在现代医学影像领域,肺结节的发现日益普遍,尤其得益于高分辨率CT技术的广泛应用。这些微小的肺部异常,既可能是良性病变,也可能是早期肺癌的信号。因此,准确区分肺结结节的良恶性,对于肺癌的早期诊断和及时治疗至关重要。本文将深入剖析恶性肺结节在CT影像上的九大典型特征,帮助患者和家属更好地理解影像报告,为后续的诊疗决策提供依据。
一、分叶征:不规则的生长边界
分叶征是指肺结节边缘呈现出不规则的、凹凸不平的波浪状轮廓,如同树叶的边缘。这种形态是由于肿瘤内部不同区域生长速度不一致,以及周围肺组织对肿瘤生长的阻碍所形成。根据凹陷的深度,分叶征可分为深分叶、中分叶和浅分叶。通常,深分叶征(弦弧距与弦长之比≥0.4)更强烈地提示恶性病变的可能性,是识别恶性肺结节的重要线索。

二、毛刺征:放射状的“太阳光芒”
毛刺征表现为肺结节或肿块边缘向周围肺实质伸展出多条细线状阴影,形似太阳光芒四射。这些毛刺通常不与胸膜粘连,呈放射状排列且无分支,长短粗细不一。其病理基础包括病灶周围小叶间隔水肿、小血管、小淋巴管、小气管被癌细胞浸润并阻塞扩张等。恶性结节的毛刺往往短而有力,而炎性结节或结核球的毛刺则相对细长。因此,毛刺征是判断肺部肿瘤恶性的一个高度提示性征象。

三、空泡征:结节内的“小气泡”
空泡征是指在肺结节内部出现直径小于5mm的气体密度影或低密度影,可单个或多个存在,且在相邻两个以上层面不易连续观察到。这些“小气泡”的形成可能与未被肿瘤完全占据的含气肺组织、未闭合或扩张的小支气管、乳头状癌结构间的含气腔隙,以及肿瘤内小灶性坏死排出后形成的空洞有关。研究表明,空泡征在肺癌中的出现率显著高于良性结节(28.7% vs 8.2%),尤其在肺泡癌、腺癌和鳞癌中更为常见,是鉴别恶性肺结节的重要依据。

四、血管集束征:肿瘤的“营养供给线”
血管集束征表现为一支或数支非小血管被牵拉,向肺部病灶聚拢移位,并在病灶处中断或贯穿病灶。这是恶性肿瘤细胞产生肿瘤生成因子,诱导新生血管形成的结果。血供丰富的恶性肿瘤生长活跃,导致供血血管代偿性增粗。虽然血管集束征并非肺癌的独有特征,但其出现强烈提示需要深入排查恶性病变,是评估肺部结节性质的关键影像学表现之一。

五、胸膜凹陷征:肿瘤侵犯胸膜的信号
胸膜凹陷征(又称胸膜牵拉征)是指CT影像上脏层胸膜被病灶牵拉,内陷皱缩,呈现喇叭样凹向肺内的形态。这通常是肺部肿瘤侵犯脏层胸膜所致。不同病理类型的肺癌对此征象的“喜爱”程度各异,如肺泡癌、腺癌、鳞癌和未分化癌。这一特征为我们从侧面判断肺癌类型提供了重要线索,也是识别恶性肺结节的重要指标。

六、支气管截断征:气道被肿瘤阻断
支气管截断征是指支气管壁因癌肿的侵蚀、破坏和占位,导致支气管突然中断,呈杯口状平直或漏斗状截断。在X线片上,阻塞远端肺纹理的突然缺失清晰可见。这是肺癌极具辨识度的CT征象之一。然而,需要警惕的是,创伤性气管损伤、支气管闭锁、肺隔离症、支气管囊肿、支气管异物等良性病变也可能呈现类似征象,因此需要结合临床情况进行仔细鉴别诊断。

七、磨玻璃成分:早期肺癌的隐匿信号
磨玻璃成分在CT影像上表现为肺内模糊的结节影,其密度略高于周围肺实质,但结节内的血管及支气管轮廓仍清晰可见。根据实性成分的比例,可分为纯磨玻璃结节和部分实性结节(或混合性结节)。大量研究表明,含有磨玻璃样成分的结节,尤其是部分实性结节,具有较高的恶性潜能,是早期肺癌,特别是腺癌的常见表现。不同磨玻璃成分比例的患者预后也各不相同,因此对这类结节需持续关注其动态变化。

八、蜂窝征:黏液样癌的特殊表现
蜂窝征通常表现为实性或倾向于实性密度的病灶,其内部密布着众多微小的空泡,整体呈现出复杂的蜂窝状图案。在疾病早期,这类病灶常被误判为炎症。然而,随着研究深入,我们认识到这类病灶绝大多数具有恶性潜能,并可能经历了从磨玻璃样改变向更致密实性病灶的演变。当部分区域尚未完全密实,呈现出类似蜂窝的外观时,这往往是黏液样癌可能性较高的强烈信号。对于此类具有独特影像学特征的肺部结节,应保持高度警惕。

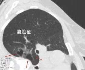
九、囊腔征:需与肺大泡鉴别的恶性病变
囊腔征的特征在于其内部空腔成分占据显著体积,远大于周围的有形成分,初次观察时极易与肺大泡混淆。然而,囊腔征的壁部明显增厚,且常常混杂有磨玻璃样成分,增厚在不同方向上呈现不均匀特点,这与典型的肺大泡薄壁形成鲜明对比。因此,尽管外观相似,但囊腔征是囊腔型肺癌的一种特殊表现。细致入微的观察与准确的鉴别诊断至关重要,以确保及时识别潜在的恶性肺结节。

结语:综合评估,精准抗癌
识别恶性肺结节的影像学特征是一个复杂而精细的诊断过程,需要放射科医师具备敏锐的观察力和丰富的专业知识。随着影像技术的不断进步和人工智能辅助诊断系统的引入,我们对肺癌早期发现的能力正在逐步提升。面对复杂的肺部结节诊断,除了影像学判读,专业的AI问诊服务也能提供辅助参考,帮助患者更好地理解病情。然而,影像学检查虽为重要手段,但必须结合患者的临床病史、家族史及必要的病理学检查进行综合评估,以确保诊断的准确性和治疗的有效性。一旦确诊,患者往往需要寻求最佳治疗方案,包括获取前沿的靶向药物。了解海外药品代购服务,可以为患者提供更多选择。为了更好地应对肺癌挑战,患者和家属应积极获取全面的药物信息、诊疗指南等抗癌资讯,为抗癌之路做好充分准备。
