甲状腺鳞状细胞癌(SCC)是一种罕见且高度侵袭性的甲状腺恶性肿瘤,其预后通常不佳。在2022年第五版WHO分类中,它已被正式纳入甲状腺间变性癌的范畴。了解其诊断特征和预后对于患者和临床医生都至关重要。本文将通过一个具体病例,深入探讨这种复杂疾病的诊断过程与关键病理特征。
病例回顾:一位59岁女性患者的诊断历程
一位59岁女性患者,既往有24年甲亢病史,近期发现双侧甲状腺肿物3个月。患者曾出现消瘦、乏力、盗汗等甲亢症状,但未规律治疗。3个月前的甲状腺超声检查提示甲状腺占位,随后入院进行详细检查。
辅助检查与病理发现
- 甲状腺超声: 显示甲状腺双侧叶实质回声粗糙不均,右侧叶峡部实性结节被评为TI-RADS 4类,左侧叶峡部实性结节为TI-RADS 3类,并伴有双侧颈部多发低回声。
- 大体检查: 切除的右侧甲状腺组织可见一不规则结节,切面呈灰白色,质地中等。
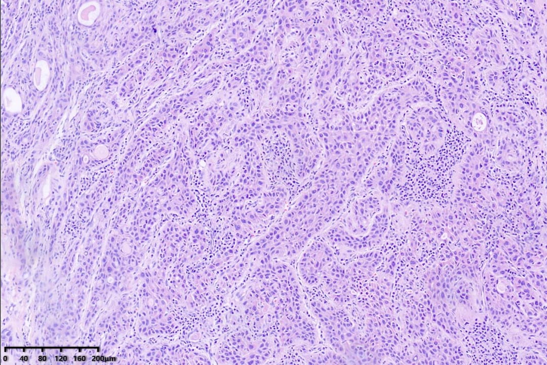
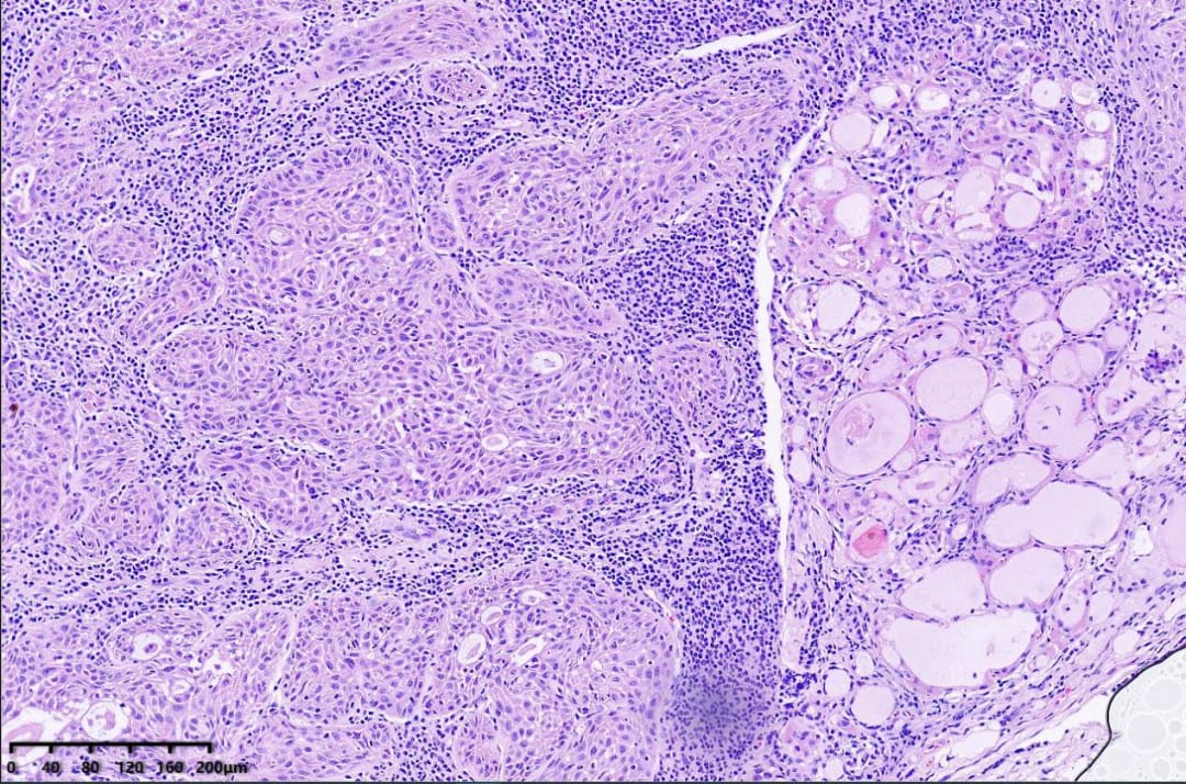
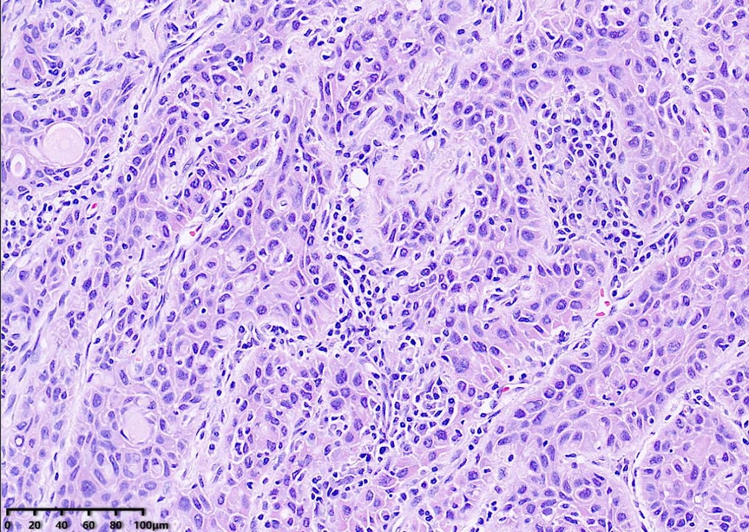
- 镜下所见: 显微镜下可见肿瘤组织呈条索状、巢团状、实片状排列于纤维间质中。肿瘤细胞胞浆丰富,嗜酸性,可见细胞间桥和核深染,核分裂象活跃。部分癌巢周边细胞呈栅栏状排列,局部中央形成角化珠。周围甲状腺组织伴有大量淋巴细胞浸润,呈桥本甲状腺炎改变。

甲状腺右侧叶实质峡部实性结节,边界欠清,其内可见少许血流信号

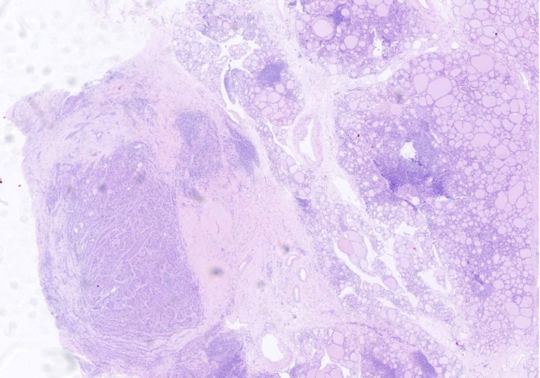
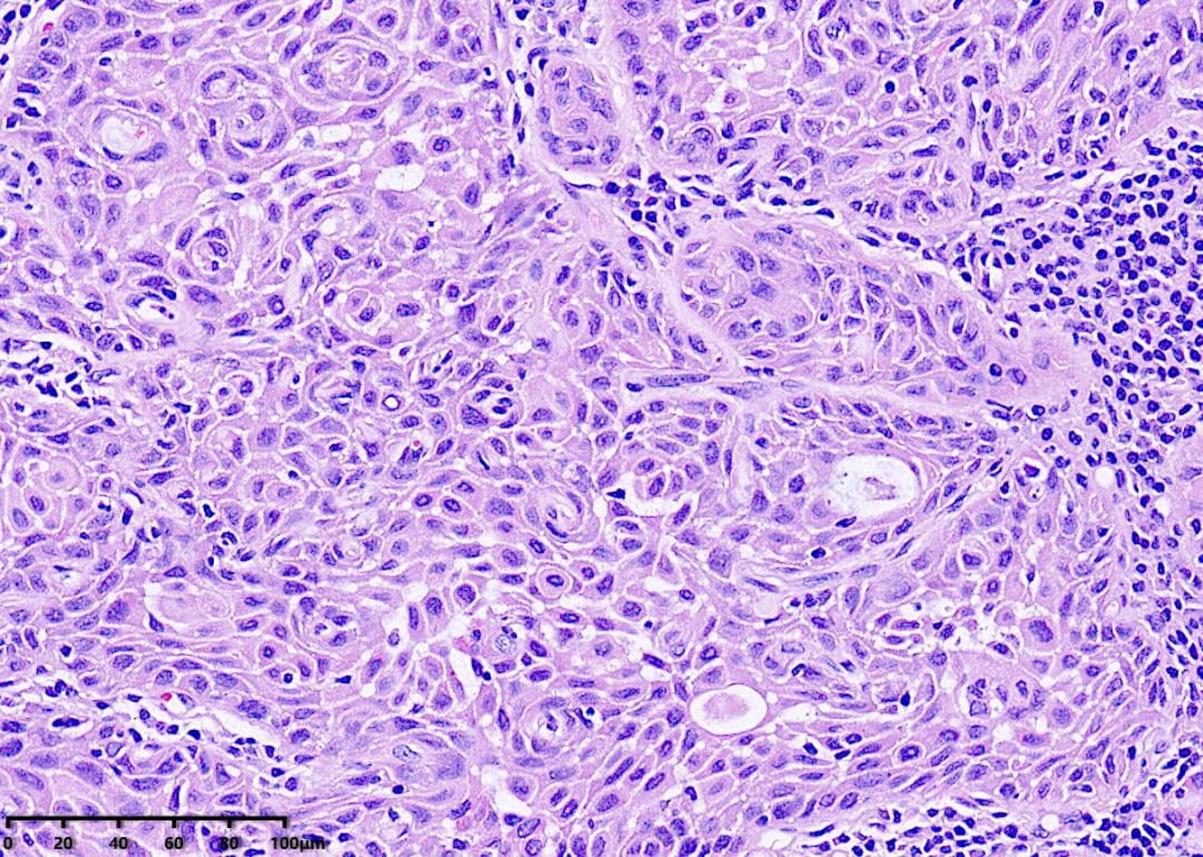
低倍镜,右侧为甲状腺组织伴淋巴细胞浸润,左侧为纤维间质内见肿瘤组织浸润性生长


肿瘤组织呈条索状、巢团状、实片状结构排列,间质淋巴细胞浸润


高倍镜,肿瘤细胞胞浆丰富,嗜酸性,可见细胞间桥,核深染,核分裂可见
免疫组化与分子特征
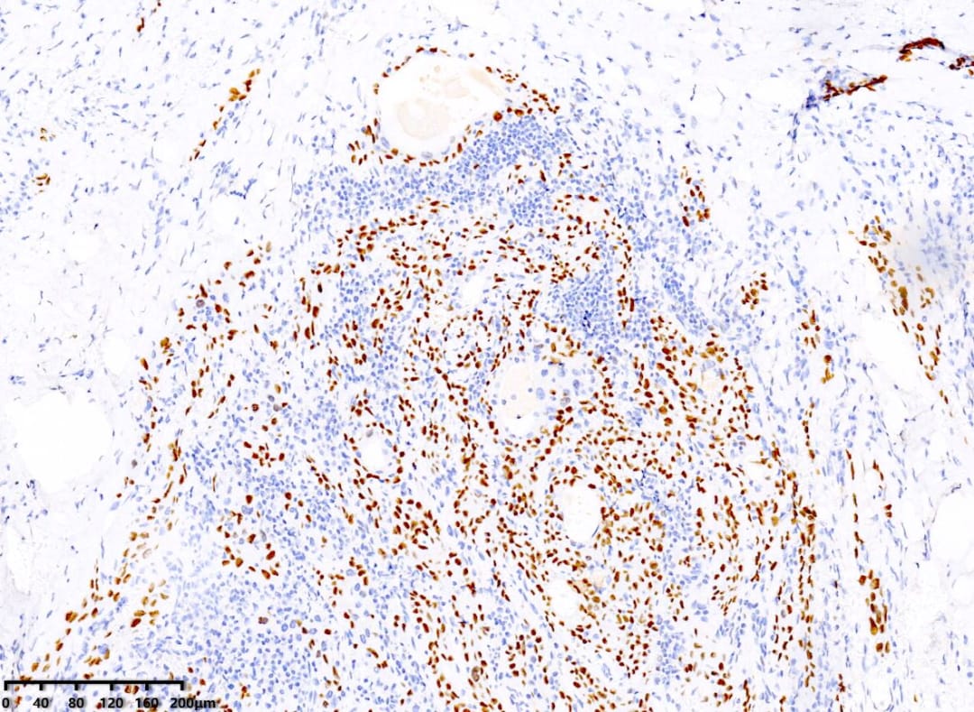
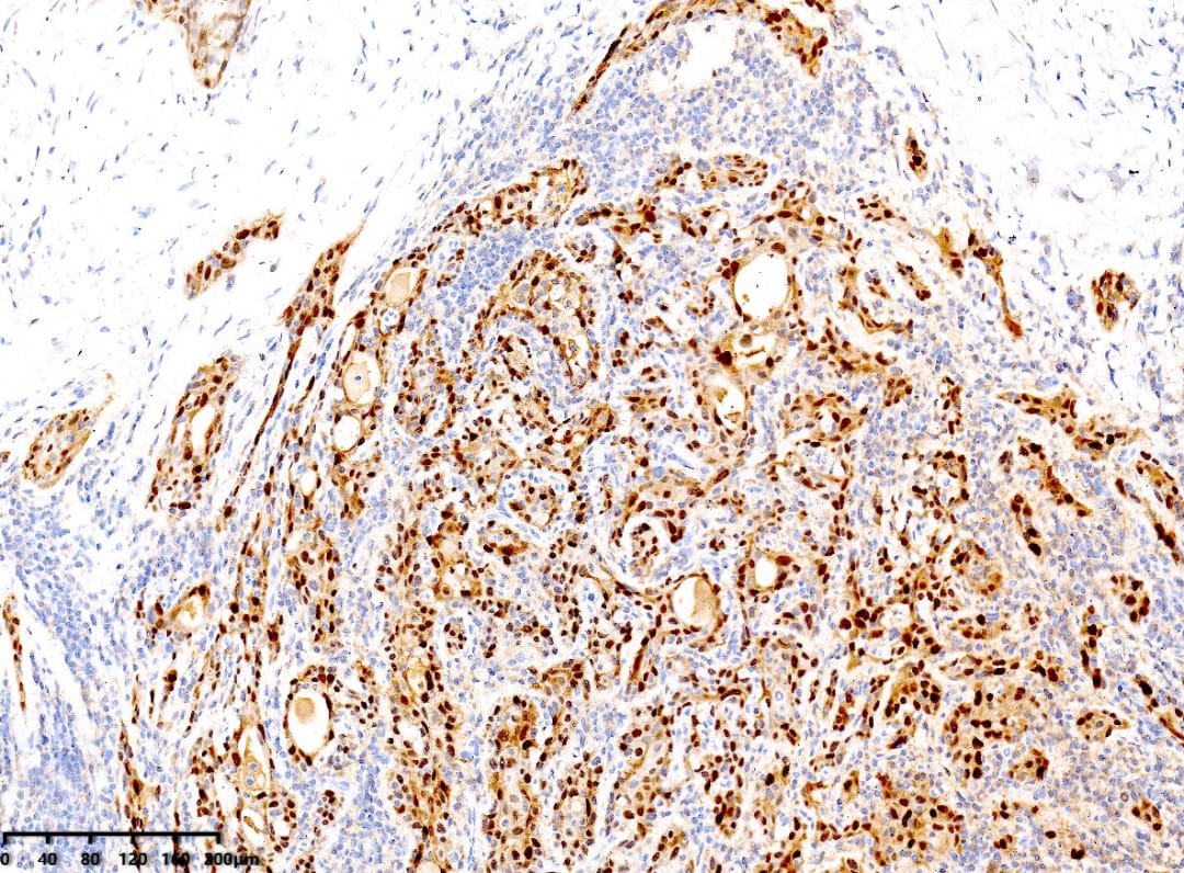
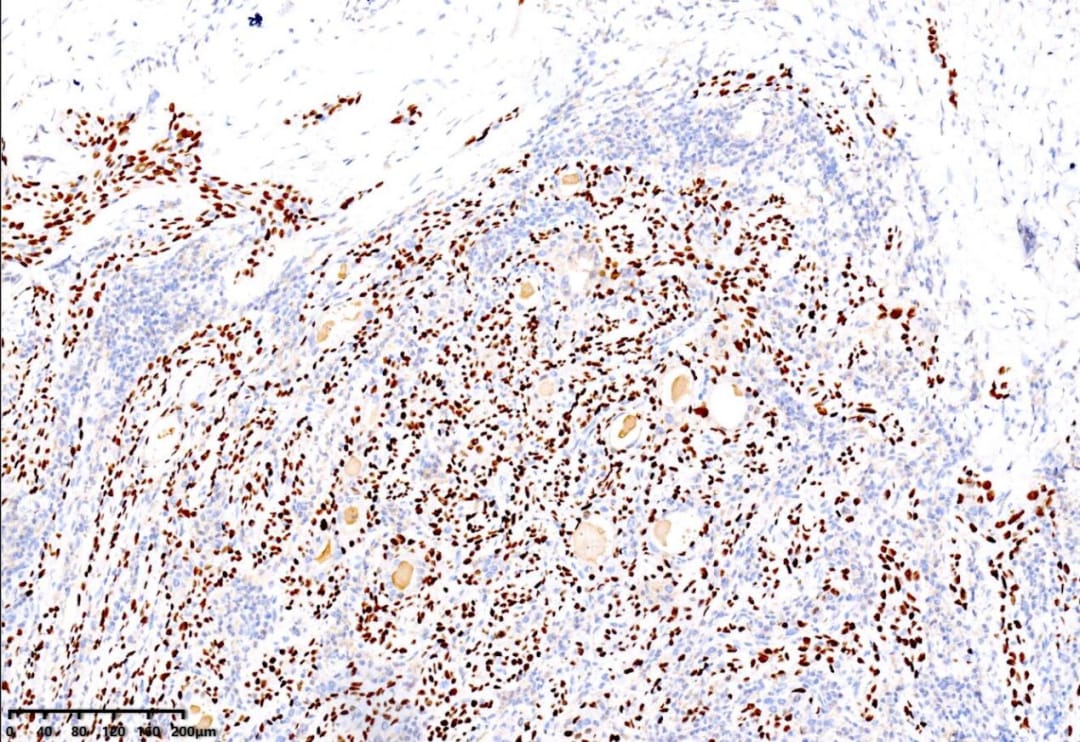
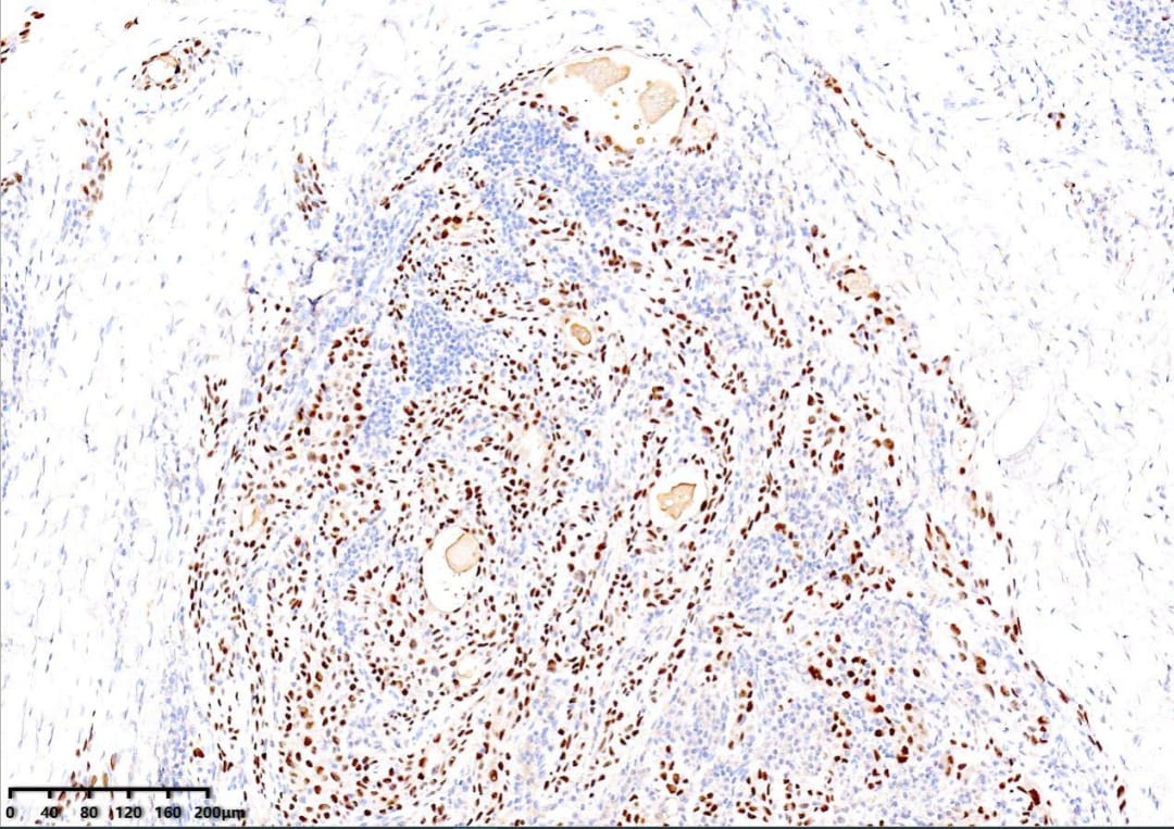
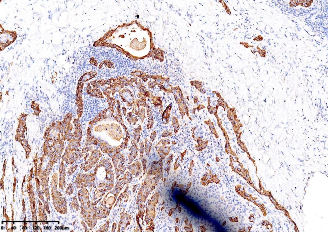
免疫组化结果显示:CK19(+)、p40(+)、p63(+)、PAX8(+)、TTF-1(+)、CK5/6(+)、CyclinD1(+)。值得注意的是,BRAF V600E(部分+)和p53突变型阳性,Ki67阳性指数约15%。这些分子标记物对于确诊和鉴别诊断至关重要。

CK5/6(+)

p40(+)

P63(+)

PAX8(+)

TTF-1(+)

CyclinD1(+)
最终病理诊断
综合各项检查结果,该患者被确诊为:甲状腺鳞状细胞癌(间变性癌)。
深入理解甲状腺鳞状细胞癌(SCC)
甲状腺鳞状细胞癌是一种罕见但高度恶性的甲状腺肿瘤,其预后极差。它几乎完全由鳞状细胞癌组成,不含分化型甲状腺癌成分。2022年WHO分类已将其归入甲状腺间变性癌。
临床特征与影像学表现
该病多见于中老年患者,发病高峰在60-70岁。临床表现通常为颈部肿物,可侵犯周围肌肉、软组织和血管,导致吞咽困难、呼吸困难及声音嘶哑等压迫症状。超声检查常显示边界不清、形态不规则、体积较大的低回声或混合回声实性肿块,伴有缺血性坏死区和中等血供。增强CT可见不规则环形强化。
病理学特点与分子检测
镜下可见肿瘤细胞呈实性巢状、条索状排列,部分癌巢周边细胞呈栅栏状排列,可见细胞间桥、角化珠和单个细胞角化。肿瘤细胞胞质嗜酸性,核深染,核分裂象多见。间质常伴有纤维组织增生和淋巴细胞浸润。免疫表型上,肿瘤细胞通常表达PAX8、CK19、CK-H、TTF-1、CyclinD1,以及鳞状细胞标记物CK5/6、p40、p63。大部分病例可检测到BRAF V600E突变。分子遗传学方面,TP53及BRAF V600E突变是甲状腺鳞状细胞癌的常见特征。
预后与鉴别诊断
甲状腺鳞状细胞癌属于高度恶性肿瘤,中位生存期仅为7个月,五年生存率极低,仅为6.4%。肿瘤体积较大且侵犯周围组织者,预后更差。
鉴别诊断至关重要:
- 继发性甲状腺鳞状细胞癌: 需排除鼻咽、口咽、喉、食道或支气管的鳞状细胞癌转移。原发性SCC通常PAX8阳性(>90%),TTF-1阳性(约35%),而继发性SCC则PAX8和TTF-1均为阴性。
- 髓样癌: 是一种甲状腺C细胞分化的恶性肿瘤,患者血清降钙素水平升高,免疫组化Calcitonin、TTF-1、CEA阳性,但鳞状细胞标记物阴性。
- 甲状腺低分化癌: 介于分化性癌和未分化癌之间,肿瘤细胞体积小,多形性不明显,免疫组化CK19、TTF-1和PAX8阳性,但鳞状细胞标记物阴性。
获取专业支持与靶向治疗方案
面对甲状腺鳞状细胞癌这类高度恶性且复杂的疾病,准确的诊断和个性化的治疗方案至关重要。对于需要获取前沿靶向药或寻求专业AI问诊服务的患者,MedFind致力于为癌症患者提供便捷的海外靶向药代购服务,并提供全面的药物信息与诊疗指南,助您更好地应对疾病挑战,获取所需的专业支持和治疗选择。
