。
神经科学与再生医学的重大进展
除了癌症和免疫学,12月的《Nature》也带来了神经退行性疾病和再生医学领域的关键突破,这些研究同样为改善患者生活质量带来了希望。
1. 阿尔茨海默病诊断新希望:血浆pTau217的早期预警价值
阿尔茨海默病(AD)是全球面临的重大健康挑战,但由于诊断手段有限(如昂贵的PET扫描或侵入性的腰椎穿刺),其真实患病率,尤其是在高龄人群中,长期被低估。
伦敦国王学院等机构的研究首次通过大规模人群研究揭示,利用简单的血液检测——检测血浆中磷酸化tau蛋白(pTau217)水平,可以作为阿尔茨海默病神经病理改变(ADNC)的生物标志物。研究分析了超过1万份血液样本,结果令人惊讶:ADNC的患病率随年龄显著上升,在90岁以上人群中,这一比例飙升至65.2%,远超以往估计。
这项研究证实了pTau217血液检测作为非侵入性、高准确度早期筛查工具的巨大潜力。未来,通过一滴血就能实现AD的早期预警和精准干预,将极大地改变痴呆症的评估和治疗模式。

不同年龄组血浆中pTau217的浓度
2. 成年大脑的“记忆稳定器”:星形胶质细胞与CCN1蛋白
成年人的大脑神经回路趋于稳定,可塑性降低,这使得脑损伤(如卒中)或神经退行性疾病(如阿尔茨海默病)后的修复变得困难。如何“重启”成年大脑的可塑性,是神经科学的热点。
美国索尔克研究所的科学家们发现,大脑中数量远超神经元的星形胶质细胞,并非仅仅是“后勤部队”,它们更是成年大脑神经回路的“稳定指挥官”。星形胶质细胞通过分泌CCN1蛋白,主动维持神经回路连接的完整性,从而关闭了神经可塑性的“关键期”。
这一发现解答了成年大脑如何平衡稳定与可塑性的基础科学问题,并为脑损伤修复和神经退行性疾病治疗提供了全新靶点。通过操纵CCN1蛋白,未来或许能够暂时解除大脑的“稳定锁”,促进受损神经回路的再生和功能恢复。

鉴定出CCN1能作为小鼠视觉皮层中星形胶质细胞的促稳定因子
3. 脊髓修复的关键指挥官:远离伤口的星形胶质细胞
脊髓损伤和多发性硬化等脱髓鞘疾病的治疗一直是医学难题。中枢神经系统的修复被视为“禁区”,但最新的研究表明,远离损伤区域的细胞也可能参与调控修复进程。
美国西达赛奈医学中心的研究人员首次揭示了一类被称为“病灶远端星形胶质细胞”(LRAs)的细胞。这些LRAs并非被动旁观,而是通过释放信号蛋白CCN1(与上文提到的稳定器是同一种蛋白),指挥局部小胶质细胞(中枢神经系统的“清道夫”)高效清理髓鞘残骸,从而促进脊髓白质的修复。
这项研究深化了对神经损伤后自发修复机制的理解,强调了远离损伤部位的细胞在修复过程中的关键作用,为未来开发靶向神经修复疗法提供了全新思路。
基础免疫学与器官模型创新
1. 绘制免疫先锋“导航图”:中性粒细胞的全景功能图谱
中性粒细胞是人体最丰富的免疫细胞,它们在感染、炎症、心血管疾病乃至癌症进展中扮演着复杂的“双面侠”角色。在肿瘤微环境中,中性粒细胞可能抑制免疫、促进血管新生,帮助肿瘤“潜逃”。由于其生命周期短、状态多变,科学界长期缺乏对其整体功能架构的系统认知。
西班牙国家心血管研究中心等机构通过单细胞测序技术,绘制出了全球首张跨组织、跨疾病的中性粒细胞全景功能图谱—“NeuMap”。这项研究分析了超过100万个中性粒细胞,揭示了中性粒细胞并非无限多样,而是围绕有限数量的功能枢纽进行组织。它们在成熟过程中依次分布,随后分化为干扰素应答型、免疫抑制型等功能状态。
理解中性粒细胞的“行动逻辑”,对于精准调控免疫反应至关重要。未来,医生或能通过NeuMap指导,更精准地干预炎症相关疾病和癌症的免疫微环境,引导免疫系统走向愈合。
2. 免疫耐受的开关:EPO受体在树突状细胞中的作用
免疫耐受是防止免疫系统攻击自身健康组织的关键机制。斯坦福医学院的研究人员发现,一个单一的信号通路控制着免疫细胞在体内巡逻时是攻击还是友好对待遇到的细胞。这个关键枢纽就是促红细胞生成素(EPO),它通过称为树突状细胞的免疫细胞发挥作用。
研究表明,树突状细胞表面的EPO受体信号通路,是触发调节性T细胞(Treg,免疫耐受的关键细胞)的关键因素。操纵这一通路,可能让研究人员能够切换免疫反应,以治疗多种疾病,包括增强抗癌免疫反应(关闭耐受)或治疗自身免疫性疾病(增强耐受)。这一发现为癌症免疫疗法和自身免疫疾病的治疗开辟了新的策略。
3. 告别动物实验:全球首个“微型人类肝脏”组装体
肝脏疾病(如肝癌、肝硬化)是全球重大的健康负担。长期以来,肝脏研究高度依赖动物模型,但物种差异导致许多药物在人体试验中失败,严重阻碍了肝病治疗的突破。如何在体外精准模拟人类肝脏的复杂结构和功能,一直是再生医学的“圣杯”。
德国马克斯普朗克分子细胞生物学与遗传学研究所的科学家们发表了一项里程碑式成果:他们利用来自28位患者的肝脏细胞,成功构建了世界上首个个性化“门静脉周围肝脏组装体”(human assembloids)。
这个模型完美复现了肝脏关键区域的细胞排列与相互作用,还首次在体外形成了功能性胆小管结构。传统的类器官模型通常只包含单一细胞类型,而这种“组装体”包含了肝细胞、胆管细胞和间充质细胞等多种细胞,能够模拟肝脏内多种细胞协同工作的复杂微环境。对于需要获取国际新药或参与临床试验的患者来说,这种高保真的人类模型将极大地提高药物筛选的准确性,减少无效治疗的风险。如果您正在寻找海外新药或罕见药物的获取途径,了解药物研发的最新进展有助于您做出更明智的决策。您可以通过MedFind国际药品代购与直邮服务,了解全球范围内的药物供应信息。
总结与展望:为患者带来的启示
2025年12月《Nature》杂志的这些重磅研究,共同描绘了未来医学的蓝图:
- 癌症治疗:对ecDNA机制的理解,为克服靶向药耐药提供了新的干预点;对免疫衰老的干预,有望提高老年患者对免疫疗法和疫苗的应答。
- 慢性病毒感染:HIV治愈不再是遥不可及的梦想,杂合干细胞移植的成功,拓宽了治愈的路径,强调了免疫清除的重要性。
- 神经系统疾病:pTau217血液检测的普及,将使阿尔茨海默病的早期筛查和干预成为可能;对CCN1蛋白的研究,则为脑损伤和脊髓损伤的再生修复提供了分子靶点。
- 药物研发:“微型人类肝脏”等体外模型的建立,将加速药物筛选过程,提高新药研发的成功率,最终让患者更快地获得有效且安全的治疗方案。
这些国际前沿的临床研究和知识科普,是患者了解自身疾病和治疗选择的重要窗口。MedFind致力于为癌症患者提供最新的药物信息和治疗方案解读,帮助您在复杂的医疗信息中找到方向。如果您需要获取国际上尚未在国内上市的创新药物,或希望了解最新的临床研究进展,我们提供专业的药物信息与治疗方案解读服务,助您把握每一个治疗机会。
