丁克峰教授深度解读2025 CCHIO大会核心理念:从传统MDT模式到“防筛诊治康”肿瘤全病程管理的跨越。了解大肠癌、乳腺癌等恶性肿瘤的最新治疗标准、精准外科与HIPEC等攻坚克难方案,为癌症患者提供全生命周期健康管理的专家指导。 Read More... "癌症治疗新标准:MDT如何升级为“全病程管理”?专家解读大肠癌防治模式"
汇集国内外最新的NCCN、ESMO、ASCO、CSCO癌症临床指南、专家共识和推荐意见,为患者提供最权威、最前沿的癌症治疗信息。帮助读者更好地掌握癌症的诊断和治疗方法,从而提升临床决策的科学性和有效性。此外,我们会定期更新相关内容,以反映行业内的最新进展和研究成果,确保用户获取的信息始终处于前沿水平。
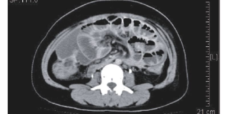
低级别阑尾黏液性肿瘤(LAMN)通常被认为不发生血行转移,但本病例报告了一例罕见的术后四年脾转移。文章深入探讨了LAMN的病理定义、腹膜假黏液瘤(PMP)的腹膜外复发机制,并强调了全身随访监测(包括ctDNA)的重要性,为阑尾癌患者的长期管理提供了新的思考和指导。 Read More... "低级别阑尾黏液性肿瘤(LAMN)罕见脾转移:挑战病理认知,ctDNA监测与长期随访新思路"
聚焦宫颈癌精准诊疗,本文深度解读2025年最新指南推荐的分子检测策略,包括HR-HPV分流、PAX1/JAM3甲基化检测的临床价值。详细分析阿替利珠单抗联合贝伐珠单抗治疗晚期宫颈癌的BEATcc研究数据,并指导患者如何通过PD-L1、HER2、NTRK等靶点检测,选择帕博利珠单抗、德曲妥珠单抗等靶向/免疫治疗方案,为复发转移患者提供最新的用药指导和海外用药选择。 Read More... "宫颈癌最新治疗指南:阿替利珠单抗/帕博利珠单抗联合方案与分子检测全解析"
随着癌症治疗药物的飞速发展,肿瘤学界正面临前所未有的复杂性。本文深入探讨了精准医疗时代下,如慢性髓性白血病(CML)和铂耐药卵巢癌等疾病,患者如何选择最佳靶向治疗方案、应对多重药物选择的挑战,并强调了获取最新治疗指南、了解药物价格和海外购买渠道的重要性。 Read More... "癌症治疗选择困难?精准医疗时代下,如何应对靶向药泛滥与CML、卵巢癌最新方案选择挑战"
结直肠癌(CRC)远处转移是患者的主要死因。本文深度解读CRC基因组进化模式,揭示了转移灶的三种规律:分支、有序和播散转移。了解为何必须进行动态基因检测,R0切除手术时机的重要性,以及多学科协作(MDT)如何优化转移性CRC的治疗方案。同时探讨了晚期治疗的困境与未来新靶点探索,并强调了生活方式在CRC预防中的关键作用。 Read More... "结直肠癌转移新指南:基因组进化模式如何重塑肝转移治疗决策与R0切除时机"
转移性去势抵抗性前列腺癌(mCRPC)是治疗难点。一项Ib期临床研究公布了Venetoclax联合Enzalutamide的初步结果。数据显示,该联合疗法安全耐受性良好,未观察到剂量限制性毒性(DLTs),且初步疗效信号积极,中位OS达18.8个月。本文详细解读了该方案的机制、安全性数据及未来应用前景,为mCRPC患者提供新的治疗选择和海外用药参考。 Read More... "转移性前列腺癌(mCRPC)新方案:Venetoclax联合Enzalutamide的疗效、安全性与购买渠道解析"
基于最新《中国神经内分泌肿瘤指南(CNETS)》,深度解读神经内分泌肿瘤(NETs)的诊疗新进展。重点分析G3级NETs的外科手术决策、减瘤与长期生存的平衡,以及个体化药物治疗策略。为患者提供从诊断分级到“带瘤生存”的全程管理指导,并探讨靶向药与化疗的最新选择和获取渠道。 Read More... "《中国神经内分泌肿瘤指南(CNETS)》深度解读:G3级NETs治疗策略、靶向药与海外购买渠道解析"
肺癌精准治疗迎来新突破。本文深度解读吴卿教授关于非小细胞肺癌(NSCLC)的最新诊疗策略,重点探讨第三代EGFR/ALK抑制剂(如奥希替尼、洛拉替尼)的显著疗效、PD-L1指导下的免疫联合方案,以及如何应对靶向药耐药(如KRAS G12C)的创新解决方案,为患者提供全程管理和用药指导。 Read More... "肺癌EGFR/ALK靶向药最新治疗方案:奥希替尼、洛拉替尼疗效与耐药破解之道"
英国查尔斯国王宣布癌症治疗进入“预防性阶段”,引发公众对癌症慢性化管理的关注。本文深度解析肿瘤学中“维持治疗”的严格标准、老年肿瘤患者的治疗减量依据,以及如何通过早期筛查,特别是针对膀胱尿路上皮癌等泌尿系统肿瘤的筛查,将癌症转化为可控的慢性病,实现长期高质量生存。 Read More... "癌症治疗减量意味着什么?肿瘤“维持治疗”的科学标准与早期筛查指南"
深度解读多发性骨髓瘤(MM)新型CAR-T疗法 anito-cel 的高缓解率数据、lisocabtagene maraleucel(liso-cel)在LBCL中的长期生存获益,以及急性髓系白血病(AML)全口服三联方案(revumenib+地西他滨/雪达扎定+维奈克拉)的临床试验结果,为患者提供最新治疗选择与药物信息。 Read More... "聚焦ASH 2025:多发性骨髓瘤、淋巴瘤与AML最新治疗方案与CAR-T疗法进展深度解读"
深入解读LYSA大B细胞淋巴瘤诊疗指南,涵盖诊断、分期、一线治疗、复发/难治性疾病的CAR T细胞和双特异性抗体疗法,以及特殊患者群体的管理建议。为患者及家属提供全面、权威的治疗方案与用药指导,了解最新进展与海外用药选择。 Read More... "大B细胞淋巴瘤最新诊疗指南:CAR T、双抗等治疗方案深度解析"
深入了解宫颈癌靶向与免疫治疗的最新进展!本文详细解读PD-L1、HER2、TROP2等关键生物标志物检测在指导帕博利珠单抗、德曲妥珠单抗等创新药物应用中的重要性,涵盖子宫颈神经内分泌癌和透明细胞癌的分子检测策略。为患者提供精准治疗方案,助力海外购药与直邮服务,探索更多治疗选择。 Read More... "宫颈癌精准治疗新篇章:靶向与免疫疗法中的关键生物标志物检测与创新药物解析"
胃肠肿瘤治疗已进入新时代,不再仅追求根治。本文特邀专家深入探讨如何在胃癌、结直肠癌治疗中,通过保功能手术、MDT协作及全程管理,平衡肿瘤疗效与器官功能,显著提升患者的远期生活质量。了解前沿治疗理念,为自己或家人选择更优的治疗方案。 Read More... "胃癌与结直肠癌治疗新理念:从“根治”到“保功能”,如何守护患者生活质量?"
最新2025年ASH急性髓系白血病(AML)治疗指南发布!本文深入解读针对老年患者的重大变革,涵盖维奈克拉等靶向药物、低强度化疗方案及骨髓移植新建议。了解最新治疗选择,为AML患者带来更长生存期和更高治愈率。 Read More... "2025年AML治疗指南更新:老年急性髓系白血病患者迎来新希望,靶向治疗与化疗方案全解析"
精准医学时代,癌症治疗正从传统模式向个体化精准治疗转型。本文深入探讨了如何通过早期全面分子检测、泛癌种靶向策略及真实世界证据,为胰腺癌、胶质母细胞瘤等难治性癌症患者匹配最佳药物,实现“对症下药”,了解最新治疗范式,为自己或家人寻求更优的生存机会。 Read More... "告别“一刀切”:精准医学如何重塑胰腺癌、胶质母细胞瘤等癌症的治疗未来?"
2025年美国血液学会(ASH)发布最新老年急性髓系白血病(AML)治疗指南,颠覆传统观念!新指南强调积极治疗,并推荐维奈克拉(Venetoclax)等靶向药联合低强度化疗作为一线方案。了解最新治疗选择、药物价格及购买渠道,为老年AML患者带来新希望。 Read More... "2025老年AML治疗指南发布:维奈克拉领衔,白血病治疗迎来新时代"
2025 CCHIO大会上,王永胜教授深入探讨了乳腺癌新辅助治疗后的腋窝处理策略。对于治疗有效的患者,前哨淋巴结活检(SLNB)可帮助部分患者豁免腋窝清扫(ALND),降低并发症风险。文章还讨论了保乳手术的扩大适应症和局部晚期患者的手术时机,强调了多学科协作(MDT)的重要性。 Read More... "乳腺癌新辅助治疗后能保乳吗?专家解读腋窝处理降阶梯策略与手术时机"
最新2026.V1版非小细胞肺癌(NSCLC)NCCN指南发布重大更新!本文深度解读EGFR突变一线治疗新首选方案(奥希替尼联合用药),并详解德达博妥单抗、泽妥珠单抗等新药在后线治疗的应用,以及NRG1、MET等关键基因检测的最新要求,助您把握前沿治疗动态。 Read More... "非小细胞肺癌患者必看:2026最新NCCN指南解读,EGFR、MET、NRG1靶向治疗新选择"
欧洲神经肿瘤学协会(EANO)最新发布脑膜瘤诊疗指南,详细阐述了通过分子检测选择靶向治疗的策略。本文深入解读NF2、AKT1、SMO等关键分子靶点,评估其临床应用价值,为手术和放疗后复发或进展的脑膜瘤患者提供精准治疗新思路。了解最新靶向药物选择,看这里就够了。 Read More... "脑膜瘤治疗新篇章:EANO指南详解分子检测与靶向药物选择,助您精准抗癌"
T1期结直肠癌一定要手术吗?美国胃肠病学会最新指南揭示,内镜切除术可作为早期结直肠癌的根治性疗法。本文深度解读内镜治疗的适应症、淋巴结转移风险评估及术后管理策略,助您做出最佳治疗选择。 Read More... "早期结直肠癌治疗指南:内镜切除能否替代手术?一文读懂风险与获益"
