结直肠癌治疗迎来新曙光:GDF15介导的“致命循环”被揭示
结直肠癌(Colorectal Cancer, CRC)是全球范围内发病率和死亡率均位居前列的恶性肿瘤之一,严重威胁着人类的健康。长期以来,科学家们致力于揭示其复杂的发病机制,以期找到更有效的治疗靶点。近日,一项由复旦大学附属肿瘤医院与上海交通大学医学院附属第一人民医院的科研团队合作完成的重磅研究,登上了国际顶尖期刊《Nature Aging》,为结直肠癌的治疗带来了全新的视角。
这项研究首次揭示了一个惊人的发现:在结直肠癌组织中,并非只有癌细胞本身在“作恶”,其周围看似正常的结肠上皮细胞(CECs)竟扮演了“帮凶”的角色。这些衰老的邻近细胞通过分泌一种名为GDF15的蛋白,与癌细胞形成了一个自我强化的“致命循环”,从而持续“喂养”肿瘤,助其生长和扩散。这一发现不仅深化了我们对肿瘤微环境的理解,更指明了多个潜在的药物干预新靶点。

一、 肿瘤的“邻居”竟是帮凶?GDF15的意外来源
在肿瘤微环境(TME)这个复杂的生态系统中,包含了癌细胞、免疫细胞、成纤维细胞等多种成分。过去的研究大多聚焦于癌细胞自身或癌相关的成纤维细胞。然而,本次研究团队将目光投向了肿瘤周围的正常组织(NAT),特别是其中最丰富的细胞——结肠上皮细胞(CECs)。

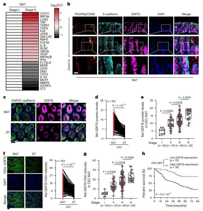
图1:肿瘤周围CECs中GDF15表达升高与晚期CRC分期相关
通过对153例结直肠癌患者的临床样本进行深入分析,研究人员发现:
- GDF15的特异性高表达:生长分化因子15(GDF15)在肿瘤周围的CECs中表达水平异常之高,远超肿瘤细胞本身。
- 与病情进展密切相关:这些细胞中GDF15的水平越高,患者的肿瘤分期就越晚,预后也越差,总生存期显著缩短。这表明,来自“邻居”细胞的GDF15是比来自肿瘤自身的GDF15更准确的独立预后标志物。
- 衰老细胞的“毒液”:进一步研究发现,这些高表达GDF15的CECs表现出明显的衰老特征,即衰老相关分泌表型(SASP)。这意味着,这些“衰老”的邻居细胞正在不断分泌包括GDF15在内的多种因子,为肿瘤的生长创造了一个有利的环境。
二、 GDF15如何“喂养”结直肠癌细胞?揭秘JNK1-STAT3-ENO1信号轴
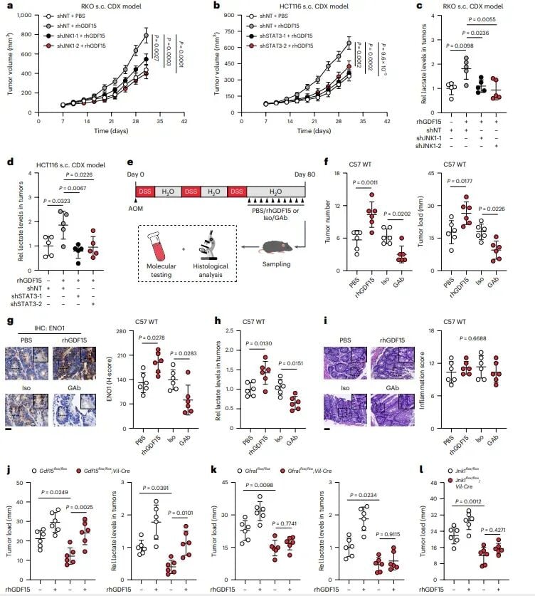
那么,这些由衰老CECs分泌的GDF15是如何精确地促进癌细胞生长的呢?研究团队通过一系列精密的体外共培养实验、患者来源的类器官模型以及小鼠模型,清晰地描绘出了这条“喂养”通路。

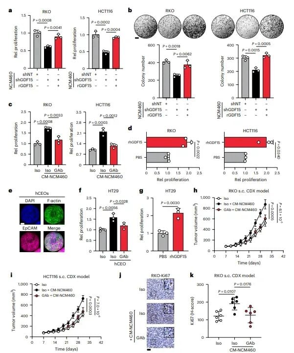
图2:CECs分泌的GDF15增强CRC细胞增殖
第一步:信号接收与传导
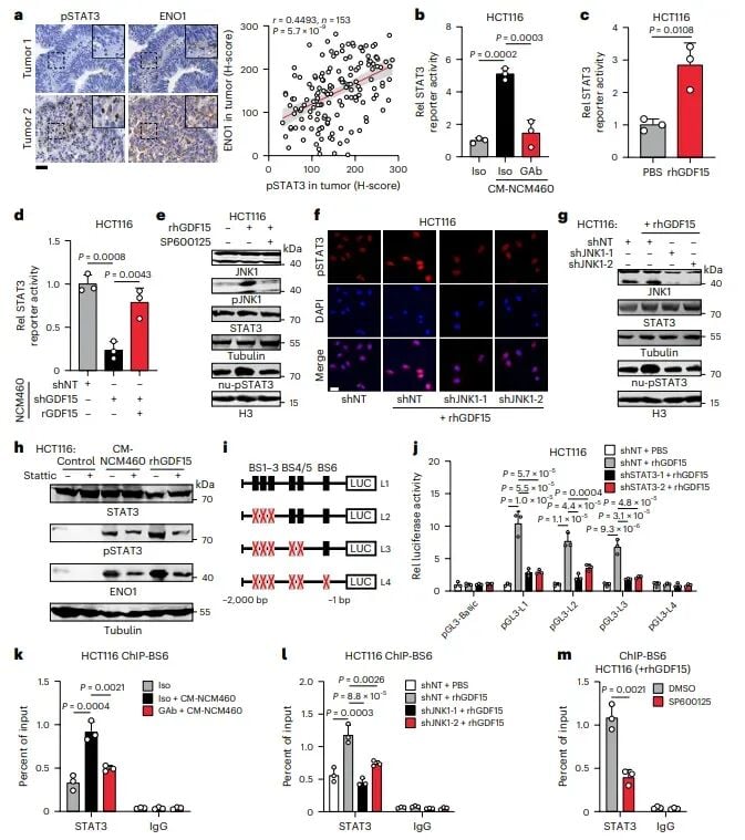
CECs释放的GDF15蛋白,会与结直肠癌细胞表面的特异性受体GFRAL结合,如同钥匙开锁,激活了癌细胞内部的信号通路。研究证实,这条关键通路是JNK1-STAT3信号轴。

图3:GDF15通过上调ENO1促进促肿瘤糖酵解
第二步:代谢重编程
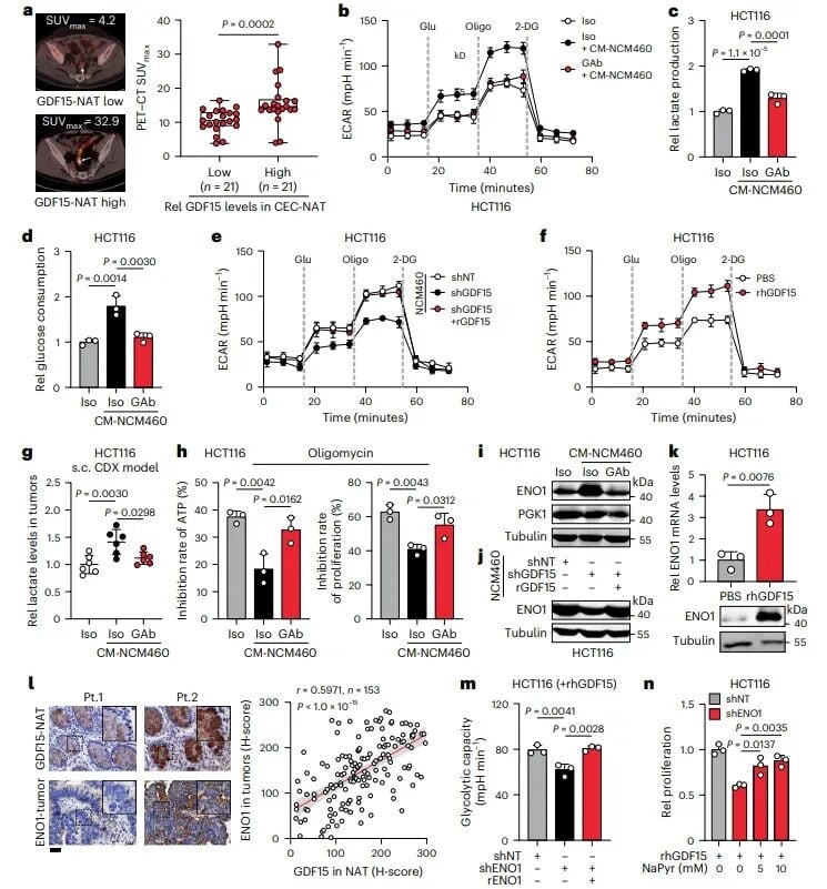
被激活的JNK1-STAT3信号轴会进一步“命令”癌细胞大量生产一种名为烯醇化酶1(ENO1)的糖酵解关键酶。ENO1的急剧增加,导致了癌细胞的代谢模式发生根本性转变——从正常的有氧呼吸转向了效率较低但速度极快的糖酵解(即“瓦博格效应”)。癌细胞因此变得极度“嗜糖”,疯狂地摄取葡萄糖,为自身的快速增殖和分裂提供源源不断的能量。

图4:CECs分泌的GDF15激活JNK1以促进ENO1表达
第三步:产生“代谢废物”——乳酸
糖酵解过程的一个主要副产品就是大量的乳酸。在传统观念中,乳酸可能只是代谢废物。但这项研究发现,它恰恰是完成“致命循环”的最后一块拼图。深入了解癌症的复杂机制,是找到有效治疗方案的第一步。MedFind的抗癌资讯版块持续为您更新前沿的科学发现。

图5:GDF15介导的JNK1磷酸化通过STAT3诱导ENO1的转录激活
三、 “致命循环”的闭环:乳酸的反馈与组蛋白乳酸化
研究最令人兴奋的发现,在于揭示了癌细胞产生的乳酸并非“废物”,而是会反过来与衰老的CECs进行“对话”,形成一个自我强化的正反馈环路。

图6:GDF15通过JNK1-STAT3-ENO1信号轴在体内增强肿瘤糖酵解和增殖
乳酸的“逆袭”:癌细胞产生的乳酸通过一种名为MCT1的转运蛋白,被重新吸收进周围的CECs中。
表观遗传的“开关”:进入CECs后,乳酸扮演了信号分子的角色,诱导了一种新颖的表观遗传修饰——组蛋白乳酸化(H4K8la)。简单来说,这就像在调控基因表达的“开关”上做了一个特殊标记,这个标记会直接促进GDF15基因的转录和表达。

图7:CRC细胞释放的乳酸上调H4K8la并与CECs中GDF15表达相关
至此,一个完整的恶性循环形成了:
- 衰老的CECs分泌GDF15。
- GDF15促进癌细胞进行糖酵解,产生乳酸。
- 乳酸被CECs吸收,通过组蛋白乳酸化修饰,促使CECs分泌更多的GDF15。
这个循环不断自我放大,为肿瘤的持续生长提供了完美的代谢共生环境。如果您对结直肠癌的现有治疗方案或这项新研究有任何疑问,不妨咨询MedFind的AI问诊,获取专业、便捷的解答。

图8:H4K8la有助于CECs中GDF15的表达
四、 阻断循环,饿死肿瘤:结直肠癌治疗的新希望
这一“致命循环”的发现,其最大的意义在于为结直肠癌的治疗提供了多个全新的潜在靶点。既然这是一个环环相扣的链条,那么在任何一个环节进行干预,都有可能打破这个恶性循环,从而有效抑制肿瘤的生长。
研究团队在动物模型中验证了这一思路。无论是通过抗体中和GDF15,还是通过药物或基因手段抑制GFRAL、JNK1、ENO1或MCT1,都观察到了显著的抗肿瘤效果。
未来的治疗策略可能包括:
- GDF15中和抗体:直接清除循环中的GDF15,切断信号源头。
- JNK1/STAT3抑制剂:阻断癌细胞内的信号传导,阻止其代谢重编程。
- ENO1抑制剂:直接靶向癌细胞的“能量工厂”,使其“断粮”。
- MCT1抑制剂:阻止乳酸的跨细胞运输,打破反馈循环。
这些新靶点的发现,预示着未来结直肠癌的治疗将更加精准和多样化。当这些前沿研究转化为实际的治疗药物时,如何第一时间获取并使用它们成为患者最关心的问题。MedFind提供专业的药品直邮服务,致力于将全球最新的治疗选择带给有需要的患者。
总结
复旦大学与上海交大团队的这项杰出研究,系统地阐明了肿瘤周围的衰老细胞如何通过GDF15-乳酸-组蛋白乳酸化轴,与结直肠癌细胞形成代谢共生,共同驱动癌症进展。这一发现不仅是对肿瘤生物学理论的重大补充,更为临床治疗开辟了全新的战场。我们有理由相信,随着对这一“致命循环”的深入研究,针对这些新靶点的药物将不断涌现,为全球无数结直肠癌患者带来新的生命希望。
