一、引言:肝癌诊断中的影像学“迷思”
对于许多癌症患者和家属而言,正电子发射计算机断层成像(PET-CT)几乎是“癌症检查金标准”的代名词。它通过检测肿瘤细胞旺盛的葡萄糖代谢,帮助医生发现全身的病灶。然而,当面对肝癌(Hepatocellular Carcinoma, HCC)时,情况却有所不同。许多患者会疑惑:为什么在《原发性肝癌诊疗指南》和美国国立综合癌症网络(NCCN)指南中,PET-CT并未被推荐作为常规诊断手段?了解肝癌影像学检查的正确流程和PET-CT的真实定位,对于患者选择最准确的诊断路径、避免不必要的检查至关重要。
本文将深度解读PET-CT在肝癌诊断中的局限性与不可替代的价值,并根据最新的权威指南,为患者和家属梳理出最优化、最科学的影像学检查方案。
二、为什么PET-CT不是肝癌诊断的“常规武器”?(机制与局限性)
要理解PET-CT在肝癌诊断中的特殊性,首先需要回顾其核心工作原理。
1. PET-CT的工作原理:基于葡萄糖代谢
大多数恶性肿瘤细胞具有“Warburg效应”,即它们即使在有氧条件下也倾向于通过糖酵解而非氧化磷酸化来获取能量,表现为葡萄糖代谢异常旺盛。PET-CT正是利用了这一特性。它使用的显像剂是18F-FDG(18F-氟代脱氧葡萄糖),一种与葡萄糖结构相似的放射性示踪剂。18F-FDG被肿瘤细胞高表达的葡萄糖转运体(Glut)转运进入细胞内,并在己糖激酶的作用下被磷酸化为18F-FDG-6-磷酸。与葡萄糖不同的是,18F-FDG-6-磷酸不能被进一步代谢,从而被“困”在肿瘤细胞内,形成异常浓聚的信号,即所谓的“高代谢病灶”。

图1
(图1)肿瘤细胞相对于正常细胞:葡萄糖转运体高,己糖激酶高,葡萄糖-6-磷酸酶低。FDG是一种葡萄糖类似物,通过细胞膜上的葡萄糖转运体(Glut)促进转运,被代谢活跃的细胞吸收。在细胞质中,FDG经过磷酸化形成FDG-6-磷酸盐,与葡萄糖不同,它不能进行进一步的代谢,并被困在细胞内。
2. 肝癌的“特殊性”:高分化HCC的代谢悖论
肝癌(HCC)的特殊之处在于,它并非总是表现为典型的高代谢。这与肝细胞癌的分化程度密切相关:
- 高分化HCC(恶性程度较低): 这类肿瘤细胞保留了部分正常肝细胞的功能,尤其是高表达“葡萄糖-6-磷酸酶”。这种酶可以将滞留在细胞内的18F-FDG-6-磷酸还原为18F-FDG,使其重新排出细胞外。结果是,显像剂在肿瘤内的浓聚程度接近或低于正常的肝脏组织,导致PET-CT的敏感度显著降低。
- 中低分化HCC(恶性程度较高): 这类肿瘤细胞的葡萄糖-6-磷酸酶表达降低,更符合一般恶性肿瘤的代谢特征,因此18F-FDG摄取率较高,PET-CT的检出率也更高(可达75%以上)。
由于临床上相当一部分肝癌属于高分化类型,导致18F-FDG PET-CT诊断HCC的整体敏感度仅在50%左右。因此,权威指南如《原发性肝癌诊疗指南(2024版)》和NCCN指南均明确指出,PET-CT不推荐作为HCC临床诊断的常规手段。

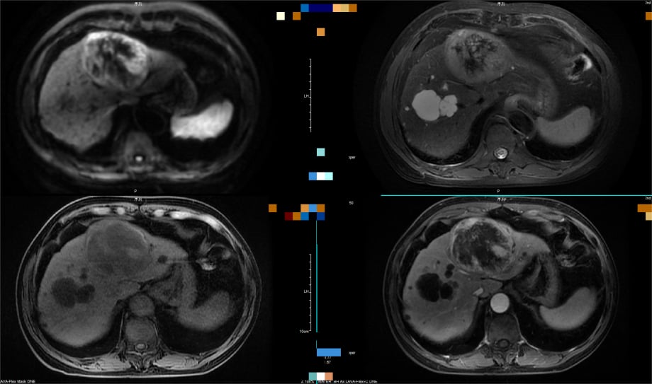
(图3)PET-CT提示:左肝低密度灶,18F-FDG摄取不明显(中央坏死区摄取低于正常肝组织)。

(图4)肝脏增强MRI提示:左肝巨块型病灶,弥散受限,T2WI混杂高信号,增强“快进快出”,诊断为肝癌。
(注:上图病例清晰展示了PET-CT(图3)对高分化肝癌诊断的局限性,而增强MRI(图4)则能根据典型的血流动力学特征做出明确诊断。)
三、肝癌诊疗指南如何定位PET-CT?(NCCN/CSCO 2024版解读)
尽管PET-CT不适合常规诊断,但它在肝癌的诊疗过程中仍扮演着不可或缺的角色。指南推荐PET-CT的价值主要体现在以下几个方面:
1. PET-CT的真正价值:分期、复发与疗效评估
根据《原发性肝癌诊疗指南(2024版)》,PET-CT的优势在于:
- 肿瘤分期与再分期: PET-CT能够通过一次检查全面评估有无淋巴结转移及远处器官转移(证据等级 1,推荐 A)。对于术后或治疗后解剖结构发生变化的复杂部位,它能准确显示复发转移灶(证据等级 2,推荐 B),尤其在检测大于1cm的肝外转移灶时,检出率可高达92.3%。
- 疗效评价: 对于接受靶向药物或免疫治疗等全身系统性治疗的患者,PET-CT的功能影像学评估对抑制肿瘤活性的药物疗效评价更加敏感、准确(证据等级 2,推荐 A)。
- 指导治疗: 它可以指导放射治疗生物靶区的勾画,并帮助确定穿刺活检的最佳部位。
- 预后评估: PET-CT的定量分析指标(如标准摄取值SUV)可以评价肿瘤的恶性程度和预后(证据等级 2,推荐 B)。恶性程度高的低分化HCC,SUV值也高。
因此,对于临床上怀疑存在肝外转移、需要进行肝移植术前评估、或血清AFP持续升高的患者(具有较大转移和复发风险),18F-FDG PET-CT是重要的补充检查手段。
2. 肝癌诊断的首选影像学检查方案
既然PET-CT不是首选,那么肝癌诊断的正确流程是什么?权威指南推荐的影像学手段主要依赖于肝脏的血流动力学特征。
(1)早期筛查:超声与血清AFP
对于肝癌高危人群(如乙肝/丙肝病毒感染者、肝硬化患者、有家族史者),建议至少每隔 6 个月进行 1 次筛查,主要手段是:
- 肝脏超声显像: 经济、无创、可重复性高。
- 血清AFP(甲胎蛋白): 常用且重要的指标。对于AFP阴性人群,可以借助DCP(去γ-羧基凝血酶原)、AFP-L3等指标进行早期诊断。
(2)明确诊断:动态增强CT与MRI(“快进快出”)
对于筛查发现异常者,明确诊断的首选影像学检查方法是:
- 动态增强CT、MRI扫描: 这是肝癌临床诊断、分期和疗效评价的优选影像手段。
- 诊断依据——“快进快出”: 肝癌的典型影像学特征是“快进快出”的强化方式。这是因为肝癌病灶主要由动脉供血,在注射造影剂后的动脉期会迅速高强化(“快进”);而在门静脉期和延迟期,造影剂会迅速从病灶中排出,表现为低密度或低信号(“快出”)。具有这种典型特征的肝占位性病变,通常不需要以诊断为目的的肝病灶穿刺活检。
(3)特殊对比剂的应用与互补
为了提高诊断的灵敏度,尤其是对高分化肝癌:
- Gd-EOB-DTPA动态增强MRI: 这是一种肝细胞特异性对比剂,能够被正常的肝细胞摄取,但不能被癌细胞摄取,从而在肝细胞特异期形成更清晰的对比,提高小病灶的检出率。
- 替代PET显像剂: 采用碳-11标记的乙酸盐(11C-acetate)或胆碱(11C-choline)等对比剂进行PET显像,可以提高对高分化肝癌诊断的灵敏度,与18F-FDG PET-CT显像具有互补作用。

(图2)《原发性肝癌诊疗指南(2024版)》肝癌诊断流程
四、影像学检查与后续治疗方案的衔接
准确的影像学诊断和分期是制定肝癌治疗方案的基石。根据病灶的大小、数量、位置以及是否有血管侵犯或远处转移,医生会选择不同的治疗策略,包括:
- 早期: 手术切除、肝移植、局部消融等。
- 中期: 介入治疗(如TACE,经导管动脉化疗栓塞)。
- 晚期或不可切除: 全身系统性治疗,包括靶向药物(如仑伐替尼、索拉非尼等)和免疫检查点抑制剂(如PD-1/PD-L1抑制剂)。
在确定了准确分期和病灶情况后,患者需要与医生讨论最合适的治疗方案,包括手术、介入治疗(TACE)、放疗或全身系统性治疗。对于复杂的病情或需要海外新药的患者,可以考虑寻求专业的AI辅助问诊服务,获取多学科的治疗建议。
无论是靶向治疗还是免疫治疗,准确的影像学评估都是疗效判断的关键。患者和家属应持续关注最新的药物信息、治疗方案解读,以便与主治医生进行充分沟通。
五、总结与患者行动建议
肝癌的诊断是一个严谨且多步骤的过程,患者和家属应避免盲目追求“最贵”或“最先进”的检查,而应遵循权威指南的推荐:
- 筛查首选: 肝脏超声联合血清AFP。
- 明确诊断首选: 动态增强CT或MRI,重点关注“快进快出”的血流动力学特征。
- PET-CT的定位: 主要用于肿瘤分期、评估肝外转移、检测复发灶,以及评价全身系统性治疗的疗效。它对高分化HCC的诊断敏感度有限,但对中低分化HCC和肝外转移灶具有高价值。
准确的诊断是成功治疗的第一步。对于指南推荐的创新药物或国内尚未上市的靶向/免疫药物,患者可能需要通过国际直邮服务获取,确保治疗的连续性。
