引言:高危胶质瘤治疗的挑战与机遇
高危胶质瘤(HGG),特别是胶质母细胞瘤,是神经肿瘤学中最具挑战性的疾病之一,其高度的侵袭性和不良预后给患者和医生带来了巨大压力。目前,以Stupp方案(放疗同步联合替莫唑胺化疗)为基础的标准治疗是主流,但患者的中位生存期仍然不尽如人意。更重要的是,放疗在杀伤肿瘤细胞的同时,不可避免地会对正常脑组织造成损伤,导致许多患者出现认知功能障碍,严重影响生活质量。
传统的放疗靶区勾画通常在手术切除区域及水肿区外延约2厘米,这种“一刀切”的方式忽略了胶质瘤倾向于沿脑白质纤维束浸润的生物学特性,使得大量健康的脑组织被纳入照射范围。因此,如何在保证疗效的同时,更精准地定义放疗靶区,减少对正常大脑的损伤,成为高危胶质瘤治疗领域亟待解决的关键问题。
更精准的“靶心”:一项创新的放疗临床研究
近期,一项发表在《美国医学会杂志》(JAMA Network Open)上的研究,为解决上述难题带来了新的希望。这项由中国人民解放军陆军军医大学团队开展的随机对照临床试验,旨在评估一种基于多模态磁共振影像(MRI)和脑白质束图谱的创新放疗策略的安全性与疗效。

该研究共纳入154名新诊断的高危胶质瘤患者,并将其随机分为两组:
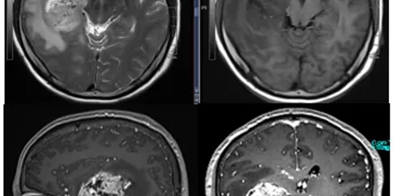
- 实验组: 采用创新的HSIB-IMRT(中等分割同步增剂量调强放疗)方案。研究人员利用多模态MRI和弥散张量成像(DTI)技术,精准识别肿瘤的浸润路径,从而制定个体化的、更小的放疗靶区(CTV)。
- 对照组: 采用传统的RTOG标准方案,即在肿瘤病灶基础上进行均匀的2cm外扩,照射范围更广。
两组患者均接受标准的替莫唑胺(Temozolomide)同步及辅助化疗。研究的主要目标是比较两种方案的无进展生存期(PFS)、总生存期(OS)及治疗相关的毒性反应。

图:靶区范围的定义与划分
研究关键发现:疗效与安全性评估
经过严谨的随访与数据分析,研究得出了以下几个核心结论:
- 显著缩小的放疗靶区: 实验组的放疗靶区体积(CTV)中位数显著小于对照组(174.4 cm³ vs 225.0 cm³),靶区体积成功缩减了约22.5%。这意味着实验组患者有更多的正常脑组织免受了不必要的放射损伤。
- 生存获益无显著差异: 在主要疗效终点上,实验组的中位PFS为15.5个月,对照组为13.5个月;实验组的中位OS为27.0个月,对照组为21.0个月。尽管实验组在数值上显示出延长趋势,但两组间的差异并未达到统计学上的显著性。
- 精准缩减策略的安全性得到验证: 对比两组的肿瘤复发模式,靶区外复发的比例并无显著增加。这一结果有力地证明,这种基于肿瘤生物学特性的精准靶区缩减策略是安全的,并不会因为缩小了照射范围而增加“漏掉”肿瘤细胞的风险。
- 不良事件发生率相当: 两组患者在放疗和化疗期间经历的血液学毒性、胃肠道反应等不良事件的发生率和严重程度相似,表明HSIB-IMRT技术具有良好的耐受性,未增加额外的治疗风险。

图:无进展生存与总生存的分析

图:实验组与标准治疗组患者中的不良事件
精准放疗的意义:平衡疗效与生活质量
总而言之,这项高质量的临床试验首次证实,在高危胶质瘤治疗中,通过多模态MRI引导的精准靶区勾画结合HSIB-IMRT技术,可以在不牺牲安全性的前提下,显著减少正常脑组织的照射体积。尽管该策略未能显著延长患者的生存期,但其最大的临床价值在于有望降低放疗引起的远期神经毒性,如认知功能下降和记忆力衰退,从而更好地保护患者的生活质量。
此外,研究还暗示,MGMT启动子甲基化状态的患者可能从这种精准治疗中获益更多。对于寻求最新治疗方案的胶质瘤患者而言,了解这些前沿研究至关重要。如果您对胶质瘤的治疗方案或相关药物有任何疑问,可以咨询MedFind的AI问诊服务,获取更多个性化信息。
