胶质瘤,作为一种恶性脑部肿瘤,其诊断与治疗一直是医学界的重大挑战,也让无数患者和家属焦虑不安。近年来,随着医学科技的飞速发展,我们对胶质瘤的认识已从单纯依赖形态学观察,转向更深层次的分子水平。世界卫生组织(WHO)的最新分类标准,更是将基因检测结果纳入了诊断的“金标准”。然而,在实际临床应用中,一些相对简便的免疫组化(IHC)检测方法,如IDH1-R132H、ATRX和p53蛋白检测,常被用来作为基因检测的“替代品”。这种替代真的可靠吗?本篇文章将深入浅出地为您解析一项重要的临床研究,探讨这些免疫组化检测在2/3级胶质瘤分子亚分类中的局限性,并强调基因检测在精准诊断中的不可替代作用。我们希望通过这篇深度科普,帮助您和您的家人更全面地了解胶质瘤的诊断真相,为制定科学的治疗方案提供宝贵参考,建立对MedFind的信任,找到最适合您的治疗方案和药物获取渠道。
胶质瘤诊断:从“看模样”到“看基因”的革命性转变
在过去很长一段时间里,医生主要通过观察肿瘤细胞的形态、结构等病理特征,也就是我们常说的“形态学诊断”,来判断胶质瘤的类型和级别。但随着对癌症研究的深入,科学家们发现,即使外观相似的胶质瘤,其内部的基因突变可能截然不同,这直接影响到肿瘤的行为、患者的预后以及对治疗的反应。尤其对于2/3级胶质瘤,这类被称为“低级别胶质瘤”的肿瘤,其分子特征对其治疗方案的选择和预后判断至关重要。因此,国际医学界对胶质瘤的分类标准进行了革命性调整。2016年,世界卫生组织(WHO)发布了全新的胶质瘤分类标准,首次将肿瘤的基因学状态,如IDH1/2突变和1p/19q共缺失等,正式纳入诊断依据。这意味着,仅仅通过显微镜“看模样”已经远远不够,我们更需要深入到肿瘤细胞的DNA层面去“看基因”。这一转变,标志着胶质瘤诊断从传统的形态学时代迈入了精准的分子病理学时代,为患者带来了更个体化、更有效的治疗希望。后续的cIMPACT NOW及其多次更新,更进一步强调了基因变异在成人及儿童胶质瘤诊断中的关键作用,不断完善着我们对胶质瘤的认知体系。这种对分子诊断的重视,也体现在即将发布的2021 WHO分类体系中,它将更加细致地指导我们进行分子亚分类,以实现更精准的治疗。
深入剖析胶质瘤的关键分子标志物:IDH、ATRX与TP53
要理解胶质瘤的分子诊断,就必须了解几个关键的基因及其编码的蛋白质。它们就像肿瘤的“身份证”或“指纹”,能帮助医生精确识别肿瘤的真实身份和行为模式。本研究重点关注了IDH1-R132H、ATRX和p53这三种蛋白的免疫组化检测,并与基因检测结果进行对比。
IDH1/2突变:胶质瘤的“核心身份证”
IDH基因(异柠檬酸脱氢酶基因)的突变是低级别胶质瘤中最常见的分子事件之一,特别是IDH1-R132H突变。正常的IDH酶在细胞代谢中扮演重要角色,而突变后的IDH酶会产生一种异常代谢产物——2-羟基戊二酸(2-HG),这种物质会干扰细胞的正常分化和基因表达,从而促进肿瘤的发生发展。可以说,IDH突变型胶质瘤与IDH野生型胶质瘤是两种完全不同的疾病,它们对治疗的反应和预后都有显著差异。IDH突变型胶质瘤通常预后较好,对放化疗敏感;而IDH野生型胶质瘤则更具侵袭性,预后较差,治疗更具挑战性。因此,准确检测IDH突变状态对于胶质瘤患者至关重要。目前临床上主要通过免疫组化(IHC)检测IDH1-R132H突变蛋白,以及通过基因检测(如NGS)检测IDH1/2的所有突变类型。本研究指出,针对IDH1-R132H的两种常用抗体H09和HMab-2,其灵敏度(正确检出突变的能力)和特异度(正确排除非突变的能力)有所不同。H09抗体表现更优,灵敏度为98.2%与84.2%,而HMab-2分别为89.5%与52.6%。本研究最终使用的H09在真实世界中的灵敏度为90.5%,特异度为84.6%。这意味着在基因检测证实有IDH1-R132H突变的患者中,H09抗体仍有近10%的概率漏诊(假阴性),而在没有IDH1/2突变的患者中,H09抗体仍有约15%的概率误诊为阳性(假阳性)。这提示我们,仅凭IHC检测IDH1-R132H,可能会遗漏R132H以外的IDH1/2罕见突变,甚至出现误判,从而影响患者的诊断和后续治疗决策。
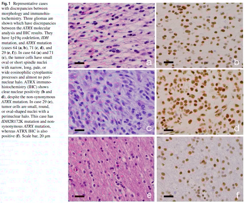
ATRX基因:基因组稳定的“守护者”
ATRX基因(α地中海贫血/智力迟钝综合征伴X连锁基因)在维持基因组稳定、染色体结构和细胞复制方面发挥着关键作用。ATRX基因的突变或缺失,常常导致其编码的ATRX蛋白功能丧失或表达缺失,这在IDH突变型星形细胞瘤中非常常见。因此,ATRX蛋白的免疫组化检测,即观察肿瘤细胞核中ATRX蛋白的表达情况,可以间接反映ATRX基因的状态。如果ATRX蛋白表达丢失,往往提示ATRX基因发生了突变。本研究发现,ATRX免疫组化检测ATRX突变的灵敏度为40.9%,特异度为98.1%。这意味着虽然ATRX IHC在排除ATRX野生型(即没有突变)方面表现出色(特异度高),但在检出真正的ATRX突变(即灵敏度低)方面却存在显著缺陷。将近60%的ATRX突变病例可能因为ATRX IHC结果为阳性而被漏诊(假阴性)。这提示我们,ATRX IHC作为ATRX基因突变的替代标志物,其可靠性仍有待商榷,尤其容易漏诊一些罕见的ATRX突变类型,例如错义突变,即使基因存在突变,蛋白表达可能仍保留。
TP53基因:肿瘤抑制的“总开关”
TP53基因(肿瘤蛋白p53基因)被誉为“基因组的守护者”,是一个重要的肿瘤抑制基因。它在细胞周期调控、DNA修复和细胞凋亡(细胞程序性死亡)中扮演核心角色,负责阻止受损细胞无限增殖,从而抑制肿瘤形成。当TP53基因发生突变时,其编码的p53蛋白可能会变得异常稳定,并在肿瘤细胞核内大量积累。因此,通过p53免疫组化(p53 IHC)检测p53蛋白在肿瘤细胞核内的积累情况,可以间接反映TP53基因的突变状态。本研究显示,p53 IHC检测TP53突变的灵敏度为78.6%,特异度为85.4%。虽然这一数据优于ATRX IHC,但仍存在一定的假阳性(将野生型误判为突变型)和假阴性(漏诊真正的突变型)风险。这意味着在某些情况下,即使基因没有突变,IHC结果也可能显示为p53阳性;反之,基因已经突变,IHC结果却可能显示为阴性,这都会给诊断带来不确定性。尤其在评估其作为1p/19q共缺失的替代标志物时,其灵敏度为90.5%,特异度仅为73.5%,与ATRX IHC互补才能发挥更好的作用。总而言之,IDH、ATRX和TP53的基因状态与免疫组化结果之间并非完全一一对应,这为临床诊断带来了挑战。
免疫组化:方便快捷,但绝非基因检测的“完美替身”
免疫组化(IHC)检测凭借其操作相对简便、成本较低、出结果较快的优势,在临床病理诊断中占据重要地位。尤其是在紧急情况、活检样本量不足以进行全面的基因检测,或所在医疗机构尚未普及分子诊断技术时,IHC常常被用作初步筛查或辅助诊断工具。然而,本研究及其他诸多临床实践经验都明确指出,IHC检测远非基因检测的完美替身,其局限性不容忽视。我们绝不能因为它看起来方便,就盲目地依赖它。
本研究揭示的IHC局限性:数据背后的真相
- 无法全面覆盖所有突变类型:例如,IDH1-R132H IHC只能检测R132H这一特定位点的突变,而无法识别IDH1基因的其他罕见突变,以及IDH2基因的突变。本研究中,有63例IDH突变型胶质瘤携带6种IDH1-R132H以外的IDH1/2突变,这些都可能被IDH1-R132H IHC所遗漏。
- 灵敏度与特异度并非百分之百:
本研究详细分析了IDH1-R132H、ATRX和p53 IHC的灵敏度与特异度:
- IDH1-R132H IHC:灵敏度90.5%,特异度84.6%。这意味着有近10%的真实IDH1-R132H突变可能被漏诊,而有约15%的IDH1/2野生型(无突变)患者可能被误诊为阳性。
- ATRX IHC:灵敏度40.9%,特异度98.1%。其特异度很高(不容易误诊野生型),但灵敏度极低。这意味着超过一半的ATRX基因突变患者可能被IHC漏诊,因为其蛋白表达可能仍保留。研究中甚至发现3例存在ATRX突变但ATRX-IHC仍呈阳性的疑难病例。
- p53 IHC:灵敏度78.6%,特异度85.4%。虽然相对较高,但仍有假阳性和假阴性的风险。
这些数据直观地告诉我们,即使是常用的IHC检测,也存在不小的“盲区”和“误差率”。
形态学易混淆病例与诊断困境
本研究中发现,一些病例即使结合了IHC,也难以做出准确诊断:
- 有3例伴1p/19q共缺失的少突胶质细胞瘤,基因检测显示存在ATRX突变,但ATRX免疫组化结果却仍是阳性,这与预期结果不符。这表明,即便在基因层面已经发生变化,蛋白质的表达模式也可能不完全与之平行。
- 一些基因上为少突胶质细胞瘤的病例,其肿瘤细胞形态却不典型;而另一些基因上为星形细胞瘤的病例,形态上却呈现出少突胶质细胞瘤的特征。这种形态学上的“迷惑性”,加上IHC检测的不完全准确,极易导致临床医生做出错误的诊断判断。比如,携带典型基因变异(IDH1 R132H突变、1p/19q非共缺失、ATRX突变、TP53突变)的星形细胞瘤,却呈现少突胶质细胞瘤样形态;肿瘤细胞为不规则圆形核,伴核周晕。这种情况若仅依赖形态学和IHC,极易误诊。
- 检测条件与判读标准的影响:免疫组化结果的准确性还容易受到多种因素的影响,包括抗体的质量、染色条件的设定(如孵育时间、温度)、以及不同实验室之间判读标准的一致性等。这些变量都可能导致检测结果出现偏差,甚至影响到灵敏度和特异度。此外,对于存档的石蜡包埋组织,抗原性的保存情况也会影响检测的可靠性。
假阳性与假阴性:可能给患者带来的严重后果
免疫组化检测的假阳性(误诊为有突变)和假阴性(漏诊突变)并非小问题,它们可能给患者带来严重的、甚至是致命的后果:
- 假阳性:如果IHC错误地提示存在某种基因突变,可能导致患者接受不必要的、副作用大的靶向治疗或化疗,不仅增加患者的经济负担和痛苦,还可能延误真正有效的治疗。例如,IDH野生型星形细胞瘤通常被视为预后不良的胶质母细胞瘤(GBM)样肿瘤,需要强化放化疗。如果错误地诊断为IDH突变型,可能导致治疗不足。
- 假阴性:如果IHC未能检出真实存在的基因突变,患者可能会错失针对特定靶点的靶向治疗机会,导致治疗效果不佳,甚至病情恶化。本研究中,IDH1/2突变检测存在9.5%的假阴性率。应用2021 WHO分类时,这一误差率将引发新的担忧——患者可能面临过度治疗或治疗不足。
这些风险都强烈提示我们,在胶质瘤诊断中,对免疫组化结果必须持谨慎态度,不能将其视为最终的“定论”。



基因检测:精准诊断的“金标准”,开启个性化治疗新篇章
面对免疫组化检测的诸多局限,基因检测,特别是二代测序(Next-Generation Sequencing, NGS)技术,正日益成为胶质瘤分子诊断的“金标准”。它能够直接、全面地分析肿瘤细胞的DNA或RNA,获取更准确、更全面的基因突变信息,从而为患者提供最精准的诊断和最合适的治疗方案。
基因检测的无可比拟的优势
- 全面性:NGS可以一次性检测数百甚至上千个与癌症相关的基因,包括IDH1/2、ATRX、TP53、1p/19q共缺失、CDKN2A/B纯合缺失、EGFR扩增、TERT启动子(pTERT)突变等所有重要的分子标志物。这远超单一IHC检测的能力范围,能够捕获罕见突变和多重突变,避免漏诊。
- 准确性:基因检测直接分析DNA序列,受蛋白质表达、组织处理等外部因素影响小,结果更加客观可靠。它可以精准识别IDH1-R132H以外的IDH突变,以及ATRX和TP53基因的各种变异模式,包括错义突变、移码插入/缺失、终止获得突变等,避免了IHC灵敏度不足的问题。
- 预后评估与治疗指导:根据基因检测结果,医生可以更准确地判断胶质瘤的恶性程度和复发风险,并选择最有效的靶向药物或化疗方案。例如,1p/19q共缺失的少突胶质细胞瘤对替莫唑胺化疗敏感;IDH突变型胶质瘤患者通常预后更好;而IDH野生型且伴有CDKN2A/B纯合缺失、pTERT突变或EGFR扩增的胶质瘤,则被归类为具有胶质母细胞瘤(GBM)样特征,需要更积极的治疗。
- 适应最新WHO分类标准:即将发布的2021 WHO分类体系将更加强调分子特征在胶质瘤诊断中的核心地位。基因检测是唯一能够完全满足这一新标准,并实现精准分子亚分类的检测方法。本研究也指出,在2021 WHO分类体系下,尚无可完全替代检测胶质母细胞瘤分子特征的简便检测方法,进一步凸显了基因检测的不可或缺性。




患者与家属如何选择检测方法?MedFind的专业建议
面对复杂的胶质瘤诊断,患者和家属往往感到困惑和无助。理解免疫组化和基因检测各自的优缺点,是做出明智选择的第一步。MedFind在此为您提供专业的建议,帮助您 navigating 诊断与治疗的迷宫。
综合考量,优先选择基因检测
从长远来看,为了获得最准确的诊断、最可靠的预后评估和最有效的个性化治疗方案,我们强烈建议胶质瘤患者,特别是2/3级胶质瘤患者,优先考虑进行全面的基因检测(特别是NGS)。虽然基因检测的成本可能相对较高,出报告时间也可能稍长,但它所提供的精准信息是任何其他检测方法都无法替代的,这对于生命攸关的癌症治疗来说,是“物超所值”的投入。在条件允许的情况下,基因检测是制定治疗策略的基础。
免疫组化可作为辅助,但不可盲目依赖
免疫组化(IHC)检测并非一无是处。在以下几种情况下,它仍然可以发挥重要作用:
- 初步筛查:在基因检测结果出来之前,IHC可以提供初步的诊断线索,为医生争取宝贵的时间。
- 补充诊断:某些情况下,IHC可以作为基因检测结果的补充或验证。例如,当基因检测结果存在不确定性时,IHC可以提供额外的证据。
- 资源有限时:在某些医疗资源有限,无法开展全面基因检测的地区,IHC仍是重要的诊断工具。但此时,医生和患者都必须清楚其局限性,并积极寻求更高水平的分子诊断机会。
请记住,IHC是形态学诊断的重要补充,但绝不能完全取代基因检测。尤其是在本研究中强调的IDH1-R132H以外的罕见IDH突变、ATRX突变的低灵敏度以及p53 IHC的不完全可靠性,都意味着单纯依赖IHC可能导致误诊或漏诊,从而影响治疗效果和患者预后。在面对疑难病例或IHC结果与临床表现不符时,更应毫不犹豫地进行基因检测。
MedFind:您在抗癌路上的可靠伙伴
在复杂的胶质瘤诊断和治疗过程中,MedFind致力于成为您获取最新抗癌资讯、药物信息和诊疗方案的可靠平台。我们深知精准诊断的重要性,因此鼓励患者积极进行基因检测,获取最全面的分子信息。一旦确诊,并需要获取前沿的抗癌药物,您可以通过MedFind平台,了解并构建抗癌药品跨境直邮渠道。我们不仅提供专业的抗癌资讯、诊疗指南和药物信息,还能通过AI辅助问诊,帮助您初步解读复杂的医学报告,提供个性化的信息支持。选择MedFind,让您在抗癌路上不再孤单,用科学武装自己,做出最明智的医疗决策。

总结:精准分子诊断,胶质瘤患者的未来希望
胶质瘤的诊断正在经历一场深刻的变革,从过去的“看模样”到如今的“看基因”,分子诊断已经成为指导临床实践的核心。本研究及其他大量证据都清晰地表明,虽然免疫组化(IHC)检测因其便捷性仍有其辅助价值,但它在精准性、全面性方面存在显著局限,尤其无法完全替代基因检测在2/3级胶质瘤分子亚分类中的关键作用。罕见IDH突变、ATRX突变的高漏诊率以及IHC检测条件的不稳定性,都可能导致诊断偏差,进而影响患者的治疗效果和长期生存。基因检测,特别是二代测序技术,凭借其无可比拟的准确性和全面性,正成为胶质瘤精准诊断的“金标准”,为患者带来个性化、高效的治疗新希望。作为患者和家属,积极了解并选择最先进的分子诊断技术,是迈向成功抗癌之路的关键一步。请务必与您的主治医生充分沟通,结合您的具体情况,选择最合适的诊断方案。MedFind将始终与您同行,提供最及时、最可靠的医学信息支持,助您战胜病魔!
