引言:
低度恶性肌纤维母细胞肉瘤(Low-grade myofibroblastic sarcoma, LGMFS)是一种较为罕见的软组织肿瘤,属于中间性(偶有转移性)纤维母细胞/肌纤维母细胞肿瘤。由于其临床表现不特异,术前诊断常面临挑战。本文将通过一例具体的病例,深入探讨LGMFS的临床病理特征、诊断要点及预后,旨在提高对这种罕见肉瘤的认识。
一、 病例背景与临床表现
患者为一名59岁男性,主诉发现左侧颞部肿物约1年,初始大小约3cm,伴有压痛。近期自觉肿物进行性增大,遂来院就诊。值得注意的是,患者提及10年前曾因头皮肿物在当地医院接受手术,但当时未进行病理检查。
二、 专科检查与大体观察
专科检查:触诊发现左侧颞部皮下存在一肿物,大小约为4.0cm x 4.0cm,质地韧,按压时有疼痛感,无波动感,表面皮肤完整,无破溃流脓。
大体检查:手术切除的头皮肿物标本为一块灰白淡黄色组织,尺寸为6.2cm x 3.0cm x 2.5cm。切面显示一淡红色肿物位于肌肉之间,边界相对清晰。肿物切面呈灰白淡红色,实性质地,中等硬度。
三、 镜下病理学检查
显微镜下观察显示,肿瘤边界清晰,但局部侵犯周围的横纹肌组织。肿瘤细胞密度较高,主要由梭形或胖梭形细胞构成,呈束状或席纹状排列。细胞间可见少量胶原纤维。肿瘤细胞胞质呈淡嗜伊红色,细胞边界不清晰。细胞核形态为长杆状或椭圆形,部分细胞可见明显核仁。未观察到明显的肿瘤坏死,核分裂象罕见。

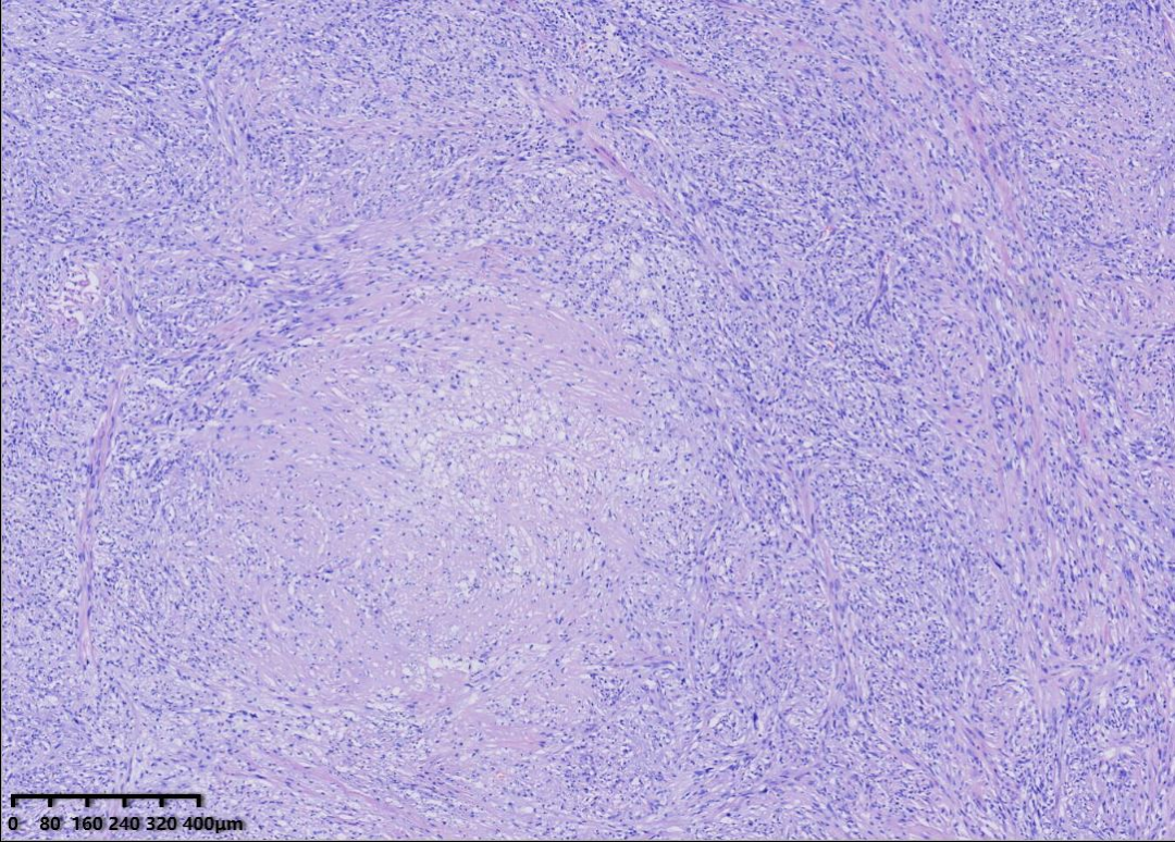
图1:肿物界限清楚,局部累及周围横纹肌。


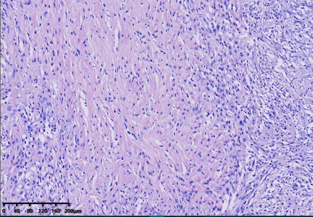
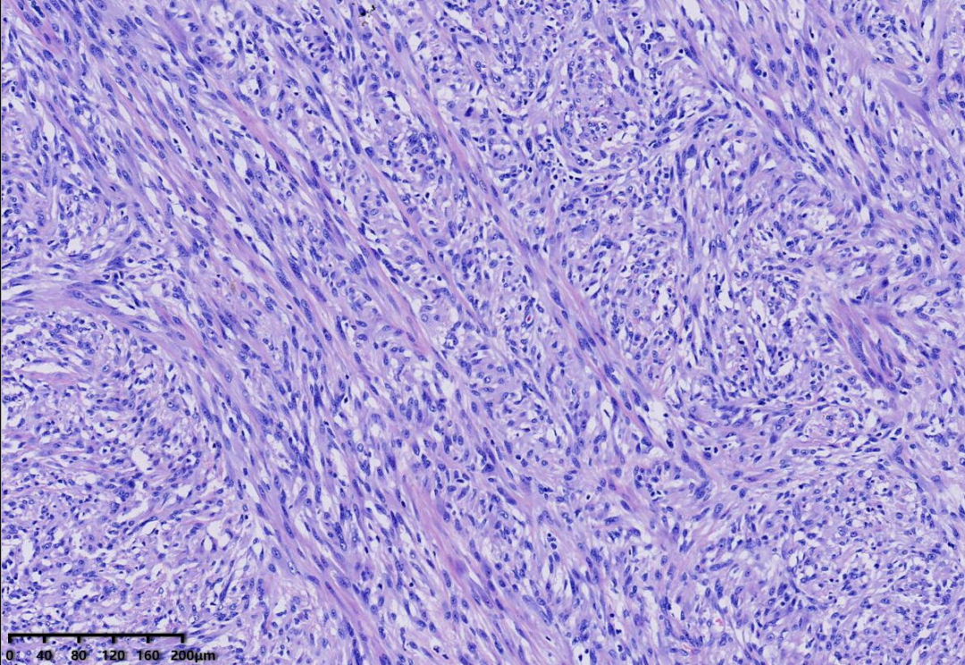
图2 & 3:肿瘤富于细胞,呈束状或席纹状排列,局部可见胶原纤维。


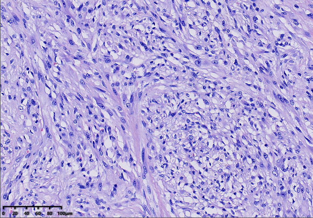
图4 & 5:肿瘤细胞呈梭形或胖梭形,细胞周界不清,核呈长杆状或椭圆形,部分细胞核仁明显,未见明显核分裂象。
四、 免疫组化分析
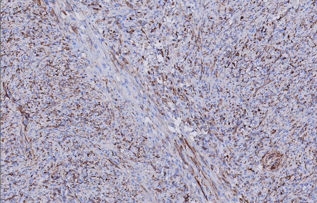
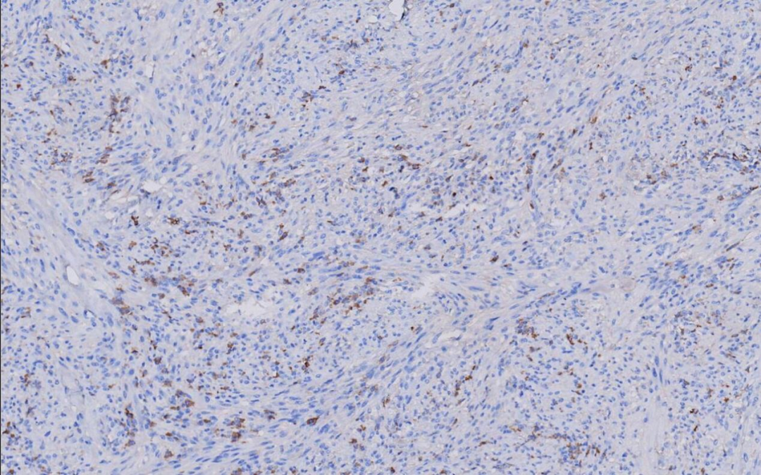
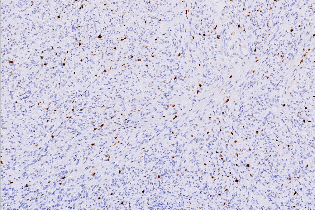
免疫组化染色结果对诊断至关重要:梭形细胞表达SMA(平滑肌肌动蛋白)和vimentin(波形蛋白),少部分细胞表达desmin(结蛋白)。而β-catenin、S100、Ckpan、ALK、MyoD1、CD34、CD21等标记物均为阴性。Ki67增殖指数在热点区域约为10%。

图6:肿瘤细胞SMA阳性。

图7:Desmin少部分肿瘤细胞阳性

图8:Ki-67热点区增殖指数10%
五、 病理诊断
结合临床病史、大体检查、镜下形态学以及免疫组化结果,最终病理诊断为:低度恶性肌纤维母细胞肉瘤(LGMFS)。
关于低度恶性肌纤维母细胞肉瘤(LGMFS)的讨论
定义与分类:
LGMFS是一种显示肌纤维母细胞分化的梭形细胞肉瘤,具有纤维瘤病的某些特征。根据世界卫生组织(WHO)2020年第五版软组织和骨肿瘤分类,它被归类为中间性(偶有转移性)纤维母细胞/肌纤维母细胞肿瘤。其ICDO编码为8811/1。
临床特征:
LGMFS是一种罕见的间叶组织肿瘤,约占所有软组织恶性肿瘤的1%。好发于中老年成人(中位诊断年龄51岁),男性略多于女性。最常见的发病部位是头颈部(约占30%),其次是四肢、胸壁、腋窝、腹股沟和盆腹腔。临床上多表现为无痛性、逐渐增大的肿块,部分患者病史可长达数年。少数情况下可能伴有发热、寒战或白细胞增多。
大体与组织学特点:
- 大体: 肿瘤通常边界不清,无完整包膜,多为单发实性结节,直径通常小于5cm,少数可超过10cm。切面呈灰白色,质地偏硬,罕见坏死。
- 组织学: 肿瘤细胞呈弥漫浸润性生长,常侵犯邻近横纹肌,形成类似棋盘状结构。瘤细胞为梭形或胖梭形,胞质淡染,胞界不清。细胞核染色质均匀或空泡状,可见核仁,细胞有轻至中度异型性,核分裂象少见。间质可见不同数量的胶原纤维,部分区域可发生玻璃样变、钙化甚至骨化。可伴少量淋巴细胞、浆细胞浸润。
免疫表型与分子遗传学:
- 免疫表型: 肿瘤细胞通常表达SMA、calponin、vimentin和desmin(部分表达)。不表达CD34、S-100、caldesmon、myogenin、MyoD1、CD21、ALK、CDK4、MDM2、β-catenin。Ki-67增殖指数通常低于10%。
- 分子检测: 目前尚未发现LGMFS具有特异性的分子遗传学改变。
治疗与预后:
LGMFS属于低度恶性肿瘤,其生物学行为具有交界性特点:局部侵袭性强,容易复发,但远处转移相对少见。主要治疗方法是手术完整切除,并确保切缘阴性。对于特殊部位或难以完全切除的肿瘤,可考虑术后局部放疗以降低复发风险。对于这类罕见肉瘤,获取最新的诊疗信息和寻求专业意见至关重要。如有需要,MedFind平台的AI问诊服务或可提供初步的辅助信息参考。
鉴别诊断要点:
LGMFS需要与多种梭形细胞肿瘤进行鉴别,主要包括:
- 侵袭性纤维瘤病: 形态温和,β-catenin核阳性。
- 炎性肌纤维母细胞瘤: 显著炎性细胞浸润,常有ALK阳性表达及基因重排。
- 结节性筋膜炎: 病史短,病变小,细胞排列疏松呈羽毛状,常有USP6基因重排。
- 孤立性纤维性肿瘤: 特征性的“无结构结构”,CD34、STAT6阳性,有NAB2-STAT6融合基因。
- 平滑肌肉瘤: 细胞核呈雪茄样,胞质强嗜酸性,表达desmin、caldesmon。
- 纤维肉瘤: 细胞呈人字形/鱼骨样排列,可伴坏死,核分裂易见。
结语:
低度恶性肌纤维母细胞肉瘤是一种罕见的软组织肿瘤,准确诊断依赖于形态学和免疫组化的结合。虽然其恶性程度较低,但具有局部复发和偶有转移的潜能,因此规范的治疗和密切随访非常重要。
*本文(包括图片)根据公开信息整理,仅供行业交流学习参考,不作为医疗诊断依据。具体的诊疗方案请咨询专业医师。
参考文献
[1]吴晁,王辉,鲁常青,等.低度恶性肌纤维母细胞肉瘤3例临床病理观察[J].诊断病理学杂志,2016,23(01):36-39.
[2]Kim JH, Choi W, Cho HS, et al. Surgical treatment and long-term outcomes of low-grade myofibroblastic sarcoma: a single-center case series of 15 patients. World J Surg Oncol. 2021 Dec 7;19(1):339.
